Phục hình răng sứ trên trụ Implant: Bước hoàn thiện thẩm mỹ quan trọng
Phục hình răng sứ trên trụ Implant giữ vai trò quan trọng trong việc hoàn thiện khả năng ăn nhai và tính thẩm mỹ sau trồng răng Implant. Thực hiện đúng kỹ thuật giúp răng Implant ổn định, hài hòa và sử dụng lâu dài.
Trang chủ
Bài viết dưới đây từ Nha Khoa Cẩm Tú sẽ cung cấp cho bạn cái nhìn tổng quan về các hình thức phục hình, vật liệu sử dụng, quy trình thực hiện, v.v, giúp bạn dễ dàng lựa chọn giải pháp phù hợp.
Tổng quan về phục hình răng sứ trên trụ Implant
Phục hình răng sứ trên trụ Implant là kỹ thuật gắn mão sứ (răng sứ) lên trên trụ Implant thông qua khớp nối trung gian gọi là Abutment. Phục hình răng sứ không chỉ giúp hoàn thiện một chiếc răng đã mất về mặt hình thể, mà còn đảm nhiệm nhiều vai trò quan trọng trong điều trị Implant:
- Khôi phục chức năng ăn nhai: Mão sứ được thiết kế chịu lực tốt, giúp bệnh nhân ăn nhai thoải mái, gần như răng thật.
- Đảm bảo tính thẩm mỹ: Răng sứ có màu sắc và hình dáng tự nhiên, giúp cải thiện nụ cười và sự tự tin.
- Bảo vệ trụ Implant: Phục hình đúng kỹ thuật giúp phân bố lực nhai hợp lý, tránh tác động xấu lên trụ Implant và xương hàm xung quanh.
Phục hình răng sứ trên trụ Implant đòi hỏi độ chính xác cao và tay nghề chuyên môn của bác sĩ. Nếu phục hình sai khớp cắn, sai vị trí hoặc lựa chọn vật liệu không phù hợp, Implant có thể bị quá tải lực, dẫn đến lỏng mão sứ, viêm quanh Implant hoặc giảm tuổi thọ trụ Implant.
Cấu tạo răng sứ trên Implant
Răng sứ trên Implant được nâng đỡ bởi trụ Implant thay thế chân răng thật, không có dây chằng nha chu như răng tự nhiên. Vì vậy, lực ăn nhai được truyền trực tiếp xuống xương hàm thay vì được phân tán linh hoạt như răng thật.
Trong phục hình Implant, Abutment đóng vai trò kết nối trụ Implant với mão sứ, đòi hỏi thiết kế chính xác để đảm bảo độ khít và phân bố lực hợp lý. Do cấu trúc khác biệt này, phục hình răng sứ trên trụ Implant yêu cầu kỹ thuật cao và độ chính xác lớn hơn so với làm răng sứ trên răng thật.
Các loại răng sứ sử dụng trong phục hình Implant
Răng sứ sử dụng trong phục hình Implant cần đáp ứng tốt cả về độ bền lẫn khả năng chịu lực ăn nhai. Các dòng răng sứ toàn sứ như Zirconia và E.max được sử dụng phổ biến khi phục hình răng sứ trên trụ Implant nhờ độ cứng cao, an toàn sinh học và khả năng duy trì độ ổn định lâu dài.
Đối với vùng răng cửa, răng sứ cao cấp được ưu tiên lựa chọn nhằm đảm bảo tính thẩm mỹ tối ưu. Loại răng sứ này có độ trong và màu sắc tự nhiên, giúp răng Implant hài hòa với răng thật, mang lại nụ cười tự nhiên và cân đối.
Các hình thức phục hình răng sứ trên trụ Implant
Tùy vào số lượng răng mất và tình trạng xương hàm, bác sĩ sẽ chỉ định hình thức phục hình răng sứ trên trụ Implant phù hợp. Mỗi phương án mang lại hiệu quả ăn nhai và thẩm mỹ khác nhau.
1. Phục hình răng sứ đơn lẻ trên Implant
Phục hình răng sứ đơn lẻ trên Implant được áp dụng khi bệnh nhân mất một răng riêng lẻ. Trụ Implant được cấy vào xương hàm để thay thế chân răng đã mất, sau đó mão sứ được gắn lên trên để hoàn thiện hình thể răng.

Phương pháp này không cần mài hay xâm lấn răng kế cận, giúp bảo tồn răng thật tối đa. Răng Implant sau phục hình có khả năng ăn nhai chắc chắn và thẩm mỹ tự nhiên tương đương răng thật.
2. Phục hình cầu răng trên implant
Phục hình cầu răng trên Implant phù hợp với trường hợp mất nhiều răng liền kề trong cùng một vùng hàm. Bác sĩ sẽ sử dụng một số lượng trụ Implant nhất định để làm trụ nâng đỡ cho mão sứ dạng cầu.

Giải pháp phục hình răng sứ trên trụ Implant này giúp khôi phục chức năng ăn nhai hiệu quả, giảm số lượng trụ Implant cần cấy so với phục hình từng răng riêng lẻ. Nhờ đó, chi phí điều trị được tối ưu mà vẫn đảm bảo độ bền và tính thẩm mỹ.
3. Phục hình răng sứ toàn hàm trên Implant
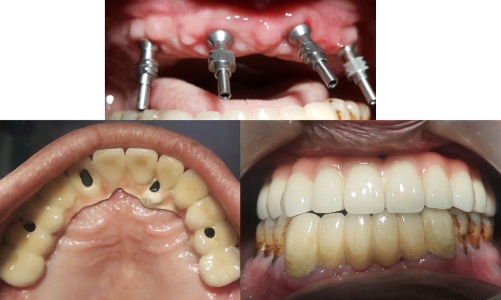
Phục hình răng sứ toàn hàm trên Implant được chỉ định cho những trường hợp mất răng toàn bộ hàm trên, hàm dưới hoặc cả hai hàm. Các kỹ thuật phổ biến hiện nay là All-on-4 và All-on-6, sử dụng số trụ Implant giới hạn để nâng đỡ toàn bộ hàm răng sứ.

Phương pháp này giúp phục hồi toàn bộ hàm răng cố định, đảm bảo khả năng ăn nhai chắc chắn và ổn định lâu dài. Răng sứ được gắn cố định trên Implant, không cần tháo lắp, mang lại cảm giác thoải mái và tự nhiên khi sử dụng.
Các loại Abutment trong phục hình Implant
Abutment là bộ phận trung gian kết nối trụ Implant với mão răng sứ, đóng vai trò quan trọng trong độ bền, khớp cắn và thẩm mỹ của răng Implant. Tùy từng trường hợp, bác sĩ sẽ lựa chọn loại Abutment để phục hình răng sứ trên trụ Implant phù hợp.
1. Abutment tiêu chuẩn
Có hình dáng và kích thước cố định, thường dùng cho vùng răng sau, yêu cầu thẩm mỹ không quá cao.
2. Abutment cá nhân hóa (Custome Abutment)
Được thiết kế riêng theo hình thể răng và mô nướu của từng bệnh nhân, tối ưu thẩm mỹ và khớp cắn, đặc biệt phù hợp vùng răng cửa.
Quy trình phục hình răng sứ trên trụ Implant
tại Nha Khoa Cẩm Tú
Quy trình phục hình răng sứ trên trụ Implant tại Nha Khoa Cẩm Tú được thực hiện theo các bước chuẩn y khoa, đảm bảo độ chính xác, an toàn và hiệu quả lâu dài cho răng Implant.
Thăm khám & chụp phim
Lập kế hoạch điều trị
Tiến hành phẫu thuật
Theo dõi và tái khám
Bước 1:Kiểm tra trụ Implant đã tích hợp xương
Sau thời gian cấy ghép, bác sĩ tiến hành chụp phim X-quang hoặc CT Cone Beam để kiểm tra mức độ tích hợp xương của trụ Implant. Hình ảnh phim giúp đánh giá chính xác vị trí, hướng và tình trạng tiếp xúc giữa trụ Implant và xương hàm.
Dựa trên kết quả phân tích, bác sĩ xác định độ ổn định và khả năng chịu lực của trụ Implant. Chỉ khi trụ đạt tiêu chuẩn tích hợp xương an toàn, quá trình phục hình răng sứ mới được tiến hành nhằm đảm bảo kết quả lâu dài.
Bước 2: Gắn Abutment và lấy dấu phục hình
Khi trụ Implant đã ổn định, bác sĩ tiến hành gắn trụ lành thương và Abutment để định hình mô nướu xung quanh Implant. Bước này giúp tạo đường viền nướu tự nhiên, hỗ trợ thẩm mỹ và độ sát khít của răng sứ sau phục hình răng sứ trên trụ Implant.

Tiếp theo, bác sĩ lấy dấu phục hình bằng phương pháp kỹ thuật số hoặc truyền thống, ghi nhận chính xác vị trí Implant, khớp cắn và cấu trúc răng kế cận. Dữ liệu này là cơ sở quan trọng cho quá trình thiết kế răng sứ chính xác.
Bước 3: Thiết kế và chế tác răng sứ
Dữ liệu dấu răng được chuyển đến phòng labo để thiết kế răng sứ bằng công nghệ CAD/CAM hiện đại. Công nghệ này cho phép mô phỏng chính xác hình dáng răng, điểm tiếp xúc và khớp cắn theo từng trường hợp cụ thể.
Răng sứ được cá nhân hóa về kích thước, hình thể và màu sắc sao cho hài hòa với khuôn mặt và răng thật. Nhờ đó, răng Implant sau phục hình răng sứ trên trụ Implant đạt được cả độ bền chắc lẫn tính thẩm mỹ tự nhiên.
Bước 4. Gắn răng sứ hoàn thiện
Sau khi răng sứ được chế tác hoàn chỉnh, bác sĩ tiến hành gắn thử để kiểm tra độ sát khít, khớp cắn và cảm giác ăn nhai. Các điều chỉnh cần thiết sẽ được thực hiện nhằm đảm bảo răng hoạt động ổn định và thoải mái.
Khi đạt yêu cầu, mão sứ được cố định chắc chắn lên Abutment. Bác sĩ đồng thời hướng dẫn chi tiết cách vệ sinh và chăm sóc răng Implant đúng cách để duy trì độ bền, chức năng và thẩm mỹ lâu dài.
Đặt lịch ngay hôm nay!
Đặt lịch khám và tư vấn miễn phí!
Vì sao nên phục hình răng sứ trên Implant tại Nha Khoa Cẩm Tú?
Nha Khoa Cẩm Tú là địa chỉ được nhiều khách hàng lựa chọn khi phục hình răng sứ trên trụ Implant sứ nhờ quy trình điều trị bài bản, chú trọng cả yếu tố chuyên môn lẫn thẩm mỹ lâu dài. Những ưu điểm nổi bật khi phục hình răng sứ tại Nha Khoa Cẩm Tú bao gồm:
- Đội ngũ bác sĩ chuyên sâu: Bác sĩ Implant và phục hình phối hợp chặt chẽ trong suốt quá trình điều trị.
- Thiết kế phục hình cá nhân hóa: Răng sứ được thiết kế riêng, phù hợp vị trí răng, khớp cắn và khuôn mặt.
- Vật liệu chính hãng: Sử dụng vật liệu Implant, Abutment và răng sứ rõ nguồn gốc, an toàn và bền chắc.
- Chính sách bảo hành rõ ràng: Minh bạch về thời gian và điều kiện bảo hành.
Kiểm soát khớp cắn tốt: Giúp ăn nhai ổn định, hạn chế biến chứng về sau. - Thẩm mỹ lâu dài: Răng sứ tự nhiên, hài hòa và duy trì vẻ đẹp theo thời gian.
Các kỹ thuật trồng răng Implant
Trồng răng Implant bao gồm nhiều kỹ thuật chuyên sâu. Tùy vào tình trạng xương hàm, số lượng răng mất và yêu cầu thẩm mỹ, bác sĩ sẽ chỉ định kỹ thuật phù hợp.
TRỒNG RĂNG
Dịch vụ
Ghép xương
TRỒNG RĂNG
Dịch vụ
Cấy ghép Implant
TRỒNG RĂNG
Dịch vụ
Nâng xoang
TRỒNG RĂNG
Dịch vụ
Phục hình răng sứ
TRỒNG RĂNG
Dịch vụ
Abutment
TRỒNG RĂNG
Dịch vụ
Phục hình toàn hàm
Vì sao nên chọn dịch vụ nha khoa của chúng tôi?
Các bác sĩ chuyên khoa RHM trực tiếp điều trị
Thăm khám, lập kế hoạch và điều trị trực tiếp bởi các bác sĩ chuyên khoa RHM, đảm bảo độ chính xác và xuyên suốt điều trị
Kinh nghiệm chuyên sâu về Lĩnh vực Nha khoa
Thực hiện thành công nhiều ca điều trị từ cơ bản tới phức tạp, đảm bảo chẩn đoán đúng – điều trị chuẩn – kết quả bền vững
Trang thiết bị hỗ trợ chẩn đoán hiện đại, chính xác
Ứng dụng CT Cone Beam 3D, iTero 5D Plus,… giúp bác sĩ lên phác đồ rõ ràng, tối ưu hoá điều trị.
Quy trình điều trị chuẩn y khoa, đảm bảo an toàn
Môi trường vô trùng nghiêm ngặt, tuân thủ tiêu chuẩn y khoa mang lại sự an tâm trong quá trình điều trị.
Mang đến Kết quả thẩm mỹ - chức năng toàn diện
Không chỉ đẹp về thẩm mỹ mà còn đảm bảo chức năng ăn nhai ổn định, bền vững theo thời gian.
Lựa chọn hàng đầu của hàng ngàn khách hàng
Nha khoa tự tin đồng hành, mang lại nụ cười tự tin chi hàng ngàn khách hàng trong và ngoài tỉnh.
Tâm sự của khách hàng
khi Trồng răng tại nha khoa Cẩm Tú
Hoàng Vấnng
Phục hồi răng cửa 31, 32, 41
Implant đã khôi phục thành công 3 chiếc răng cửa liên tiếp 31, 32 và 41 cho bạn Sang. Để tiết kiệm chi phí cho bạn, bác sĩ tại Cẩm Tú đă thực hiện giải pháp trồng răng implant bắc cầu. Từ cấu tạo cho tới hình thức, những chiếc răng implant được thiết kế không khác gì răng thật giúp Sang có thể hoàn toàn an tâm trong việc ăn nhai và tự tin thể hiện nụ cười, sức hút riêng của mình.
Bác Trường
Phục hình toàn hàm
Mỗi bữa cơm gia đình đối với bác là một thử thách. Việc ăn uống trở nên khó khăn, còn sức khỏe thì ngày càng giảm sút. Không chấp nhận để tình trạng này kéo dài, bác Trường đã quyết định trồng implant cố định toàn hàm trên tại Nha khoa Cẩm Tú. Đây là giải pháp không chỉ giúp bác khôi phục lại nụ cười tự nhiên mà còn: ngăn chặn tình trạng tiêu xương hàm, cải thiện chức năng ăn nhai, đảm bảo tính thẩm mỹ và sự tự tin trong giao tiếp.
Mai Thị Giang
Trồng implant vị trí răng số 16
Chị Giang mất răng hàm số 16 khiến việc ăn nhai bị ảnh hưởng nghiêm trọng. Vì răng hàm giữ vai trò nghiền nát thức ăn, khi mất đi lực nhai không đều, làm suy yếu các răng còn lại..
Nhưng giờ đây chị đã có thể ăn nhai thoải mái, tự tin nở nụ cười rạng rỡ vì:
✅ Quá trình cấy ghép diễn ra nhanh chóng, an toàn, không đau như lo sợ ban đầu.
✅ Implant tích hợp vững chắc trong xương hàm, mão sứ thẩm mỹ tự nhiên như răng thật.
Lưu ý sau khi phục hình răng sứ trên Implant
Sau khi phục hình răng sứ trên Implant, bạn cần lưu ý một số vấn đề quan trọng dưới đây để đảm bảo hiệu quả phục hình lâu dài:
Chăm sóc răng miệng đúng cách
Vệ sinh răng Implant hằng ngày bằng bàn chải mềm, chỉ nha khoa và tái khám theo hướng dẫn để hạn chế viêm quanh Implant.
Tránh nhai thức ăn quá cứng, dai trong thời gian đầu; không dùng răng Implant để cắn xé vật cứng nhằm giảm nguy cơ quá tải lực.
Tái khám định kỳ
Tái khám đúng lịch giúp bác sĩ kiểm tra khớp cắn, độ ổn định của mão sứ và trụ Implant, từ đó duy trì độ bền và hiệu quả lâu dài.
Rèn luyện thói quen chăm sóc răng miệng thường xuyên để hạn chế tối đa mắc lại các bệnh răng miệng và giữ cho răng luôn chắc khỏe.
Câu hỏi thường gặp về phục hình răng sứ trên implant
Dưới đây là những câu hỏi thường gặp liên quan đến phục hình răng sứ trên Implant, giúp bạn hiểu rõ hơn về độ bền, cảm giác ăn nhai, thẩm mỹ cũng như tuổi thọ của răng Implant sau khi hoàn thiện.
1. Chi phí phục hình răng sứ trên trụ Implant tại Nha Khoa Cẩm Tú là bao nhiêu?
Hiện nay, răng sứ Titan có chi phí 2.000.000 VNĐ/đơn vị, đáp ứng tốt nhu cầu ăn nhai cơ bản với độ bền ổn định và chi phí hợp lý.

Chi phí phục hình răng sứ trên Implant tại Nha Khoa Cẩm Tú được xây dựng minh bạch, phù hợp với từng loại răng sứ và nhu cầu điều trị. Mức giá có thể thay đổi tùy vào tình trạng răng miệng và chỉ định cụ thể của bác sĩ.
2. Phục hình răng sứ trên Implant khác gì răng sứ trên răng thật?
Phục hình răng sứ trên trụ Implant có nhiều điểm khác biệt so với răng sứ trên răng thật, chủ yếu nằm ở cấu trúc nâng đỡ và kỹ thuật thực hiện như sau:
Tiêu chí | Răng sứ trên Implant | Răng sứ trên răng thật |
Nền nâng đỡ | Trụ Implant thay thế chân răng | Chân răng thật, có dây chằng nha chu |
Phân bố lực nhai | Lực truyền trực tiếp xuống xương hàm | Lực được giảm chấn nhờ dây chằng |
Cấu trúc kết nối | Có Abutment nối trụ Implant | Mão sứ gắn trực tiếp lên răng mài |
Yêu cầu kỹ thuật | Cao, đòi hỏi độ chính xác tuyệt đối | Đơn giản hơn |
Bảng so sánh phục hình răng sứ trên trụ Implant và trên răng thật
3. Răng sứ trên Implant có bền không?
Răng sứ trên Implant có độ bền cao nhờ được nâng đỡ bởi trụ Implant tích hợp vững chắc với xương hàm. Nếu phục hình đúng kỹ thuật và chăm sóc tốt, răng Implant có thể sử dụng ổn định trong nhiều năm.
4. Có bị hôi miệng hay lỏng răng không?
Răng sứ trên Implant không gây hôi miệng hay lỏng răng nếu được lắp khít và vệ sinh đúng cách. Nguy cơ này chỉ xảy ra khi vệ sinh kém, viêm quanh Implant hoặc phục hình sai khớp cắn.
5. khi nào cần thay mão răng sứ trên Implant
Mão răng sứ cần thay khi bị mòn, nứt vỡ, đổi màu hoặc không còn đảm bảo khớp cắn. Trong khi đó, trụ Implant vẫn có thể giữ nguyên nếu còn tích hợp tốt với xương hàm
6. Răng sứ trên implant có giống răng thật không?
Răng sứ trên Implant được thiết kế cá nhân hóa về hình dáng, màu sắc và đường viền nướu nên có độ tương đồng cao với răng thật. Về cảm giác ăn nhai và thẩm mỹ, răng Implant gần như không khác biệt so với răng tự nhiên.
7. Phục hình răng sứ trên trụ implant có đau không?
Quá trình phục hình răng sứ trên Implant thường không gây đau hoặc chỉ gây cảm giác ê nhẹ khi gắn Abutment và mão sứ. Các thao tác được thực hiện nhanh, nhẹ nhàng và không xâm lấn sâu
8. Tuổi thọ răng sứ trên Implant là bao lâu?
Tuổi thọ răng sứ trên Implant trung bình từ 15 – 20 năm, thậm chí lâu hơn nếu chăm sóc tốt. Trụ Implant có thể tồn tại rất lâu, trong nhiều trường hợp duy trì ổn định suốt đời.
Những bài viết liên quan
Cơ sở vật chất
Khí cụ Headgear: Giải pháp chỉnh nha cải thiện hàm hô và sai khớp cắn
Khí cụ Headgear là giải pháp chỉnh nha chuyên sâu giúp kiểm soát sự phát triển xương hàm và cải thiện tình trạng hàm hô, sai khớp cắn ở trẻ em trong giai đoạn tăng trưởng. Phương pháp này đặc biệt hiệu quả khi được can thiệp …
Ngày đăng: 16.12.2025
Chia sẻ
Nạo túi nha chu là gì? Khi nào cần nạo túi nha chu?
Nạo túi nha chu là một phương pháp điều trị thường được chỉ định khi bệnh nha chu tiến triển nặng và không còn đáp ứng với lấy cao răng thông thường. Tuy nhiên, nhiều người vẫn chưa hiểu rõ nạo túi nha chu là gì, khi nào cần thực hiện …
Ngày đăng: 16.12.2025
Kiến thức nha khoa
Hướng dẫn chăm sóc răng miệng cho trẻ theo từng độ tuổi đúng cách
Chăm sóc răng miệng cho trẻ theo từng độ tuổi là yếu tố quan trọng giúp trẻ phát triển hàm răng khỏe mạnh và phòng tránh các bệnh lý nha khoa từ sớm. Ở mỗi giai đoạn phát triển, cấu trúc răng và khả năng tự vệ sinh của trẻ …
Ngày đăng: 16.12.2025
Kiến thức nha khoa
Công nghệ Smile Digital Design trong thiết kế nụ cười nha khoa
Smile Digital Design là công nghệ thiết kế nụ cười kỹ thuật số giúp mô phỏng kết quả thẩm mỹ răng trước khi điều trị. Tại Nha Khoa Cẩm Tú, công nghệ này hỗ trợ bác sĩ xây dựng kế hoạch điều trị chính xác và cá nhân hóa nụ cười cho …
Ngày đăng: 16.12.2025
Kiến thức nha khoa
Răng hô nên niềng hay bọc sứ? Đây là câu hỏi khiến nhiều người băn khoăn khi muốn cải thiện nụ cười nhưng lo ảnh hưởng đến răng thật. Trong bài viết này, Nha Khoa Cẩm Tú sẽ giúp bạn hiểu rõ nguyên nhân răng hô, phân biệt niềng …
Ngày đăng: 16.12.2025
Kiến thức nha khoa
Tủy răng bị thối là gì? Dấu hiệu, nguyên nhân và cách điều trị
Tủy răng bị thối là tình trạng mô tủy hoại tử kèm nhiễm trùng nghiêm trọng, gây đau nhức, hôi miệng và có thể dẫn đến mất răng nếu không điều trị kịp thời. Nha Khoa Cẩm Tú chia sẻ đầy đủ dấu hiệu nhận biết, nguyên nhân và phương …