Các khí cụ hỗ trợ chỉnh nha trong điều trị chỉnh nha hiện đại
Nhổ răng sữa đúng thời điểm giúp răng vĩnh viễn mọc đúng vị trí, hạn chế chen chúc và giảm nguy cơ sai lệch khớp cắn về sau. Thông qua bài viết này, phụ huynh sẽ hiểu rõ khi nào nên nhổ răng, cách nhổ an toàn và những lưu ý quan trọng để giúp bé cảm thấy thoải mái hơn.
Tại Nha khoa Cẩm Tú, nhổ răng cho trẻ được thực hiện nhẹ nhàng, đúng chỉ định và luôn chú trọng đến tâm lý của bé, giúp phụ huynh yên tâm trong suốt quá trình điều trị.
Trang chủ
Khí cụ hỗ trợ chỉnh nha giúp kiểm soát lực, định hướng răng, hàm hiệu quả. Tìm hiểu chi tiết các loại, chỉ định và chi phí trong bài viết này!
Tổng quan về khí cụ hỗ trợ chỉnh nha
Khí cụ hỗ trợ chỉnh nha là các thiết bị được sử dụng nhằm kiểm soát lực và hỗ trợ di chuyển răng, điều chỉnh xương hàm trong quá trình chỉnh nha. Chúng thường được kết hợp với niềng răng để xử lý những trường hợp răng mọc lệch, hàm hẹp hoặc sai lệch khớp cắn phức tạp.
Việc sử dụng khí cụ hỗ trợ đúng chỉ định giúp tối ưu hiệu quả điều trị, rút ngắn thời gian niềng và tăng độ ổn định lâu dài. Đặc biệt ở trẻ em, khí cụ hỗ trợ còn giúp can thiệp sớm, định hướng sự phát triển răng, hàm hiệu quả hơn.
Khi nào cần sử dụng khí cụ hỗ trợ chỉnh nha?
Khí cụ hỗ trợ chỉnh nha được chỉ định trong những trường hợp sau nhằm đảm bảo hiệu quả điều trị tối ưu:
- Sai lệch răng, khớp cắn phức tạp: Hô, móm, cắn sâu, cắn hở hoặc cắn chéo cần kiểm soát lực và hướng di chuyển răng chính xác hơn.
- Thiếu khoảng trầm trọng: Cung hàm hẹp, chen chúc nhiều răng, cần tạo khoảng trước khi sắp đều.
- Răng ngầm, răng mọc lệch: Răng không mọc đúng vị trí, cần khí cụ hỗ trợ để kéo răng và định hướng mọc đúng.
- Bệnh nhân đang trong giai đoạn tăng trưởng: Trẻ em và thiếu niên có thể can thiệp sớm để dẫn hướng phát triển xương hàm.
- Trường hợp cần tiền chỉnh nha trước niềng chính thức: Chuẩn bị nền răng, xương hàm, giúp quá trình niềng răng sau đó diễn ra thuận lợi và hiệu quả hơn.
Các khí cụ hỗ trợ chỉnh nha tại Nha Khoa Cẩm Tú
Tùy theo tình trạng răng, khớp cắn và độ tuổi, bác sĩ sẽ chỉ định các khí cụ hỗ trợ chỉnh nha phù hợp. Dưới đây là những khí cụ thường được sử dụng, mỗi loại đảm nhiệm một vai trò riêng trong kế hoạch điều trị tổng thể.
1. Dựng trục răng
Dựng trục răng là kỹ thuật sử dụng khí cụ để điều chỉnh lại hướng và trục của răng trước khi bước vào giai đoạn sắp đều. Đây là bước chuẩn bị quan trọng giúp răng di chuyển đúng sinh học.

Khí cụ này thường được chỉ định trong các trường hợp răng nghiêng, răng đổ hoặc răng mọc lệch trục. Việc dựng trục răng giúp đưa răng về đúng hướng sinh lý, tạo nền răng và xương ổ răng ổn định, từ đó hỗ trợ các giai đoạn chỉnh nha tiếp theo diễn ra thuận lợi, hiệu quả và bền vững hơn.
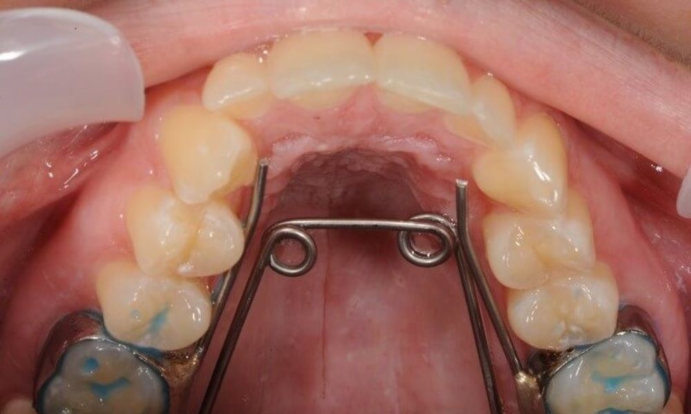
2. Minivis chỉnh nha
Minivis chỉnh nha là trụ titan kích thước nhỏ được đặt tạm thời vào xương hàm nhằm tạo neo chặn tuyệt đối trong quá trình chỉnh nha. Nhờ có điểm neo vững chắc, bác sĩ có thể kiểm soát lực di chuyển răng một cách chính xác, ổn định và chủ động, hạn chế tối đa những dịch chuyển không mong muốn của các răng còn lại trên cung hàm.

Khí cụ hỗ trợ chỉnh nha Minivis thường được chỉ định trong các trường hợp đóng khoảng sau nhổ răng, điều trị hô, móm, cắn sâu hoặc các sai lệch phức tạp. Khí cụ này đặc biệt hiệu quả trong các ca khó, giúp rút ngắn thời gian điều trị và không phụ thuộc nhiều vào sự hợp tác của bệnh nhân.
3. Khí cụ nong hàm
Khí cụ nong hàm là thiết bị chỉnh nha được sử dụng nhằm mở rộng cung hàm, giúp tạo thêm khoảng cho răng sắp đều và cải thiện tương quan khớp cắn. Tùy vào tình trạng cụ thể, bác sĩ có thể chỉ định nong hàm nhanh hoặc nong hàm chậm, với cơ chế tác động phù hợp để đảm bảo hiệu quả và an toàn cho xương hàm.
Khí cụ hỗ trợ chỉnh nha nong hàm thường được chỉ định trong các trường hợp hàm hẹp, răng chen chúc nhiều hoặc cắn chéo. Phươn

g pháp này mang lại hiệu quả tối ưu nhất ở trẻ em và thiếu niên, khi xương hàm còn đang phát triển, giúp hạn chế nhổ răng và tạo nền tảng thuận lợi cho quá trình chỉnh nha sau này.
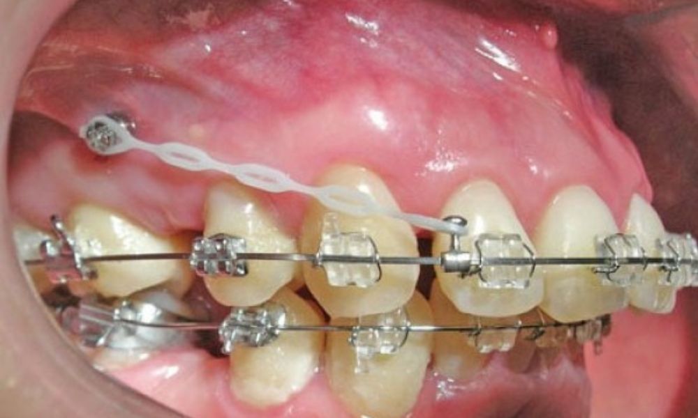
4. Kéo răng ngầm
Răng ngầm là tình trạng răng không mọc lên đúng vị trí trên cung hàm mà nằm kẹt trong xương hàm hoặc dưới nướu. Nếu không được can thiệp kịp thời, răng ngầm có thể gây ra nhiều biến chứng như tiêu chân răng kế cận, lệch khớp cắn, viêm nhiễm và ảnh hưởng đến thẩm mỹ cũng như chức năng ăn nhai.

Kéo răng ngầm là kỹ thuật phối hợp phẫu thuật bộc lộ răng và chỉnh nha nhằm đưa răng ngầm về đúng vị trí. Khí cụ hỗ trợ chỉnh nha này thường được chỉ định cho răng nanh ngầm và răng cửa ngầm, giúp bảo tồn răng thật, đảm bảo khớp cắn hài hòa và nâng cao hiệu quả điều trị chỉnh nha lâu dài.
5. Face mask chỉnh nha
Face Mask chỉnh nha là khí cụ chỉnh nha ngoài mặt được thiết kế để tác động trực tiếp lên xương hàm trên, giúp điều chỉnh các sai lệch về xương. Khí cụ này hoạt động bằng cách tạo lực kéo đưa hàm trên ra trước, cải thiện tương quan giữa hai hàm và hỗ trợ điều trị các trường hợp móm do xương.

Khí cụ hỗ trợ chỉnh nha Face Mask thường được chỉ định cho trẻ em bị móm do xương hàm trên kém phát triển. Thời điểm can thiệp lý tưởng là giai đoạn tăng trưởng, khi xương hàm còn khả năng đáp ứng tốt với lực chỉnh nha, giúp đạt hiệu quả cao và hạn chế các can thiệp phức tạp sau này.
6. Hàm twin block
Hàm Twin Block là khí cụ chỉnh nha tháo lắp gồm hai khối riêng biệt cho hàm trên và hàm dưới, được thiết kế nhằm can thiệp vào sự phát triển xương hàm. Khi bệnh nhân ngậm miệng, hai khối hàm này sẽ phối hợp với nhau để định vị lại vị trí hàm dưới, từ đó điều chỉnh tương quan giữa hai hàm.

Khí cụ hỗ trợ chỉnh nha Twin Block thường được chỉ định trong các trường hợp hô do hàm dưới lùi, giúp kích thích hàm dưới phát triển theo hướng thuận lợi. Phương pháp này phù hợp nhất cho trẻ em và thiếu niên, khi xương hàm còn đang tăng trưởng, góp phần cải thiện khớp cắn và hạn chế nhu cầu điều trị phức tạp ở giai đoạn sau.
7. Hàm Trainer
Hàm Trainer là khí cụ chỉnh nha tháo lắp bằng vật liệu mềm, được thiết kế để hỗ trợ điều chỉnh sớm các vấn đề về răng, hàm ở trẻ em. Khí cụ này hoạt động chủ yếu thông qua việc tác động lên cơ môi, lưỡi và thói quen sinh hoạt, từ đó định hướng răng và hàm phát triển đúng hơn.

Khí cụ hỗ trợ chỉnh nha hàm Trainer thường được chỉ định cho trẻ em trong giai đoạn răng hỗn hợp, đặc biệt khi trẻ có các thói quen xấu như mút tay, đẩy lưỡi, thở miệng. Mục tiêu của khí cụ là can thiệp sớm, hạn chế sai lệch khớp cắn, giúp giảm mức độ phức tạp và thời gian chỉnh nha ở giai đoạn sau.
8. Chỉnh nha một hàm
Chỉnh nha 1 hàm là phương pháp điều trị chỉnh nha chỉ thực hiện trên một hàm răng (trên hoặc dưới) thay vì toàn bộ hai hàm. Phương pháp này nhằm cải thiện một số sai lệch răng nhất định trong trường hợp mức độ lệch nhẹ và không ảnh hưởng nhiều đến khớp cắn tổng thể.

Tuy nhiên, chỉnh nha 1 hàm chỉ được chỉ định rất chọn lọc và cần được bác sĩ đánh giá kỹ lưỡng. Trước khi quyết định điều trị, bác sĩ phải phân tích toàn diện khớp cắn, tương quan hai hàm và chức năng ăn nhai để đảm bảo hiệu quả lâu dài và tránh nguy cơ mất cân đối sau chỉnh nha.
9. Chỉnh nha 2-4 răng trẻ em
Chỉnh nha 2 – 4 răng trẻ em, còn gọi là chỉnh nha cục bộ, là phương pháp can thiệp chỉnh nha chỉ tập trung vào một nhóm răng nhỏ thay vì toàn bộ cung hàm. Khí cụ hỗ trợ chỉnh nha này thường được áp dụng sớm nhằm xử lý những sai lệch ban đầu trong quá trình mọc răng của trẻ.

Mục tiêu chính của chỉnh nha cục bộ là dẫn hướng răng mọc đúng vị trí và tạo khoảng sớm trên cung hàm. Việc can thiệp kịp thời giúp giảm mức độ chen chúc, hạn chế sai lệch khớp cắn, từ đó làm đơn giản hóa và rút ngắn thời gian niềng răng toàn hàm trong tương lai.
10. Tiền chỉnh nha
Tiền chỉnh nha là giai đoạn can thiệp sớm các sai lệch về răng và xương hàm trước khi tiến hành niềng răng cố định toàn diện. Phương pháp này thường sử dụng các khí cụ hỗ trợ phù hợp để định hướng sự phát triển của răng và hàm, giúp tạo nền tảng thuận lợi cho quá trình chỉnh nha sau này

Thời điểm vàng để thực hiện tiền chỉnh nha là từ 6 – 10 tuổi, khi xương hàm của trẻ còn đang phát triển mạnh. Việc can thiệp đúng lúc giúp hạn chế tối đa nguy cơ phải nhổ răng, rút ngắn thời gian niềng cố định và mang lại hiệu quả điều trị ổn định, bền vững về lâu dài.
Quy trình chỉ định khí cụ chỉnh nha tại Nha Khoa Cẩm Tú
Tại Nha Khoa Cẩm Tú, việc chỉ định khí cụ hỗ trợ chỉnh nha được thực hiện theo quy trình khoa học và cá nhân hóa, nhằm đảm bảo mỗi bệnh nhân được can thiệp đúng khí cụ, đúng thời điểm và đạt hiệu quả điều trị tối ưu.
Thăm khám & chụp phim
Lập kế hoạch điều trị
Tiến hành phẫu thuật
Theo dõi và tái khám
Bước 1: Thăm khám và chẩn đoán chỉnh nha
Dựa trên kết quả chẩn đoán, bác sĩ sẽ lựa chọn khí cụ phù hợp với từng tình trạng răng hàm cụ thể. Kế hoạch điều trị được xây dựng chi tiết, trong đó xác định rõ thời điểm can thiệp, mục tiêu từng giai đoạn nhằm tối ưu hiệu quả chỉnh nha lâu dài.
Bước 2: Lập kế hoạch điều trị cá nhân hóa
Trước khi nhổ, bác sĩ sẽ trò chuyện nhẹ nhàng, giải thích đơn giản để bé không lo sợ. Phụ huynh cũng được hướng dẫn cách động viên, giúp trẻ hợp tác tốt hơn trong suốt quá trình thực hiện.

Bước 3: Theo dõi và điều chỉnh định kỳ
Trong suốt quá trình điều trị, bệnh nhân được theo dõi và tái khám định kỳ để kiểm soát lực chỉnh nha. Bác sĩ sẽ đánh giá mức độ đáp ứng của răng và xương hàm, từ đó điều chỉnh khí cụ kịp thời, đảm bảo quá trình chỉnh nha diễn ra an toàn và hiệu quả.
Đặt lịch ngay hôm nay!
Đặt lịch khám và tư vấn miễn phí!
Vì sao nên chỉnh nha tại Nha khoa Cẩm Tú
Khí cụ hỗ trợ chỉnh nha giúp kiểm soát lực, định hướng răng và hỗ trợ điều chỉnh xương hàm, góp phần nâng cao hiệu quả và rút ngắn thời gian chỉnh nha. Tại Nha Khoa Cẩm Tú, khí cụ được chỉ định đúng thời điểm, cá nhân hóa theo từng trường hợp, mang lại kết quả ổn định và bền vững lâu dài.
Khí cụ chỉnh nha tại Nha khoa Cẩm Tú
Các khí cụ này có vai trò hỗ trợ điều chỉnh răng lệch lạc, khấp khểnh hoặc sai khớp cắn, từ đó cải thiện chức năng ăn nhai và thẩm mỹ nụ cười.
NIỀNG RĂNG
Khí cụ
Dựng trục răng
NIỀNG RĂNG
Khí cụ
Minivis chỉnh nha
NIỀNG RĂNG
Khí cụ
Nong hàm
NIỀNG RĂNG
Khí cụ
Kéo răng ngầm
NIỀNG RĂNG
Khí cụ
Face Mask chỉnh nha
NIỀNG RĂNG
Khí cụ
Hàm Twin Block
NIỀNG RĂNG
Khí cụ
Hàm Trainer
NIỀNG RĂNG
Khí cụ
Chỉnh nha 1 hàm
NIỀNG RĂNG
Khí cụ
Chỉnh nha 2-4 răng
NIỀNG RĂNG
Khí cụ
Tiền chỉnh nha
Vì sao nên chọn chỉnh nha tại nha khoa cẩm tú?
BS Hùng & BS Phan Tuấn trực tiếp điều trị
Thăm khám, lập kế hoạch và cấy ghép Implant trực tiếp bởi bác sĩ chuyên môn, đảm bảo độ chính xác và xuyên suốt điều trị
Kinh nghiệm chuyên sâu về Nha khoa
Đội ngũ bác sĩ có kinh nghiệm thực hiện đa dạng ca Implant từ đơn lẻ đến toàn hàm, đến các ca khó như tiêu xương, nâng xoang.
Trang thiết bị hỗ trợ chẩn đoán hiện đại
Ứng dụng CT Cone Beam 3D và công nghệ hỗ trợ cấy ghép giúp chẩn đoán chính xác, nâng cao tỷ lệ thành công và độ bền Implant
Quy trình vô trùng, an toàn
Phẫu thuật Implant được thực hiện trong môi trường vô trùng nghiêm ngặt, tuân thủ tiêu chuẩn y khoa, đảm bảo an toàn tối đa.
Kết quả niềng răng toàn diện, bền vững
Hơn 10.000 khách hàng trong và ngoài tỉnh đã tìm được giải pháp đáng tin cậy, đảm bảo thẩm mỹ về răng sau khi sử dụng dịch vụ.
Kết thúc hàng ngàn ca thành công
Phác đồ điều trị chuẩn xác, công nghệ Đức hiện đại và trình độ chuyên sâu, mang lại nụ cười tự tin cho hàng ngàn khách hàng.
Câu chuyện khách hàng
nhổ răng Sữa tại nha khoa cẩm tú
Nguyễn Thị Thùy
Chỉnh nha trong suốt Invisalign
Phương pháp chỉnh nha trong suốt Invisalign giúp cải thiện hiệu quả các tình trạng răng hô, thưa, móm, khấp khểnh với tính thẩm mỹ cao. Khay niềng trong suốt, dễ tháo lắp giúp việc ăn uống, vệ sinh răng miệng và sinh hoạt hằng ngày trở nên thuận tiện hơn.
Bên cạnh đó, Invisalign mang lại cảm giác thoải mái, ít gây khó chịu, đồng thời giúp răng dịch chuyển đúng hướng, từng bước cải thiện nụ cười đều đẹp và tự nhiên.
Lô Thị Kiều Vy
Niềng răng thưa, hô nhẹ
Với tình trạng răng thưa kèm hô nhẹ, bác sĩ đã xây dựng phác đồ niềng răng cá nhân hóa giúp răng dịch chuyển đúng hướng, đóng khe thưa và cải thiện khớp cắn hiệu quả. Ngoài thẩm mỹ cao, việc chỉnh nha còn giúp khả năng ăn nhai tốt hơn và mang lại nụ cười cân đối.
Sau hơn 1 năm niềng răng tại Nha khoa Cẩm Tú, Kiều Vy đã có sự thay đổi rõ rệt với nụ cười rạng rỡ và sự tự tin hơn trong giao tiếp.
Lương Thị Mùi
Răng hô chỉa, khớp cắn sâu
Quá trình điều trị sử dụng niềng răng mắc cài kim loại cho cả hai hàm, kết hợp cắm 2 minivis để hỗ trợ kéo giảm hô và kỹ thuật đánh lún hàm dưới nhằm cải thiện tình trạng khớp cắn sâu, giúp cân chỉnh tổng thể hàm răng.
Với phác đồ điều trị cá nhân hóa từ bác sĩ Nha khoa Cẩm Tú và sự kiên trì trong suốt quá trình chỉnh nha, bạn Mùi từng bước tiến gần hơn đến nụ cười đều đẹp và tự tin hơn.
Ưu điểm khi chỉnh nha tại Nha khoa Cẩm Tú
Chỉnh nha giúp sắp xếp các răng về đúng vị trí trên cung hàm, từ đó khắc phục tình trạng răng khấp khểnh, lệch lạc hoặc thưa. Sau khi niềng răng, nụ cười trở nên hài hòa hơn và giúp khuôn mặt cân đối hơn.
Ưu điểm của các khí cụ chỉnh nha
Các khí cụ chỉnh nha giúp tạo lực tác động lên răng và xương hàm, từ đó đưa răng dịch chuyển dần về vị trí mong muốn. Nhờ vậy, tình trạng răng lệch lạc, chen chúc hoặc sai khớp cắn được cải thiện hiệu quả.
Khi răng và hàm được sắp xếp đúng vị trí, khớp cắn trở nên cân đối hơn. Điều này giúp việc ăn nhai dễ dàng, hạn chế tình trạng mòn răng không đều và giảm áp lực lên khớp thái dương hàm.
Ưu điểm của các khí cụ chỉnh nha
Sau quá trình chỉnh nha, răng trở nên đều và hài hòa hơn với khuôn mặt. Điều này giúp cải thiện đáng kể thẩm mỹ nụ cười và giúp người niềng răng tự tin hơn trong giao tiếp.
Các khí cụ chỉnh nha hiện nay được thiết kế đa dạng, phù hợp cho cả trẻ em và người trưởng thành. Nhờ đó, nhiều đối tượng có thể cải thiện tình trạng răng miệng và đạt được hàm răng đều đẹp hơn.
Câu hỏi thường gặp về khí cụ chỉnh nha
Trong quá trình chỉnh nha, nhiều bệnh nhân và phụ huynh còn băn khoăn về việc sử dụng khí cụ hỗ trợ. Dưới đây là những câu hỏi thường gặp giúp bạn hiểu rõ hơn trước khi điều trị.
1. Khí cụ hỗ trợ chỉnh nha có đau không?
Khí cụ hỗ trợ chỉnh nha không gây đau nhiều, chỉ có cảm giác căng tức nhẹ trong những ngày đầu hoặc sau mỗi lần điều chỉnh. Cảm giác này hoàn toàn trong ngưỡng chịu đựng và sẽ nhanh chóng ổn định.
2. Có bắt buộc phải dùng khí cụ hỗ trợ chỉnh nha không?
Không phải trường hợp nào cũng cần sử dụng khí cụ hỗ trợ. Khí cụ chỉ được bác sĩ chỉ định khi cần thiết, thường áp dụng cho các ca sai lệch phức tạp hoặc cần can thiệp sớm để tối ưu hiệu quả chỉnh nha và rút ngắn thời gian điều trị.
3. Trẻ em nên can thiệp chỉnh nha từ mấy tuổi?
Thời điểm phù hợp để can thiệp sớm thường từ 6 – 10 tuổi, khi răng và xương hàm đang phát triển. Việc thăm khám sớm giúp phát hiện sai lệch kịp thời và lựa chọn khí cụ phù hợp nếu cần
4. Khí cụ hỗ trợ chỉnh nha có ảnh hưởng đến sinh hoạt hằng ngày không?
Trong thời gian đầu, bệnh nhân có thể cảm thấy hơi vướng hoặc khó chịu nhẹ. Tuy nhiên, cảm giác này sẽ nhanh chóng giảm và không ảnh hưởng nhiều đến ăn nhai, sinh hoạt khi đã quen khí cụ.
5. Có thể kết hợp nhiều khí cụ hỗ trợ chỉnh nha không?
Có. Trong một số trường hợp, bác sĩ có thể chỉ định kết hợp nhiều khí cụ theo từng giai đoạn để đạt hiệu quả điều trị tối ưu, đảm bảo răng và xương hàm di chuyển đúng kế hoạch.
6. Chi phí các khí cụ hỗ trợ chỉnh nha tại Nha Khoa Cẩm Tú
Chi phí khí cụ hỗ trợ chỉnh nha tại Nha Khoa Cẩm Tú được xây dựng minh bạch, rõ ràng. Dưới đây là bảng chi phí cho các khí cụ hỗ trợ chỉnh nha mà bạn có thể tham khảo:
Khí cụ hỗ trợ chỉnh nha | Chi phí (VNĐ) | Đơn vị |
Dựng trục răng | 5.000.000 | răng |
Minivis chỉnh nha | 2.500.000 | cái |
Khí cụ nong hàm | 5.000.000 | hàm |
Kéo răng ngầm | 5.000.000 | răng |
Face Mask chỉnh nha | 5.000.000 | bộ |
Hàm Twin Block | 5.000.000 | bộ |
Hàm Trainer | 3.000.000 | bộ |
Chỉnh nha 1 hàm | 10.000.000 – 15.000.000 | hàm |
Chỉnh nha 2 – 4 răng trẻ em | 5.000.000 – 10.000.000 | gói |
Tiền chỉnh nha | 10.000.000 | hàm |
Bảng chi phí các khí cụ hỗ trợ chỉnh nha
Lưu ý: Chi phí trên mang tính tham khảo và có thể thay đổi tùy mức độ phức tạp của từng ca. Liên hệ Nha Khoa Cẩm Tú để được thăm khám và báo giá chính xác, phù hợp với tình trạng răng – hàm của bạn!
Những bài viết liên quan
Cơ sở vật chất
Khí cụ Headgear: Giải pháp chỉnh nha cải thiện hàm hô và sai khớp cắn
Khí cụ Headgear là giải pháp chỉnh nha chuyên sâu giúp kiểm soát sự phát triển xương hàm và cải thiện tình trạng hàm hô, sai khớp cắn ở trẻ em trong giai đoạn tăng trưởng. Phương pháp này đặc biệt hiệu quả khi được can thiệp …
Ngày đăng: 16.12.2025
Chia sẻ
Nạo túi nha chu là gì? Khi nào cần nạo túi nha chu?
Nạo túi nha chu là một phương pháp điều trị thường được chỉ định khi bệnh nha chu tiến triển nặng và không còn đáp ứng với lấy cao răng thông thường. Tuy nhiên, nhiều người vẫn chưa hiểu rõ nạo túi nha chu là gì, khi nào cần thực hiện …
Ngày đăng: 16.12.2025
Kiến thức nha khoa
Hướng dẫn chăm sóc răng miệng cho trẻ theo từng độ tuổi đúng cách
Chăm sóc răng miệng cho trẻ theo từng độ tuổi là yếu tố quan trọng giúp trẻ phát triển hàm răng khỏe mạnh và phòng tránh các bệnh lý nha khoa từ sớm. Ở mỗi giai đoạn phát triển, cấu trúc răng và khả năng tự vệ sinh của trẻ …
Ngày đăng: 16.12.2025
Kiến thức nha khoa
Công nghệ Smile Digital Design trong thiết kế nụ cười nha khoa
Smile Digital Design là công nghệ thiết kế nụ cười kỹ thuật số giúp mô phỏng kết quả thẩm mỹ răng trước khi điều trị. Tại Nha Khoa Cẩm Tú, công nghệ này hỗ trợ bác sĩ xây dựng kế hoạch điều trị chính xác và cá nhân hóa nụ cười cho …
Ngày đăng: 16.12.2025
Kiến thức nha khoa
Răng hô nên niềng hay bọc sứ? Đây là câu hỏi khiến nhiều người băn khoăn khi muốn cải thiện nụ cười nhưng lo ảnh hưởng đến răng thật. Trong bài viết này, Nha Khoa Cẩm Tú sẽ giúp bạn hiểu rõ nguyên nhân răng hô, phân biệt niềng …
Ngày đăng: 16.12.2025
Kiến thức nha khoa
Tủy răng bị thối là gì? Dấu hiệu, nguyên nhân và cách điều trị
Tủy răng bị thối là tình trạng mô tủy hoại tử kèm nhiễm trùng nghiêm trọng, gây đau nhức, hôi miệng và có thể dẫn đến mất răng nếu không điều trị kịp thời. Nha Khoa Cẩm Tú chia sẻ đầy đủ dấu hiệu nhận biết, nguyên nhân và phương …