Áp xe răng là tình trạng nhiễm trùng tạo thành ổ mủ quanh răng hoặc nướu. Đau nhức kiểu áp xe thường không “tự hết” theo thời gian, mà hay âm ỉ rồi bùng mạnh, nhất là khi bạn nhai hoặc chạm vào răng. Tại Nha khoa Cẩm Tú, bác sĩ gặp khá nhiều ca áp xe xuất phát từ sâu răng kéo dài hoặc viêm nướu không xử lý sớm. Bài này giúp bạn hiểu đúng: áp xe là gì, nhận biết nhanh, và chọn hướng điều trị hợp lý để tránh biến chứng
Áp xe răng là gì?
Áp xe răng là một túi mủ do vi khuẩn gây nhiễm trùng, cơ thể phản ứng lại và “gom” mủ tại một điểm. Nếu ổ mủ không được dẫn lưu và xử lý nguồn nhiễm, nó có thể lan sang vùng mô xung quanh.

Điểm nguy hiểm là bạn có thể thấy đỡ đau trong một giai đoạn, nhưng nhiễm trùng vẫn âm thầm tiến triển. Nhiều ca chỉ đến khi mặt sưng, sốt hoặc há miệng khó mới bắt đầu chạy đi khám. Nếu có dấu hiệu nặng như khó thở/khó nuốt, sưng nhiều trong miệng hoặc sưng lan vùng mắt, hãy đi cấp cứu ngay.
Các loại áp xe răng thường gặp
Áp xe không phải chỉ có một kiểu duy nhất. Việc phân loại giúp bác sĩ chọn đúng hướng xử lý và dự đoán nguy cơ tái phát. Áp xe răng thường được phân loại theo vị trí ổ mủ (trong răng, quanh mô nha chu hay chỉ ở nướu), nhờ vậy bác sĩ dễ xác định nguồn nhiễm trùng và chọn cách xử lý phù hợp. Dưới đây là các loại áp xe phổ biến thường gặp:
| Loại áp xe răng | Bắt nguồn từ đâu | Dấu hiệu hay gặp |
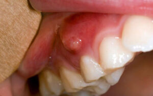
| Áp xe quanh chóp răng | Thường do sâu răng ăn vào tủy, vi khuẩn lan xuống chóp chân răng tạo ổ mủ | Đau nhói/giật, đau tăng khi nhai hoặc chạm răng; có thể kèm sưng vùng nướu gần răng đau |
| Áp xe nha chu | Liên quan viêm nướu/viêm nha chu, túi nha chu sâu, cao răng; hay bị kích hoạt bởi kẹt thức ăn trong túi nha chu | Nướu sưng đỏ, đau khi chạm; có thể thấy mủ rỉ ra; cảm giác răng “cộm”/khó chịu vùng quanh răng |
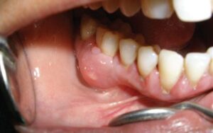
| Áp xe nướu | Khu trú ở mô nướu, thường do dị vật/kẹt thức ăn hoặc chấn thương nướu | Sưng khu trú như một điểm mủ ở nướu; đau tại chỗ, dễ khó chịu khi chạm; vẫn nên khám để loại trừ nguyên nhân sâu bên dưới |
Nguyên nhân gây ra áp xe răng là gì?
Áp xe răng thường hình thành khi vi khuẩn xâm nhập vào mô răng hoặc mô quanh răng, sau đó gây viêm nhiễm kéo dài và tạo ổ mủ. Vi khuẩn thường lợi dụng các điểm yếu như lỗ sâu, kẽ hở, vết nứt hoặc túi nha chu để đi sâu vào trong, đặc biệt là vùng tủy hoặc quanh chóp răng.

Những nguyên nhân và yếu tố hay gặp gồm:
- Sâu răng: Khi răng bị sâu, men răng và ngà răng dần bị phá hủy do axit hình thành từ quá trình vi khuẩn phân giải đường trong thức ăn/đồ uống. Nếu không xử lý sớm, vi khuẩn có thể tiến sâu vào tủy và gây nhiễm trùng, lâu ngày hình thành áp xe.
- Bệnh nha chu (viêm nướu/viêm quanh răng): Nhiễm trùng ở nướu và mô nâng đỡ răng có thể tạo “túi nha chu”, khiến vi khuẩn dễ lan xuống sâu hơn. Khi tình trạng viêm tiến triển mà không được điều trị, nguy cơ hình thành ổ mủ quanh răng sẽ tăng lên.
- Răng nứt, sứt mẻ hoặc gãy: Chấn thương, tai nạn hoặc thói quen cắn vật cứng có thể làm răng nứt/gãy, khiến lớp bảo vệ bị phá vỡ. Khi đó, vi khuẩn dễ xâm nhập vào bên trong răng và gây viêm nhiễm ở tủy hoặc mô sâu, dẫn đến áp xe.
- Suy giảm miễn dịch hoặc bệnh nền: Những tình trạng làm cơ thể giảm khả năng chống đỡ nhiễm trùng (ví dụ đái tháo đường, một số bệnh mạn tính…) có thể khiến nhiễm trùng răng miệng nặng hơn và dễ biến chứng thành áp xe.
- Vệ sinh răng miệng chưa đúng cách: Chải răng qua loa, không dùng chỉ nha khoa hoặc bỏ qua vệ sinh kẽ răng khiến mảng bám tích tụ lâu ngày, tạo môi trường thuận lợi cho vi khuẩn phát triển.
- Mảng thức ăn bám ở kẽ răng không được làm sạch: Thức ăn kẹt trong kẽ răng nếu không được loại bỏ sẽ hình thành mảng bám, vi khuẩn sinh sôi và tiết độc tố, từ đó làm tăng nguy cơ viêm nhiễm và áp xe.
Triệu chứng kinh điển của áp xe răng
Áp xe răng thường không nhẹ nhàng. Nó hay bắt đầu bằng đau nhức, sau đó tăng dần và kèm sưng.

Các dấu hiệu hay gặp gồm:
- Đau răng dữ dội, đau khi nhai/cắn.
- Nướu sưng, có điểm sưng như “mụn” hoặc chảy mủ.
- Hơi thở hôi, miệng có vị đắng/khó chịu.
- Sưng mặt, sưng vùng hàm; có thể kèm sốt, mệt.
- Nhạy cảm nóng/lạnh; đau lan lên tai/thái dương.
Nếu bạn thấy sưng tăng nhanh, sốt hoặc cảm giác rất “uể oải”, đừng cố chịu ở nhà.
Xem thêm: Viêm tủy răng là gì? Nguyên nhân, Dấu hiệu và Cách điều trị an toàn
Xem thêm: Sưng nướu răng khôn là gì? Dấu hiệu nhận biết & nguyên nhân
Áp xe răng hình thành như thế nào?
Phần lớn áp xe răng xuất phát từ vi khuẩn đi vào sâu bên trong răng, thường do sâu răng kéo dài, nứt vỡ răng hoặc bệnh lý nướu. Khi vi khuẩn vượt qua lớp bảo vệ và vào vùng tủy/chân răng, cơ thể phản ứng bằng viêm và tạo mủ.

Có trường hợp áp xe nằm sát chân răng (liên quan đến tủy) hoặc nằm ở mô nướu (liên quan đến nha chu). Với người bệnh, điểm chung vẫn là đau, sưng và cần xử lý nguồn nhiễm. Nói đơn giản: áp xe không phải “vết sưng ngẫu nhiên”. Nó là hậu quả của một vấn đề răng miệng đã bị bỏ qua đủ lâu.
Cách điều trị áp xe răng hiệu quả
Điều trị áp xe răng không chỉ là giảm đau tạm thời mà quan trọng nhất là loại bỏ ổ nhiễm trùng và xử lý nguyên nhân gây áp xe. Tùy vị trí, mức độ viêm và tình trạng răng, bác sĩ sẽ lựa chọn phương án phù hợp để kiểm soát nhiễm trùng và hạn chế biến chứng.
Dẫn lưu mủ bước bắt buộc để giảm sưng đau
Khi áp xe đã hình thành ổ mủ, bác sĩ thường sẽ mở dẫn lưu để loại bỏ mủ. Việc này giúp giảm áp lực trong mô, từ đó làm dịu nhanh cảm giác đau và sưng. Dẫn lưu mủ cũng tạo điều kiện để thuốc kháng sinh phát huy hiệu quả tốt hơn.

Điều trị nguyên nhân gây nhiễm trùng
Sau khi kiểm soát ổ mủ, bác sĩ sẽ tập trung xử lý nguyên nhân gốc rễ:
- Điều trị tủy răng: Áp dụng khi nhiễm trùng xuất phát từ tủy. Bác sĩ làm sạch ống tủy, loại bỏ mô nhiễm trùng và trám kín để ngăn vi khuẩn tái xâm nhập.
- Điều trị nha chu: Khi áp xe liên quan đến viêm nướu hoặc túi nha chu sâu, bác sĩ sẽ làm sạch túi viêm, loại bỏ mảng bám và kiểm soát nhiễm trùng quanh răng.
- Nhổ răng: Chỉ được chỉ định khi răng đã tổn thương nặng, không còn khả năng bảo tồn và việc giữ răng có nguy cơ gây tái phát hoặc lan nhiễm trùng.
Sử dụng thuốc hỗ trợ theo chỉ định
Thuốc kháng sinh, giảm đau hoặc kháng viêm có thể được kê để kiểm soát nhiễm trùng và giảm triệu chứng, đặc biệt khi áp xe lan rộng hoặc người bệnh có sốt. Tuy nhiên, thuốc chỉ đóng vai trò hỗ trợ, không thể thay thế cho việc dẫn lưu và điều trị nguyên nhân.
Theo dõi và tái khám đúng hẹn
Sau điều trị, việc tái khám giúp bác sĩ đánh giá khả năng hồi phục và phát hiện sớm nguy cơ tái phát. Nếu vệ sinh răng miệng không tốt hoặc bỏ dở quá trình điều trị, áp xe răng vẫn có thể quay lại.
Cách chăm sóc răng miệng khi bị áp xe răng
Bạn không thể tự “chữa khỏi” áp xe tại nhà, nhưng có thể giảm khó chịu trong lúc chờ đi khám. Súc miệng nước muối ấm có thể giúp dễ chịu hơn và giữ vùng miệng sạch.

Bạn có thể dùng thuốc giảm đau không kê đơn theo hướng dẫn trên nhãn (và theo tư vấn dược sĩ hoặc bác sĩ nếu có bệnh nền). Tránh đặt aspirin trực tiếp lên răng/nướu vì có thể gây kích ứng và loét. Đừng tự chọc vỡ ổ mủ, đừng tự uống kháng sinh bừa. Nếu sưng tăng nhanh, sốt hoặc khó nuốt, khó thở, hãy đi khám ngay.
Cách phòng ngừa áp xe răng tái phát
Phòng ngừa áp xe răng tái phát không nằm ở việc đỡ đau, mà nằm ở việc cắt đứt nguyên nhân gây nhiễm trùng ngay từ sớm. Khi sâu răng, viêm nướu hoặc răng nứt vỡ được xử lý kịp thời, vi khuẩn sẽ khó có cơ hội xâm nhập sâu và tạo ổ mủ.
- Sâu răng nhẹ nên trám sớm để tránh lan vào tủy.
- Viêm nướu/viêm nha chu cần làm sạch mảng bám, cao răng và điều trị theo chỉ định để hạn chế tạo túi nha chu.
- Răng nứt, sứt, gãy nên kiểm tra sớm vì các khe nứt là “đường tắt” để vi khuẩn đi vào bên trong răng.

Chỉ cần chủ động xử lý từ giai đoạn đầu, nguy cơ tái phát áp xe sẽ giảm đi rất rõ.
Giữ vệ sinh răng miệng đúng cách mỗi ngày
Bạn không cần làm gì quá phức tạp, chỉ cần duy trì những thói quen hàng ngày:
- Chải răng đều đặn và chải kỹ vùng sát nướu
- Làm sạch kẽ răng có thể dùng chỉ nha khoa hoặc tăm nước để mảng bám không tích tụ
- Hạn chế đồ ngọt dính và ăn vặt liên tục, vì đây là điều kiện lý tưởng cho vi khuẩn phát triển
Khám răng định kỳ
Khám răng định kỳ giúp nha sĩ phát hiện sớm lỗ sâu nhỏ, viêm nướu hoặc vấn đề tủy trước khi nó kịp trở nặng. Nhiều trường hợp áp xe tái phát là vì nguyên nhân ban đầu chưa xử lý triệt để hoặc người bệnh bỏ qua tái khám.
Đi khám sớm hơn nếu có dấu hiệu cảnh báo

Bạn nên chủ động kiểm tra sớm (không chờ đến lịch định kỳ) nếu gặp các dấu hiệu như:
- Răng đau âm ỉ kéo dài hoặc đau khi nhai
- Răng đổi màu, nhạy cảm bất thường
- Nướu hay sưng, có điểm đau khu trú hoặc tái đi tái lại cùng một vị trí
- Có mùi hôi hoặc vị lạ trong miệng dù đã vệ sinh kỹ
Đi khám sớm ở giai đoạn này thường giúp điều trị nhẹ nhàng hơn và giảm rủi ro tái phát về sau.
Câu hỏi thường gặp về áp xe răng (FAQ)
Áp xe răng là tình trạng nhiễm trùng có mủ nên nhiều người thường lo lắng không biết có nguy hiểm không, bao lâu thì khỏi và khi nào cần đi khám. Dưới đây là các câu hỏi phổ biến nhất kèm giải đáp ngắn gọn, dễ hiểu để bạn tham khảo trước khi quyết định xử lý.
Áp xe răng có nguy hiểm không?
Áp xe răng có thể nguy hiểm nếu ổ nhiễm trùng lan rộng ra mô quanh hàm, vùng mặt/cổ hoặc gây sốt nặng. Khi bạn thấy sưng tăng nhanh, đau dữ dội, sốt cao, khó nuốt hoặc khó thở, bạn nên đi khám càng sớm càng tốt để được xử lý kịp thời.
Áp xe răng bao lâu thì khỏi?
Thời gian hồi phục phụ thuộc vào mức độ áp xe và hướng điều trị. Thông thường, sau khi nha sĩ dẫn lưu mủ và xử lý nguyên nhân, tình trạng đau và sưng sẽ giảm rõ trong vài ngày.
Khi nào cần đi khám nha sĩ ngay?
Bạn nên đi khám nha sĩ ngay khi cơn đau tăng nhanh, nướu và má sưng rõ, có mủ, sốt, hoặc đau lan khiến bạn khó xác định răng nào đang bị. Nếu bạn kèm khó nuốt, khó thở hoặc sưng lan xuống vùng cổ, bạn cần ưu tiên khám khẩn vì đây là dấu hiệu có thể diễn biến nặng.
Áp xe răng có tự khỏi không?
Áp xe răng thường không tự khỏi vì ổ mủ hình thành do nhiễm trùng. Khi nguyên nhân gây nhiễm chưa được xử lý, triệu chứng có thể giảm tạm thời rồi bùng lại, hoặc ổ nhiễm có thể lan rộng và gây biến chứng. Vì vậy, bạn nên đi khám để điều trị đúng nguyên nhân thay vì chỉ giảm đau tại nhà.
Áp xe răng có nhổ được không?
Áp xe răng có thể nhổ được, nhưng việc nhổ hay không cần dựa trên đánh giá của bác sĩ. Nếu răng đã tổn thương quá nặng và không thể giữ, nhổ răng có thể là phương án tối ưu.
Áp xe răng có lây không?
Áp xe răng không lây như cảm cúm qua tiếp xúc thông thường. Tuy nhiên, vi khuẩn trong khoang miệng có thể lan sang vùng mô lân cận khi vệ sinh răng miệng kém và ổ nhiễm không được xử lý.
Kết luận
Áp xe răng là tình trạng nhiễm trùng cần xử lý sớm, càng để lâu càng dễ lan rộng và gây biến chứng. Khi có dấu hiệu đau nhức dữ dội, nướu sưng có mủ, sốt hoặc sưng mặt, bạn không nên tự điều trị tại nhà mà cần đi khám để xác định đúng răng bệnh và xử lý nguồn nhiễm.
Tại Nha Khoa Cẩm Tú, bác sĩ sẽ thăm khám, chụp phim nếu cần và đưa ra hướng điều trị phù hợp như dẫn lưu, điều trị tủy hoặc nhổ răng trong trường hợp bắt buộc. Chủ động kiểm tra răng miệng định kỳ và điều trị sâu răng/viêm nướu sớm là cách tốt nhất để tránh áp xe tái phát và bảo vệ răng thật lâu dài.