Sâu răng trẻ em là tình trạng phổ biến có thể gây đau nhức và ảnh hưởng đến sức khỏe răng miệng của trẻ nếu không được phát hiện sớm. Cùng Nha Khoa Cẩm Tú tìm hiểu nguyên nhân, dấu hiệu và cách phòng ngừa sâu răng hiệu quả cho trẻ.
Sâu răng trẻ em là gì?
Sâu răng trẻ em là tình trạng tổn thương cấu trúc răng do vi khuẩn trong khoang miệng tạo ra axit phá hủy men răng và ngà răng. Bệnh thường xuất hiện ở răng sữa và có thể tiến triển nhanh nếu không được phát hiện và điều trị kịp thời.

Sâu răng ở trẻ em thường liên quan đến chế độ ăn nhiều đường, vệ sinh răng miệng chưa đúng cách và sự tích tụ mảng bám vi khuẩn. Nếu không kiểm soát tốt, tình trạng này có thể gây đau nhức, ảnh hưởng đến việc ăn uống, phát triển răng vĩnh viễn và sức khỏe răng miệng lâu dài của trẻ.
Xem thêm: Trám răng glass ionomer (GIC)
Nguyên nhân gây sâu răng ở trẻ em
Sâu răng trẻ em thường liên quan đến chế độ ăn uống nhiều đường, thói quen vệ sinh răng miệng chưa đúng cách và một số yếu tố sinh học của răng. Hiểu rõ các nguyên nhân phổ biến sẽ giúp phụ huynh chủ động phòng ngừa và bảo vệ răng miệng cho trẻ tốt hơn.
Trẻ ăn nhiều đồ ngọt và thực phẩm chứa đường
Bánh kẹo, nước ngọt, sữa có đường, socola hoặc các loại thực phẩm chế biến sẵn thường chứa hàm lượng đường cao. Khi trẻ ăn những thực phẩm này, vi khuẩn trong khoang miệng sẽ phân hủy đường và tạo ra axit.

Các axit này bám trên bề mặt răng và dần làm mòn lớp men răng bảo vệ bên ngoài. Nếu tình trạng này kéo dài, men răng sẽ bị phá hủy, tạo thành các lỗ sâu trên răng và gây sâu răng ở trẻ em.
Xem thêm: Hôi miệng
Vệ sinh răng miệng chưa đúng cách
Nhiều trẻ chưa hình thành thói quen đánh răng đều đặn hoặc chưa biết cách đánh răng đúng kỹ thuật. Việc đánh răng qua loa hoặc bỏ qua bước vệ sinh răng sau khi ăn khiến mảng bám và thức ăn thừa tích tụ trên răng.
Theo thời gian, các mảng bám này trở thành môi trường thuận lợi cho vi khuẩn phát triển và tấn công men răng. Đây là một trong những nguyên nhân phổ biến khiến trẻ dễ bị sâu răng.
Xem thêm: Phẫu thuật nha chu
Vi khuẩn trong khoang miệng phát triển mạnh
Trong khoang miệng luôn tồn tại nhiều loại vi khuẩn khác nhau. Khi trẻ thường xuyên ăn đồ ngọt hoặc không vệ sinh răng miệng sạch sẽ, vi khuẩn sẽ phát triển mạnh và hình thành mảng bám trên răng.

Các vi khuẩn này sẽ tạo ra axit làm phá hủy men răng và ngà răng. Nếu không được kiểm soát, quá trình này sẽ dẫn đến sâu răng và có thể lan rộng sang các răng khác.
Thói quen bú bình ban đêm
Trẻ có thói quen bú bình sữa hoặc uống nước ngọt trước khi ngủ có nguy cơ sâu răng cao hơn. Khi trẻ ngủ, lượng nước bọt tiết ra ít hơn nên khả năng làm sạch khoang miệng cũng giảm.
Đường trong sữa hoặc đồ uống sẽ bám lại trên bề mặt răng trong thời gian dài. Điều này tạo điều kiện thuận lợi cho vi khuẩn hoạt động và gây sâu răng sớm ở trẻ nhỏ.
Men răng yếu hoặc thiếu khoáng chất
Một số trẻ có men răng yếu bẩm sinh hoặc không được cung cấp đầy đủ các khoáng chất cần thiết như canxi, photpho và fluoride. Khi men răng không đủ chắc khỏe, răng sẽ dễ bị axit tấn công hơn.

Ngoài ra, chế độ dinh dưỡng thiếu chất trong giai đoạn phát triển cũng có thể khiến cấu trúc răng yếu hơn bình thường. Điều này làm tăng nguy cơ sâu răng ở trẻ em nếu không được chăm sóc và bảo vệ đúng cách.
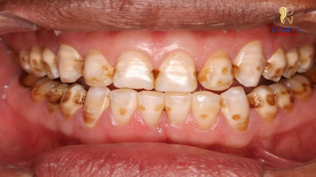
Dấu hiệu nhận biết sâu răng ở trẻ em
Sâu răng trẻ em thường phát triển âm thầm trong giai đoạn đầu nên nhiều phụ huynh khó nhận ra. Quan sát kỹ những thay đổi bất thường trên răng sẽ giúp phát hiện sớm và xử lý kịp thời.
Xuất hiện đốm trắng hoặc đen trên răng
Một trong những dấu hiệu sớm của sâu răng là sự xuất hiện các đốm trắng đục, vàng hoặc nâu đen trên bề mặt răng. Đây là biểu hiện men răng đang bị vi khuẩn và axit phá hủy. Nếu không được xử lý kịp thời, các đốm này có thể lan rộng và hình thành lỗ sâu trên răng.

Trẻ đau răng khi ăn uống
Khi sâu răng tiến triển, trẻ có thể cảm thấy ê buốt hoặc đau khi ăn đồ nóng, lạnh hoặc thực phẩm nhiều đường. Cơn đau có thể xuất hiện thoáng qua hoặc kéo dài tùy vào mức độ tổn thương của răng. Một số trẻ còn có biểu hiện ngại nhai hoặc chỉ nhai ở một bên hàm.
Hơi thở có mùi hôi
Sâu răng khiến thức ăn dễ mắc lại trong các lỗ sâu và khó làm sạch hoàn toàn. Vi khuẩn phân hủy thức ăn sẽ tạo ra mùi hôi khó chịu trong khoang miệng. Nếu trẻ thường xuyên bị hôi miệng dù đã vệ sinh răng miệng, phụ huynh nên kiểm tra để phát hiện nguy cơ sâu răng.

Răng bị mẻ hoặc xuất hiện lỗ sâu
Ở giai đoạn nặng hơn, bề mặt răng có thể xuất hiện các lỗ sâu rõ rệt hoặc bị mẻ, vỡ một phần. Điều này cho thấy cấu trúc răng đã bị phá hủy khá nhiều. Nếu không điều trị sớm, sâu răng có thể lan đến tủy răng và gây đau nhức nghiêm trọng cho trẻ.
Sâu răng trẻ em có nguy hiểm không?
Sâu răng trẻ em có thể gây nguy hiểm nếu không được phát hiện và điều trị sớm. Khi răng bị sâu, vi khuẩn sẽ tiếp tục phá hủy men răng và ngà răng, khiến trẻ bị đau nhức, ê buốt khi ăn uống. Tình trạng này kéo dài có thể làm trẻ biếng ăn, khó ngủ và ảnh hưởng đến sức khỏe cũng như sự phát triển của trẻ.

Ngoài ra, nếu sâu răng tiến triển nặng, vi khuẩn có thể xâm nhập vào tủy răng gây viêm tủy, áp xe răng hoặc nhiễm trùng. Đối với răng sữa, tình trạng sâu răng nghiêm trọng còn có thể ảnh hưởng đến mầm răng vĩnh viễn bên dưới, khiến răng mọc lệch, mọc chậm hoặc yếu hơn.
Vì vậy, khi phát hiện trẻ có dấu hiệu sâu răng, phụ huynh nên đưa trẻ đi khám nha khoa sớm để được điều trị kịp thời.
Các phương pháp điều trị sâu răng trẻ em
Tùy vào mức độ sâu răng và tình trạng răng miệng của trẻ, bác sĩ nha khoa sẽ chỉ định phương pháp điều trị phù hợp nhằm loại bỏ tổn thương và bảo vệ răng.
| Phương pháp | Mô tả |
| Trám răng sâu cho trẻ | Bác sĩ làm sạch phần răng bị sâu và dùng vật liệu nha khoa để trám lại lỗ sâu, giúp phục hồi hình dạng và chức năng của răng. |
| Điều trị tủy răng sữa khi cần thiết | Khi sâu răng đã lan đến tủy, bác sĩ sẽ loại bỏ phần tủy bị viêm và phục hồi răng để duy trì răng sữa. |
| Nhổ răng sữa bị sâu nặng | Nếu răng bị sâu quá nặng và không thể phục hồi, bác sĩ có thể chỉ định nhổ răng để tránh lây lan nhiễm trùng. |
| Sử dụng Fluoride để bảo vệ răng | Fluoride giúp tăng cường men răng và hỗ trợ ngăn ngừa sâu răng tiến triển. |
Cách phòng ngừa sâu răng cho trẻ hiệu quả
Sâu răng trẻ em có thể được phòng ngừa hiệu quả nếu trẻ được chăm sóc răng miệng đúng cách ngay từ sớm. Phụ huynh nên hình thành cho trẻ những thói quen tốt trong sinh hoạt và ăn uống hằng ngày.
- Hướng dẫn trẻ đánh răng đúng cách: Cho trẻ đánh răng ít nhất 2 lần mỗi ngày bằng kem đánh răng chứa fluoride để làm sạch mảng bám và vi khuẩn trên răng.
- Hạn chế đồ ngọt và nước uống có đường: Giảm lượng bánh kẹo, nước ngọt và các thực phẩm nhiều đường để hạn chế môi trường thuận lợi cho vi khuẩn gây sâu răng.
- Tạo thói quen súc miệng sau khi ăn: Sau mỗi bữa ăn, nên cho trẻ súc miệng hoặc uống nước để loại bỏ thức ăn còn bám trên răng.
- Khám răng định kỳ cho trẻ: Nên đưa trẻ đi kiểm tra răng miệng khoảng 6 tháng một lần để phát hiện sớm các vấn đề răng miệng.
- Bổ sung thực phẩm tốt cho răng: Tăng cường các thực phẩm giàu canxi, vitamin D và khoáng chất giúp răng chắc khỏe và phát triển tốt.
Cách chăm sóc răng miệng cho trẻ theo từng độ tuổi
Chăm sóc răng miệng đúng cách theo từng giai đoạn phát triển giúp hạn chế nguy cơ sâu răng trẻ em và giúp răng phát triển khỏe mạnh. Mỗi độ tuổi của trẻ sẽ có cách vệ sinh và chăm sóc răng miệng khác nhau.
Trẻ dưới 3 tuổi
Ở giai đoạn này, răng sữa bắt đầu mọc nên cha mẹ cần chú ý vệ sinh răng miệng cho trẻ mỗi ngày. Có thể dùng gạc mềm hoặc bàn chải lông mềm để lau sạch răng và nướu sau khi trẻ ăn hoặc uống sữa.

Ngoài ra, phụ huynh nên hạn chế cho trẻ bú bình hoặc uống sữa có đường trước khi ngủ vì đường dễ bám trên răng và tạo điều kiện cho vi khuẩn phát triển. Việc tập cho trẻ làm quen với thói quen vệ sinh răng miệng từ sớm sẽ giúp phòng ngừa sâu răng hiệu quả.
Trẻ từ 3 – 6 tuổi
Ở độ tuổi này, trẻ đã có thể bắt đầu tự đánh răng nhưng vẫn cần sự hướng dẫn và giám sát của cha mẹ. Nên cho trẻ sử dụng kem đánh răng chứa fluoride với lượng nhỏ và duy trì thói quen đánh răng ít nhất hai lần mỗi ngày.
Bên cạnh đó, cha mẹ cũng nên nhắc trẻ hạn chế ăn quá nhiều bánh kẹo và đồ ngọt. Việc xây dựng thói quen chăm sóc răng miệng đúng cách từ giai đoạn này sẽ giúp giảm nguy cơ sâu răng và bảo vệ răng sữa tốt hơn.
Trẻ từ 6 – 12 tuổi
Đây là giai đoạn trẻ bắt đầu thay răng sữa bằng răng vĩnh viễn nên việc chăm sóc răng miệng càng quan trọng. Cha mẹ cần hướng dẫn trẻ đánh răng đúng cách, làm sạch cả mặt ngoài, mặt trong và mặt nhai của răng.

Ngoài ra, trẻ có thể bắt đầu sử dụng chỉ nha khoa để làm sạch kẽ răng và loại bỏ thức ăn thừa. Phụ huynh cũng nên cho trẻ khám răng định kỳ để phát hiện sớm các vấn đề răng miệng và phòng ngừa sâu răng hiệu quả.
Câu hỏi thường gặp về sâu răng trẻ em
Sâu răng trẻ em là vấn đề nhiều phụ huynh quan tâm khi chăm sóc răng miệng cho con. Dưới đây là một số câu hỏi thường gặp giúp bạn hiểu rõ hơn về tình trạng này.
Sâu răng ở trẻ em có tự khỏi không?
Sâu răng ở trẻ em không thể tự khỏi vì men răng đã bị vi khuẩn phá hủy. Nếu không được điều trị, lỗ sâu sẽ ngày càng lớn và có thể lan vào lớp ngà hoặc tủy răng. Điều này có thể gây đau nhức, nhiễm trùng và ảnh hưởng đến sức khỏe răng miệng của trẻ.
Khi nào nên đưa trẻ đi khám nha khoa?
Phụ huynh nên đưa trẻ đi khám nha khoa khi phát hiện các dấu hiệu như răng xuất hiện đốm đen, trẻ than đau răng, răng bị mẻ hoặc hơi thở có mùi hôi kéo dài. Ngay cả khi không có dấu hiệu bất thường, trẻ vẫn nên được kiểm tra răng miệng định kỳ.
Trẻ bị sâu răng sữa có cần điều trị không?
Răng sữa bị sâu vẫn cần được điều trị vì chúng đóng vai trò quan trọng trong việc ăn nhai và giữ chỗ cho răng vĩnh viễn mọc đúng vị trí. Nếu không điều trị, sâu răng có thể gây đau, nhiễm trùng và ảnh hưởng đến sự phát triển của răng vĩnh viễn.
Trám răng cho trẻ có đau không?
Trám răng là phương pháp điều trị sâu răng phổ biến và thường ít gây đau cho trẻ. Trong quá trình điều trị, bác sĩ sẽ làm sạch phần răng bị sâu và sử dụng vật liệu trám để phục hồi răng. Một số trường hợp có thể được gây tê nhẹ để giúp trẻ cảm thấy thoải mái hơn.
Bao lâu nên cho trẻ đi khám răng một lần?
Các chuyên gia khuyến cáo nên cho trẻ khám răng định kỳ khoảng 6 tháng một lần. Việc kiểm tra răng miệng thường xuyên giúp phát hiện sớm sâu răng và các vấn đề nha khoa khác, từ đó có biện pháp điều trị kịp thời.
Kết luận
Sâu răng trẻ em là bệnh răng miệng phổ biến nhưng có thể phòng ngừa nếu trẻ được chăm sóc răng miệng đúng cách và duy trì thói quen vệ sinh răng hằng ngày. Khi phát hiện dấu hiệu sâu răng, phụ huynh nên đưa trẻ đến Nha Khoa Cẩm Tú để được thăm khám và điều trị kịp thời, giúp bảo vệ răng miệng và sự phát triển khỏe mạnh của trẻ.