Tiêu xương răng là tình trạng xương hàm bị suy giảm mật độ và thể tích, ảnh hưởng trực tiếp đến khả năng nâng đỡ răng. Tại Nha Khoa Cẩm Tú, việc thăm khám và điều trị tiêu xương răng được thực hiện bài bản, giúp phục hồi chức năng ăn nhai và thẩm mỹ.
Tiêu xương răng là gì?
Tiêu xương răng là quá trình xương ổ răng bị tiêu biến dần theo thời gian, khiến phần chân răng không còn được nâng đỡ chắc chắn. Tình trạng này thường xảy ra sau khi mất răng hoặc do các bệnh lý nha khoa kéo dài.

Khi xương hàm bị tiêu, nướu có xu hướng tụt xuống, răng trở nên lung lay và dễ gãy rụng. Nếu không can thiệp kịp thời, tiêu xương có thể ảnh hưởng nghiêm trọng đến cấu trúc toàn bộ hàm.
Xem thêm: Bệnh răng miệng
Nguyên nhân gây tiêu xương răng
Tiêu xương răng không xảy ra đột ngột mà thường là kết quả của nhiều yếu tố tích tụ trong thời gian dài. Việc hiểu rõ nguyên nhân sẽ giúp bạn chủ động phòng ngừa và điều trị hiệu quả hơn.
Mất răng lâu ngày
Sau khi mất răng, vùng xương hàm tại vị trí đó không còn chịu lực tác động từ quá trình ăn nhai. Điều này khiến xương dần bị tiêu biến theo cơ chế tự nhiên, làm giảm mật độ và thể tích xương. Càng để lâu không phục hình, mức độ tiêu xương càng nghiêm trọng và khó phục hồi.

Viêm nha chu kéo dài
Viêm nha chu là bệnh lý phá hủy các mô nâng đỡ răng, bao gồm cả xương ổ răng. Khi tình trạng viêm kéo dài mà không được điều trị, vi khuẩn sẽ ăn sâu vào cấu trúc xương, gây tiêu xương dần dần. Đây là nguyên nhân phổ biến nhưng thường bị xem nhẹ ở giai đoạn đầu.
Xem thêm: Răng sữa bị sâu
Thói quen vệ sinh răng miệng kém
Việc chải răng không đúng cách hoặc không vệ sinh răng miệng thường xuyên tạo điều kiện cho mảng bám và vi khuẩn tích tụ. Lâu ngày, các vi khuẩn này gây viêm nướu, viêm nha chu và phá hủy xương hàm, dẫn đến tiêu xương răng.

Lắp răng giả không đúng kỹ thuật
Răng giả không đảm bảo chất lượng hoặc lắp sai khớp cắn sẽ tạo áp lực không đồng đều lên xương hàm. Điều này khiến một số vùng xương bị quá tải, trong khi vùng khác không được kích thích, từ đó làm tăng nguy cơ tiêu xương nhanh hơn.
Xem thêm: Có nên nhổ răng sâu khi đang mang thai
Yếu tố tuổi tác và bệnh lý toàn thân
Theo thời gian, mật độ xương có xu hướng suy giảm tự nhiên, đặc biệt ở người lớn tuổi. Ngoài ra, các bệnh lý như loãng xương, tiểu đường hoặc rối loạn chuyển hóa cũng có thể ảnh hưởng đến khả năng tái tạo xương, làm tăng nguy cơ tiêu xương răng.

Dấu hiệu nhận biết tiêu xương răng
Tiêu xương răng thường diễn ra âm thầm trong giai đoạn đầu nên rất khó nhận biết nếu không chú ý. Việc phát hiện sớm các dấu hiệu bất thường sẽ giúp can thiệp kịp thời, hạn chế mất răng và biến dạng khuôn mặt.
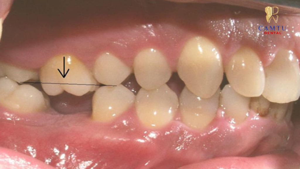
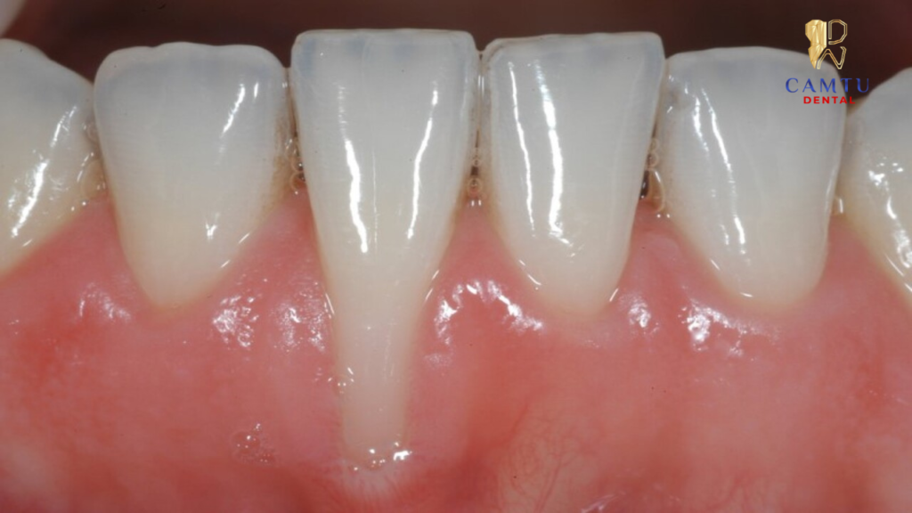
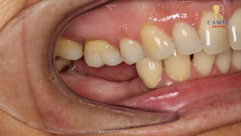
Nướu tụt, chân răng lộ dài
Khi xương hàm bị tiêu, phần nướu không còn được nâng đỡ sẽ dần co rút xuống, làm lộ chân răng. Lúc này, răng trông dài hơn bình thường và dễ bị ê buốt khi ăn uống, đặc biệt với thực phẩm nóng hoặc lạnh.

Răng lung lay, yếu dần
Xương ổ răng có vai trò giữ răng chắc chắn trong hàm, nên khi bị tiêu đi, răng sẽ mất độ ổn định. Người bệnh có thể cảm nhận răng bị lỏng, dễ xê dịch khi ăn nhai và có nguy cơ rụng răng nếu không điều trị sớm.
Khuôn mặt thay đổi, hóp má
Tiêu xương hàm kéo dài sẽ làm giảm thể tích xương nâng đỡ mô mềm, khiến khuôn mặt bị hóp lại, đặc biệt ở vùng má và môi. Điều này không chỉ ảnh hưởng đến thẩm mỹ mà còn khiến gương mặt trông già hơn so với tuổi thật.

Khó khăn khi ăn nhai
Khi cấu trúc xương hàm suy giảm, lực nhai cũng bị ảnh hưởng đáng kể. Người bệnh thường cảm thấy đau, ăn không chắc chắn hoặc phải tránh các thực phẩm cứng, từ đó ảnh hưởng đến chất lượng cuộc sống hàng ngày.
Tiêu xương răng có nguy hiểm không?
Tiêu xương răng là tình trạng không thể xem nhẹ vì tiến triển âm thầm nhưng để lại hậu quả lâu dài. Nếu không được can thiệp kịp thời, xương hàm sẽ tiếp tục tiêu biến và rất khó phục hồi tự nhiên.

Thực tế, khi xương hàm bị tiêu nhiều, răng sẽ mất điểm tựa và dẫn đến lung lay, thậm chí rụng hàng loạt. Không chỉ ảnh hưởng đến chức năng ăn nhai, tình trạng này còn gây biến dạng khuôn mặt như hóp má, lão hóa sớm.
Các phương pháp chẩn đoán tiêu xương răng tại Nha Khoa Cẩm Tú
Việc chẩn đoán chính xác là bước quan trọng để đánh giá mức độ tiêu xương và lựa chọn phương pháp điều trị phù hợp. Tại Nha Khoa Cẩm Tú, quy trình thăm khám được thực hiện đầy đủ, kết hợp giữa kiểm tra lâm sàng và chẩn đoán hình ảnh hiện đại.
Thăm khám lâm sàng
Bác sĩ tiến hành kiểm tra tổng quát khoang miệng, đánh giá tình trạng nướu, mức độ tụt nướu và độ lung lay của răng. Đồng thời, các dấu hiệu như viêm nha chu, mất răng lâu ngày hay thay đổi cấu trúc hàm cũng được ghi nhận để xác định nguy cơ tiêu xương.

Chụp X quang hoặc CT hàm
Hình ảnh X quang hoặc CT giúp quan sát rõ cấu trúc xương hàm, từ đó xác định chính xác vị trí và mức độ tiêu xương. Đây là cơ sở quan trọng để bác sĩ lên kế hoạch điều trị, đặc biệt trong các trường hợp cần ghép xương hoặc cấy ghép implant.
Đánh giá mật độ xương răng, hàm
Thông qua các chỉ số hình ảnh và phân tích chuyên sâu, bác sĩ sẽ đánh giá mật độ và chất lượng xương hàm. Điều này giúp xác định khả năng phục hồi xương cũng như lựa chọn phương pháp điều trị phù hợp, đảm bảo hiệu quả lâu dài.

Phương pháp điều trị tiêu xương răng
Việc điều trị tiêu xương răng cần dựa trên nguyên nhân và mức độ tiêu xương cụ thể ở từng bệnh nhân. Mục tiêu không chỉ là ngăn chặn tiêu xương tiến triển mà còn phục hồi cấu trúc xương và chức năng ăn nhai.
Điều trị bệnh lý nha chu
Trong các trường hợp tiêu xương do viêm nha chu, bác sĩ sẽ tiến hành làm sạch mảng bám, cao răng và điều trị viêm nhiễm. Việc kiểm soát vi khuẩn giúp ngăn chặn quá trình phá hủy xương tiếp diễn, đồng thời cải thiện sức khỏe nướu và mô nâng đỡ răng.

Ghép xương răng
Ghép xương là phương pháp bổ sung vật liệu xương vào vùng bị tiêu nhằm tái tạo lại cấu trúc xương hàm. Sau một thời gian, phần xương ghép sẽ tích hợp với xương tự nhiên, giúp tăng thể tích và mật độ xương, tạo điều kiện thuận lợi cho các phương pháp phục hình như implant.
Cấy ghép implant
Cấy ghép implant là giải pháp hiệu quả giúp thay thế răng đã mất và đồng thời ngăn ngừa tiêu xương. Trụ implant được đặt vào xương hàm sẽ đóng vai trò như chân răng thật, giúp kích thích xương phát triển và duy trì mật độ xương ổn định theo thời gian.

Sử dụng hàm giả hoặc cầu răng
Hàm giả tháo lắp hoặc cầu răng sứ giúp khôi phục chức năng ăn nhai và thẩm mỹ. Tuy nhiên, các phương pháp này không tác động trực tiếp đến xương hàm, vì vậy cần thực hiện đúng kỹ thuật và theo dõi định kỳ để hạn chế nguy cơ tiêu xương tiếp tục tiến triển.
Cách phòng ngừa tiêu xương răng
Phòng ngừa tiêu xương răng giúp duy trì cấu trúc xương hàm và bảo vệ răng chắc khỏe lâu dài. Việc hình thành thói quen chăm sóc đúng cách sẽ giảm đáng kể nguy cơ mắc bệnh và hạn chế biến chứng.
- Vệ sinh răng miệng đúng cách mỗi ngày, chải răng và làm sạch kẽ răng để ngăn mảng bám tích tụ
- Điều trị sớm các bệnh lý như viêm nướu, viêm nha chu để tránh phá hủy xương ổ răng
- Trồng răng sớm sau khi mất răng, đặc biệt là implant để duy trì mật độ xương hàm
- Hạn chế ăn thực phẩm quá cứng, tránh gây áp lực lớn lên răng và xương hàm
- Khám răng định kỳ để phát hiện sớm dấu hiệu tiêu xương và xử lý kịp thời

Câu hỏi thường gặp về tiêu xương răng
Dưới đây là những câu hỏi phổ biến giúp bạn hiểu rõ hơn về tình trạng tiêu xương răng và cách xử lý phù hợp.
Khi nào cần đi đến nha khoa?
Bạn nên đến nha khoa ngay khi xuất hiện các dấu hiệu như tụt nướu, răng lung lay, ê buốt kéo dài hoặc sau khi mất răng nhưng chưa phục hình. Việc thăm khám sớm giúp phát hiện mức độ tiêu xương và can thiệp kịp thời, tránh ảnh hưởng đến toàn bộ hàm răng.
Điều trị tiêu xương răng mất bao lâu?
Thời gian điều trị phụ thuộc vào mức độ tiêu xương và phương pháp áp dụng. Với trường hợp nhẹ, quá trình cải thiện có thể diễn ra trong vài tuần, trong khi các phương pháp như ghép xương hoặc cấy implant có thể kéo dài vài tháng để đảm bảo xương tích hợp ổn định.
Tiêu xương răng có phục hồi được không?
Tiêu xương răng có thể phục hồi một phần nếu được điều trị đúng cách, đặc biệt bằng các phương pháp như ghép xương hoặc cấy ghép implant. Tuy nhiên, hiệu quả phục hồi còn phụ thuộc vào tình trạng xương ban đầu, vì vậy việc phát hiện và điều trị sớm đóng vai trò rất quan trọng.
Kết luận
Tiêu xương răng là tình trạng nguy hiểm có thể ảnh hưởng trực tiếp đến khả năng ăn nhai và thẩm mỹ khuôn mặt nếu không được xử lý kịp thời. Việc phát hiện sớm và lựa chọn phương pháp điều trị phù hợp sẽ giúp bảo tồn cấu trúc xương hàm hiệu quả. Để đảm bảo an toàn và đạt kết quả tối ưu, bạn nên thăm khám tại Nha Khoa Cẩm Tú khi có dấu hiệu bất thường.