Hoại tử tủy răng là tình trạng mô tủy bên trong răng mất hoàn toàn khả năng sống do viêm nhiễm hoặc chấn thương, gây đau nhức, đổi màu răng và nhiễm trùng nghiêm trọng. Nha Khoa Cẩm Tú chia sẻ đầy đủ về nguyên nhân, dấu hiệu nhận biết và phương pháp điều trị hiệu quả giúp bạn bảo tồn răng thật tốt nhất.
Hoại tử tủy răng là gì?
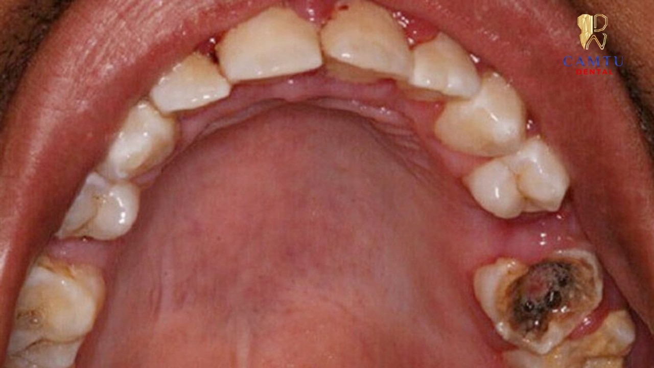
Hoại tử tủy răng là tình trạng mô tủy bên trong răng bị chết hoàn toàn do viêm nhiễm kéo dài hoặc tổn thương nặng. Tủy răng là phần mô mềm nằm ở trung tâm răng, chứa mạch máu và dây thần kinh, có vai trò nuôi dưỡng răng, duy trì cảm giác và hỗ trợ quá trình hình thành ngà răng. Khi tủy bị viêm nhưng không được điều trị kịp thời, nguồn máu nuôi bị gián đoạn khiến mô tủy dần hoại tử và mất chức năng sinh học.

Khi xảy ra hoại tử tủy răng, răng có thể không còn đau dữ dội như giai đoạn viêm cấp, nhưng vi khuẩn vẫn tồn tại và phát triển bên trong hệ thống ống tủy. Điều này làm tăng nguy cơ nhiễm trùng lan xuống vùng chóp răng, gây áp xe răng, tiêu xương quanh chóp và thậm chí ảnh hưởng đến răng lân cận. Vì vậy, dù triệu chứng có thể âm thầm, hoại tử tủy răng vẫn là bệnh lý cần được chẩn đoán và điều trị sớm để bảo tồn răng thật và ngăn ngừa biến chứng.
Nguyên nhân gây hoại tử tủy răng
Hiểu rõ nguyên nhân giúp bạn phòng tránh và bảo vệ răng thật hiệu quả, tránh để tủy răng rơi vào tình trạng hoại tử không thể phục hồi.
Sâu răng nặng không được điều trị kịp thời
Sâu răng tiến triển lâu ngày là nguyên nhân phổ biến nhất gây hoại tử tủy. Khi vi khuẩn phá hủy lớp men và ngà răng, chúng xâm nhập vào buồng tủy và gây viêm kéo dài. Nếu người bệnh chỉ dùng thuốc giảm đau hoặc trì hoãn điều trị, mô tủy sẽ dần hoại tử và bị vi khuẩn phân hủy.

Răng nứt, vỡ hoặc chấn thương răng
Răng không bị sâu vẫn có thể bị hoại tử tủy nếu cấu trúc răng bị tổn thương. Các vết nứt nhỏ là cửa ngõ cho vi khuẩn xâm nhập vào tủy mà không dễ phát hiện. Ngoài ra, chấn thương mạnh có thể làm đứt mạch máu nuôi tủy, khiến tủy răng chết dần theo thời gian.
Điều trị răng trước đó không triệt để
Việc điều trị nội nha không đạt yêu cầu cũng là nguyên nhân thường gặp. Lấy tủy chưa sạch, trám ống tủy không kín hoặc không phục hình bảo vệ sau điều trị tạo điều kiện cho vi khuẩn tái xâm nhập, dẫn đến hoại tử tủy tái phát.

Dấu hiệu nhận biết hoại tử tủy răng
Nhận biết sớm các dấu hiệu hoại tử tủy răng giúp người bệnh chủ động thăm khám và điều trị kịp thời, từ đó hạn chế biến chứng nguy hiểm.
| Dấu hiệu | Mô tả |
|---|---|
| Đau răng âm ỉ hoặc từng cơn kéo dài | Ở giai đoạn tủy đang hoại tử, người bệnh có thể đau răng tự phát, đau khi ăn nhai hoặc đau tăng về đêm do áp lực viêm quanh chóp răng. |
| Răng đổi màu, sậm hơn răng bên cạnh | Răng bị hoại tử tủy thường chuyển sang màu xám hoặc vàng nâu. Đây là dấu hiệu cho thấy mô tủy đã chết và các sản phẩm phân hủy đã thấm vào cấu trúc răng. |
| Hôi miệng hoặc có mùi hôi tại một răng cụ thể | Khi mô tủy bị phân hủy, vi khuẩn kỵ khí sinh ra mùi hôi đặc trưng. Mùi này thường xuất phát từ một răng nhất định và không cải thiện dù đã vệ sinh răng miệng kỹ. |

Hoại tử tủy răng có nguy hiểm không?
Hoại tử tủy răng không chỉ ảnh hưởng đến một chiếc răng đơn lẻ mà còn tiềm ẩn nhiều biến chứng nghiêm trọng nếu không được điều trị kịp thời.
Biến chứng nếu không điều trị hoại tử tủy
Nếu không được điều trị kịp thời, tủy răng hoại tử có thể dẫn đến nhiều biến chứng nghiêm trọng ảnh hưởng đến răng và các mô xung quanh. Một số biến chứng thường gặp gồm:
- Áp xe quanh chóp răng: Vi khuẩn từ tủy hoại tử lan xuống chóp răng, tạo ổ mủ gây đau nhức, sưng nướu và có thể hình thành lỗ dò mạn tính.
- Tiêu xương ổ răng: Quá trình viêm nhiễm kéo dài làm phá hủy xương nâng đỡ răng, khiến răng lung lay và tăng nguy cơ phải nhổ bỏ.
- Nhiễm trùng lan rộng: Nếu không kiểm soát, nhiễm trùng có thể lan sang các răng lân cận và mô mềm xung quanh, gây sưng mặt và khó điều trị hơn.

Ảnh hưởng đến sức khỏe răng miệng và toàn thân
Những ảnh hưởng của tình trạng tủy răng hoại tử không chỉ dừng lại ở răng miệng mà còn tác động đến sức khỏe tổng thể:
- Giảm chức năng ăn nhai: Răng đau, lung lay hoặc mất răng sớm ảnh hưởng trực tiếp đến việc ăn uống và sinh hoạt hằng ngày.
- Nguy cơ biến chứng toàn thân: Vi khuẩn từ ổ nhiễm trùng có thể xâm nhập vào máu, đặc biệt nguy hiểm với người có sức đề kháng kém hoặc bệnh nền, làm tăng nguy cơ viêm nhiễm toàn thân.
Các phương pháp điều trị hoại tử tủy răng hiện nay
Nha khoa hiện đại cung cấp nhiều phương pháp điều trị hiệu quả giúp loại bỏ nhiễm trùng và bảo tồn răng thật tối đa có thể.
Điều trị nội nha (lấy tủy răng)
Điều trị nội nha là phương pháp phổ biến khi răng còn khả năng giữ lại. Bác sĩ sẽ làm sạch toàn bộ mô tủy hoại tử, khử khuẩn hệ thống ống tủy và trám bít kín để ngăn vi khuẩn tái xâm nhập. Sau đó, răng thường được phục hình để đảm bảo độ bền và chức năng ăn nhai.

Hoại tử tủy răng có nhổ không?
Nhổ răng chỉ được chỉ định khi răng không còn khả năng bảo tồn. Những trường hợp chân răng gãy sâu, tiêu xương nặng hoặc răng lung lay nhiều thường có tiên lượng giữ răng kém, buộc phải loại bỏ ổ nhiễm trùng để bảo vệ sức khỏe răng miệng tổng thể.
Phục hình răng sau điều trị hoại tử tủy
Sau khi điều trị, răng cần được phục hình để khôi phục chức năng và thẩm mỹ. Các phương án thường được cân nhắc bao gồm bọc răng sứ, cầu răng hoặc trồng implant trong trường hợp nhổ răng.

Điều trị hoại tử tủy răng có đau không?
Nỗi lo đau đớn khiến nhiều người trì hoãn điều trị, tuy nhiên thực tế điều trị hiện nay nhẹ nhàng hơn rất nhiều. Trong quá trình điều trị, bác sĩ sẽ gây tê cục bộ nên người bệnh hầu như không cảm thấy đau. Sau điều trị, răng có thể ê nhẹ vài ngày do mô quanh răng cần thời gian hồi phục.

Lưu ý: Dùng thuốc đúng chỉ định và tránh ăn nhai mạnh trong những ngày đầu giúp cảm giác ê giảm nhanh. Tái khám đúng hẹn giúp bác sĩ kiểm soát tốt quá trình lành thương và phòng ngừa biến chứng.
Cách phòng ngừa hoại tử tủy răng
Phòng ngừa đúng cách giúp giảm nguy cơ viêm nhiễm tủy răng, hạn chế phải điều trị phức tạp và tiết kiệm chi phí về lâu dài.
| Biện pháp phòng ngừa | Mô tả |
|---|---|
| Khám răng định kỳ 6 tháng/lần | Giúp phát hiện sớm sâu răng, viêm tủy hoặc các tổn thương răng tiềm ẩn. Điều trị kịp thời ở giai đoạn sớm giúp ngăn vi khuẩn xâm nhập sâu vào buồng tủy. |
| Điều trị triệt để sâu răng ngay khi phát hiện | Không nên chờ đến khi răng đau nhức mới đi khám. Việc trám răng sớm giúp bảo vệ mô tủy và ngăn nguy cơ hoại tử tủy răng. |
| Bảo vệ răng sau khi đã điều trị tủy | Răng sau lấy tủy giòn và dễ nứt vỡ hơn bình thường. Phục hình bằng trám hoặc bọc mão sứ giúp tăng độ bền và hạn chế tái nhiễm trùng. |
| Vệ sinh răng miệng đúng cách mỗi ngày | Chải răng ít nhất 2 lần/ngày, sử dụng chỉ nha khoa và nước súc miệng giúp giảm mảng bám và vi khuẩn gây sâu răng, viêm tủy. |
| Hạn chế thói quen xấu gây tổn thương răng | Tránh nhai đá, cắn vật cứng hoặc nghiến răng khi ngủ. Những thói quen này có thể làm răng nứt, tạo điều kiện cho vi khuẩn xâm nhập vào tủy răng. |
Xem thêm: Tủy răng bị thối là gì? Dấu hiệu, nguyên nhân và cách điều trị
Điều trị hoại tử tủy răng an toàn tại Nha khoa Cẩm Tú
Hoại tử tủy răng là tình trạng tủy bị viêm nhiễm nặng và mất hoàn toàn chức năng nuôi dưỡng răng. Nếu không điều trị kịp thời, vi khuẩn có thể lan xuống vùng chóp răng, gây áp xe và tiêu xương quanh răng.

Tại Nha khoa Cẩm Tú, quy trình điều trị hoại tử tủy răng được thực hiện theo tiêu chuẩn kiểm soát nhiễm khuẩn nghiêm ngặt, nhằm bảo tồn răng thật tối đa và hạn chế biến chứng.
Quy trình điều trị bao gồm:
- Thăm khám và chụp phim X-quang kỹ thuật số: Giúp xác định chính xác mức độ viêm nhiễm, chiều dài ống tủy và tình trạng xương quanh chóp răng.
- Làm sạch và tạo hình hệ thống ống tủy: Sử dụng dụng cụ nội nha chuyên dụng để loại bỏ mô tủy hoại tử và vi khuẩn bên trong ống tủy.
- Khử khuẩn và trám bít ống tủy: Ống tủy được làm sạch hoàn toàn trước khi trám kín bằng vật liệu chuyên dụng nhằm ngăn ngừa tái nhiễm khuẩn.
- Phục hồi thân răng sau điều trị: Tùy từng trường hợp, bác sĩ có thể chỉ định trám thẩm mỹ hoặc bọc mão sứ để đảm bảo chức năng ăn nhai và độ bền lâu dài.
Việc điều trị sớm hoại tử tủy răng giúp loại bỏ ổ viêm, giảm đau và ngăn ngừa nguy cơ mất răng. Nếu bạn có dấu hiệu đau âm ỉ kéo dài, răng đổi màu hoặc sưng nướu bất thường, hãy chủ động thăm khám tại Nha khoa Cẩm Tú để được tư vấn và xử lý kịp thời.
Câu hỏi thường gặp về hoại tử tủy răng
Dưới đây là những câu hỏi thường gặp của khách hàng trong quá trình tìm hiểu và điều trị hoại tử tủy răng. Nội dung giúp giải đáp những thắc mắc phổ biến, hỗ trợ người bệnh chủ động hơn trong việc chăm sóc và bảo vệ sức khỏe răng miệng.
Hoại tử tủy răng có tự khỏi không?
Không, hoại tử tủy răng không thể tự lành và chỉ ngày càng xấu đi nếu không điều trị. Vi khuẩn và mô nhiễm trùng bên trong răng không thể tự loại bỏ, cần can thiệp điều trị nội nha để làm sạch và ngăn biến chứng.
Răng chết tủy có cần điều trị không nếu không đau?
Có, răng chết tủy vẫn cần điều trị ngay cả khi không đau. Không đau không có nghĩa bệnh đã khỏi mà là dây thần kinh đã chết, trong khi vi khuẩn vẫn đang phá hủy xương và gây nhiễm trùng nghiêm trọng.
Điều trị hoại tử tủy răng mất bao lâu?
Tùy mức độ nhiễm trùng, điều trị có thể hoàn thành trong 1-3 buổi. Trường hợp đơn giản chỉ cần 1 buổi, trường hợp phức tạp cần nhiều buổi hơn để đặt thuốc và theo dõi trước khi trám bít vĩnh viễn.
Kết luận
Hoại tử tủy răng là bệnh lý răng miệng nguy hiểm nhưng hoàn toàn có thể kiểm soát nếu được phát hiện và điều trị kịp thời. Việc hiểu rõ nguyên nhân, dấu hiệu và phương pháp điều trị giúp bạn chủ động bảo vệ răng thật và sức khỏe lâu dài. Nếu bạn đang nghi ngờ gặp vấn đề về tủy răng. Hãy liên hệ Nha Khoa Cẩm Tú để được thăm khám, tư vấn và điều trị an toàn bởi đội ngũ bác sĩ giàu kinh nghiệm.