Mòn cổ chân răng là tình trạng mất mô răng ở vùng cổ răng gần nướu, gây ê buốt và ảnh hưởng thẩm mỹ nếu không được xử lý kịp thời. Nha Khoa Cẩm Tú chia sẻ đầy đủ về nguyên nhân, dấu hiệu nhận biết và phương pháp điều trị hiệu quả giúp bạn bảo vệ răng khỏe đẹp lâu dài.
Mòn cổ chân răng là gì?
Mòn cổ chân răng là tình trạng mất mô cứng của răng (men và ngà răng) tại vùng cổ răng, vị trí tiếp giáp giữa thân răng và nướu. Đây là khu vực có cấu trúc yếu hơn thân răng nên rất dễ bị tổn thương dưới tác động cơ học, hóa học hoặc lực nhai bất thường.

Khác với sâu răng, mòn cổ chân răng không do vi khuẩn gây ra và thường tiến triển chậm. Tuy nhiên, nếu không được kiểm soát kịp thời, tổn thương có thể lan sâu vào ngà răng, gây ê buốt, viêm tủy hoặc thậm chí mất răng.
Đặc điểm tổn thương mòn cổ chân răng
Tổn thương mòn cổ chân răng có hình dạng và mức độ khác nhau tùy theo nguyên nhân và thời gian mắc bệnh. Việc nhận diện đúng đặc điểm giúp bác sĩ lựa chọn phương pháp điều trị phù hợp.

Về mặt hình thái, vùng mòn thường xuất hiện dưới dạng khuyết chữ V hoặc chữ U ở cổ răng, bề mặt nhẵn, cứng và không có màu sẫm như sâu răng. Khi tiến triển nặng, phần ngà răng lộ ra ngoài khiến răng nhạy cảm rõ rệt với nhiệt độ và lực nhai.
Nguyên nhân gây mòn cổ chân răng
Mòn cổ chân răng là bệnh lý đa yếu tố, hiếm khi chỉ xuất phát từ một nguyên nhân đơn lẻ. Trong thực tế lâm sàng, bác sĩ thường ghi nhận sự kết hợp của nhiều yếu tố cùng lúc.
Chải răng sai cách
Đây là nguyên nhân phổ biến hàng đầu gây mòn cổ chân răng. Việc chải răng theo chiều ngang mạnh tay, sử dụng bàn chải lông cứng hoặc kem đánh răng có độ mài mòn cao sẽ làm mòn dần men răng tại vùng cổ răng. Thói quen này nếu kéo dài nhiều năm có thể tạo ra các rãnh mòn rõ rệt, đặc biệt ở nhóm răng nanh và răng tiền hàm.

Tác động của axit
Axit từ thực phẩm (nước ngọt có gas, trái cây chua, giấm) hoặc từ dạ dày trào ngược có thể làm mềm men răng. Khi men răng suy yếu, chỉ cần lực chải răng nhẹ cũng đủ gây mòn cổ chân răng. Những người bị trào ngược dạ dày, thực quản hoặc thường xuyên tiêu thụ đồ uống có tính axit có nguy cơ mắc bệnh cao hơn.
Xem thêm: Thực phẩm có hại cho răng
Sang chấn khớp cắn và nghiến răng
Lực nhai không đều, cắn lệch hoặc nghiến răng ban đêm tạo ra áp lực tập trung tại cổ răng. Lâu dần, lực này gây vi nứt men răng và làm bong tróc mô cứng tại vùng cổ chân răng. Tình trạng này thường gặp ở người có khớp cắn sai hoặc căng thẳng kéo dài.

Lão hóa răng
Theo thời gian, men răng tự nhiên bị mòn sinh lý. Ở người trung niên và cao tuổi, cổ chân răng thường lộ rõ hơn do tụt nướu kết hợp với mòn mô răng, làm tăng nguy cơ ê buốt và tổn thương.
Xem thêm: Chăm sóc răng miệng cho người lớn tuổi
Dấu hiệu nhận biết mòn cổ chân răng
Nhận biết sớm các dấu hiệu mòn cổ chân răng giúp can thiệp kịp thời, tránh tổn thương lan sâu và các biến chứng không mong muốn.
- Răng ê buốt khi ăn uống: Người bệnh thường cảm thấy ê buốt khi ăn đồ nóng, lạnh, chua hoặc ngọt. Cảm giác này xuất hiện nhanh và biến mất khi ngừng kích thích, đặc trưng cho tình trạng lộ ngà răng.
- Xuất hiện rãnh mòn ở cổ răng: Quan sát kỹ có thể thấy rãnh lõm ở sát viền nướu, bề mặt nhẵn và cứng. Rãnh mòn có thể sâu dần theo thời gian nếu không điều chỉnh thói quen sinh hoạt.
- Nướu dễ tụt và răng dài hơn: Mòn cổ chân răng thường đi kèm tụt nướu, khiến răng trông dài hơn bình thường. Điều này không chỉ ảnh hưởng thẩm mỹ mà còn làm tăng nguy cơ ê buốt kéo dài.

Mòn cổ chân răng có nguy hiểm không?
Mòn cổ chân răng không gây nguy hiểm cấp tính nhưng có thể dẫn đến nhiều hậu quả nghiêm trọng nếu không điều trị. Khi tổn thương lan sâu vào ngà răng, vi khuẩn dễ xâm nhập gây viêm tủy, áp xe quanh chóp hoặc buộc phải điều trị tủy. Ngoài ra, ê buốt kéo dài ảnh hưởng trực tiếp đến khả năng ăn nhai và chất lượng cuộc sống của người bệnh.

Xem thêm: Áp xe răng
Các mức độ mòn cổ chân răng
Việc phân loại mức độ mòn cổ chân răng giúp bác sĩ đánh giá chính xác tình trạng và xây dựng phác đồ điều trị phù hợp.
| Mức độ | Tình trạng răng | Hướng xử lý |
|---|---|---|
| Mức độ nhẹ | Mòn men răng nông, ê buốt nhẹ | Chưa cần can thiệp xâm lấn |
| Mức độ trung bình | Lộ ngà răng, ê buốt rõ rệt | Cần điều trị bảo tồn |
| Mức độ nặng | Tổn thương sâu | Nguy cơ viêm tủy, cần điều trị phục hồi hoặc tủy |

Phương pháp điều trị mòn cổ chân răng
Điều trị mòn cổ chân răng phụ thuộc vào mức độ tổn thương và nguyên nhân gây bệnh. Mục tiêu chính là giảm ê buốt, bảo tồn mô răng và ngăn bệnh tiến triển.
Điều chỉnh thói quen sinh hoạt
Ở giai đoạn sớm, việc thay đổi thói quen chải răng đúng cách, sử dụng bàn chải lông mềm và kem đánh răng dành cho răng nhạy cảm có thể cải thiện đáng kể triệu chứng. Đồng thời, hạn chế thực phẩm có tính axit và kiểm soát tốt các bệnh lý toàn thân như trào ngược dạ dày.

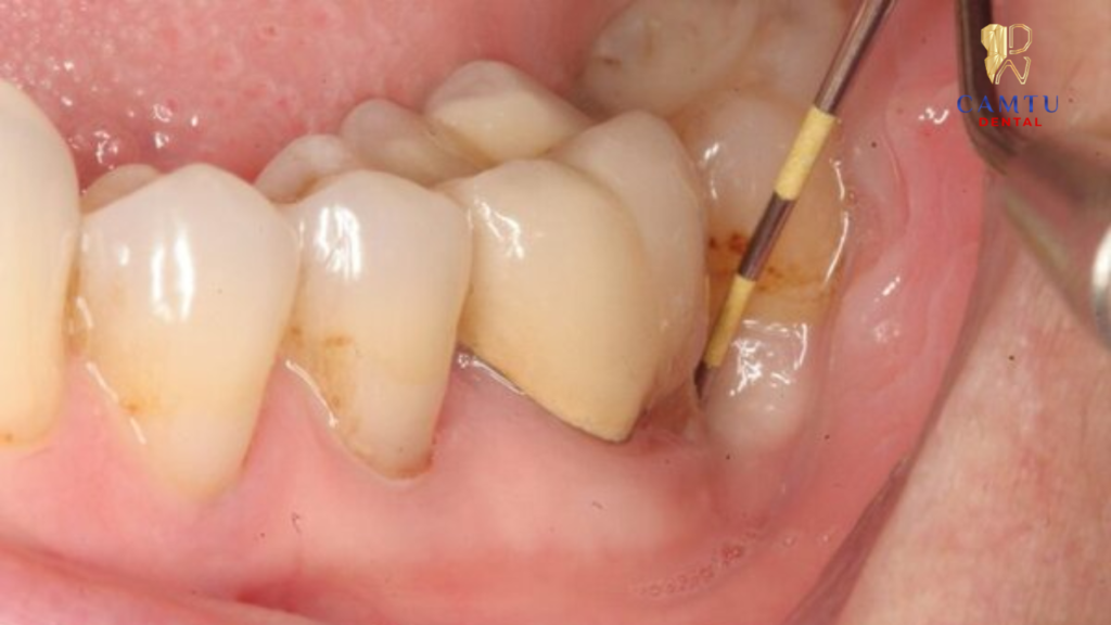
Trám cổ răng
Khi tổn thương đã lộ ngà, bác sĩ thường chỉ định trám răng bằng vật liệu composite hoặc glass ionomer. Phương pháp này giúp che phủ vùng mòn, giảm ê buốt và phục hồi hình dạng răng. Trám cổ răng là kỹ thuật bảo tồn, ít xâm lấn và mang lại hiệu quả nhanh chóng.
Điều trị khớp cắn và nghiến răng
Trong trường hợp mòn cổ chân răng do sang chấn khớp cắn, bác sĩ có thể chỉ định máng chống nghiến hoặc điều chỉnh khớp cắn để giảm lực tác động lên răng.

Cách phòng ngừa mòn cổ chân răng
Phòng ngừa đóng vai trò then chốt trong việc hạn chế mòn cổ chân răng tiến triển và giảm nguy cơ ê buốt, viêm tủy về sau. Việc điều chỉnh thói quen chăm sóc răng miệng hằng ngày kết hợp theo dõi định kỳ giúp bảo tồn răng thật lâu dài.
- Chải răng đúng kỹ thuật theo chiều dọc hoặc xoay tròn nhẹ nhàng: Nên chải răng theo hướng từ nướu lên thân răng hoặc chuyển động tròn nhỏ để tránh tạo lực ma sát mạnh tại cổ răng. Tránh chải ngang và dùng lực quá mạnh vì dễ làm mòn men.
- Ưu tiên bàn chải lông mềm và kem đánh răng ít mài mòn: Bàn chải lông mềm giúp làm sạch mảng bám mà không gây tổn thương men răng. Nên kết hợp với kem đánh răng có chỉ số mài mòn thấp sẽ hạn chế làm mòn cổ răng.
- Hạn chế thực phẩm và đồ uống có tính axit: Nước ngọt có gas, nước chanh, giấm hoặc trái cây quá chua có thể làm mềm men răng. Sau khi ăn uống các thực phẩm này, bạn nên chờ ít nhất 30 phút trước khi chải răng.
- Khám răng định kỳ 6 tháng/lần: Thăm khám nha khoa định kỳ giúp phát hiện sớm các dấu hiệu mòn cổ chân răng, tụt nướu hoặc sai khớp cắn. Bác sĩ sẽ tư vấn điều chỉnh kịp thời trước khi tổn thương lan sâu và gây ê buốt kéo dài.
- Đeo máng chống nghiến nếu có thói quen nghiến răng ban đêm: Nghiến răng tạo lực lớn và kéo dài lên cổ răng, làm tăng nguy cơ mòn mô cứng. Máng chống nghiến giúp phân tán lực nhai và hạn chế tổn thương cổ chân răng trong khi ngủ.

Khi nào cần đi khám bác sĩ?
Việc thăm khám nha khoa kịp thời giúp kiểm soát mòn cổ chân răng ngay từ giai đoạn sớm, hạn chế ê buốt kéo dài và tránh các can thiệp phức tạp về sau. Bạn nên chủ động đi khám khi xuất hiện những dấu hiệu sau:
- Ê buốt răng kéo dài hoặc ngày càng tăng: Cảm giác ê buốt khi ăn nóng, lạnh, chua hoặc ngọt không thuyên giảm dù đã đổi kem đánh răng cho răng nhạy cảm. Đây là dấu hiệu cho thấy ngà răng vùng cổ đã bị lộ rõ và cần can thiệp.
- Quan sát thấy rãnh mòn rõ ở cổ răng: Vùng tiếp giáp giữa răng và nướu xuất hiện rãnh lõm, thường có dạng hình chêm và ngày càng sâu hơn. Nếu không điều trị, rãnh mòn có thể lan rộng và làm yếu cấu trúc răng.
- Cảm giác khó chịu khi ăn nhai hoặc vệ sinh răng miệng: Mòn cổ chân răng khiến việc ăn nhai trở nên nhạy cảm, dễ đau khi cắn thức ăn cứng. Một số người còn gặp khó khăn khi chải răng do ê buốt hoặc sợ đau.
- Răng có dấu hiệu dài ra hoặc mất thẩm mỹ: Khi cổ răng bị mòn và nướu tụt, răng có thể trông dài hơn so với bình thường. Điều này không chỉ ảnh hưởng thẩm mỹ mà còn làm tăng nguy cơ tổn thương tủy răng nếu kéo dài.

Dưới đây là những thắc mắc phổ biến mà nhiều người gặp phải khi tìm hiểu và điều trị mòn cổ chân răng. Việc giải đáp đúng giúp người bệnh yên tâm hơn trong quá trình chăm sóc răng miệng.
Mòn cổ chân răng có tự khỏi không?
Mòn cổ chân răng không thể tự hồi phục vì mô răng đã mất không tái tạo lại. Tuy nhiên, nếu phát hiện sớm và điều chỉnh thói quen sinh hoạt, tình trạng có thể được kiểm soát và không tiến triển nặng hơn.
Trám mòn cổ chân răng có bền không?
Độ bền của miếng trám phụ thuộc vào vật liệu, kỹ thuật thực hiện và thói quen sinh hoạt của người bệnh. Nếu chăm sóc đúng cách và tái khám định kỳ, miếng trám có thể duy trì nhiều năm.
Mòn cổ chân răng có cần lấy tủy không?
Chỉ những trường hợp mòn nặng gây viêm tủy mới cần điều trị tủy. Phần lớn các ca mòn cổ chân răng được xử lý bằng phương pháp bảo tồn như trám răng hoặc điều chỉnh thói quen.
Kết luận
Mòn cổ chân răng là bệnh lý răng miệng phổ biến nhưng hoàn toàn có thể kiểm soát nếu được phát hiện và điều trị kịp thời. Việc duy trì thói quen chăm sóc răng miệng đúng cách và khám răng định kỳ đóng vai trò then chốt trong việc bảo vệ răng lâu dài.
Nếu bạn đang gặp tình trạng ê buốt hoặc nghi ngờ mòn cổ chân răng, đừng chủ quan. Hãy liên hệ ngay với Nha Khoa Cẩm Tú để được thăm khám, tư vấn chi tiết và nhận phương án điều trị tối ưu cho tình trạng của bạn!
