Nhổ răng số 8 có nguy hiểm không là thắc mắc của nhiều người khi răng khôn mọc lệch, mọc ngầm hoặc gây đau nhức kéo dài. Bài viết từ Nha khoa Cẩm Tú sẽ giúp bạn hiểu rõ khi nào cần nhổ răng khôn và những lưu ý quan trọng sau khi nhổ.
Răng số 8 là răng gì? Vai trò của răng số 8 trong hàm
Răng số 8 còn được gọi là răng khôn, là chiếc răng hàm lớn mọc cuối cùng trên cung hàm. Thông thường răng này mọc trong độ tuổi từ 17–25 khi cấu trúc xương hàm đã phát triển gần hoàn chỉnh. Mỗi người có thể có tối đa 4 răng số 8, nằm ở vị trí cuối cùng của hai hàm trên và dưới.

Trên thực tế, răng số 8 không đóng vai trò quan trọng trong chức năng ăn nhai như các răng hàm khác. Do mọc muộn và thường thiếu khoảng trống, răng khôn dễ mọc lệch, mọc ngầm hoặc chen chúc với răng kế cận, gây đau nhức, viêm nướu hoặc ảnh hưởng đến sức khỏe răng miệng.
Vì vậy trong nhiều trường hợp, bác sĩ nha khoa thường chỉ định nhổ răng số 8 nếu răng gây biến chứng hoặc ảnh hưởng đến các răng lân cận.
Xem thêm: Nhổ răng số 4 có nguy hiểm không
Nhổ răng số 8 có nguy hiểm không?
Nhổ răng số 8 nhìn chung không nguy hiểm nếu được thực hiện đúng kỹ thuật và tại cơ sở nha khoa uy tín. Hiện nay, nhờ sự hỗ trợ của máy chụp X quang, thiết bị nhổ răng hiện đại và quy trình vô trùng nghiêm ngặt, việc nhổ răng khôn diễn ra khá nhanh chóng và an toàn.

Tuy nhiên, trong một số trường hợp răng mọc lệch phức tạp, nằm gần dây thần kinh hoặc xương hàm dày, quá trình nhổ có thể khó hơn và cần bác sĩ có chuyên môn cao. Nếu thực hiện không đúng kỹ thuật hoặc chăm sóc sau nhổ không đúng cách, người bệnh có thể gặp các biến chứng như đau kéo dài, nhiễm trùng hoặc sưng nướu.
Xem thêm: Nhổ răng số 7 có nguy hiểm không
Những trường hợp cần nhổ răng số 8
Trong nhiều trường hợp, bác sĩ sẽ chỉ định nhổ răng số 8 nhằm ngăn ngừa biến chứng và bảo vệ sức khỏe răng miệng.
| Trường hợp | Mô tả |
| Răng sâu nặng không thể phục hồi | Khi răng khôn bị sâu lớn, cấu trúc răng bị phá hủy nhiều và không thể điều trị bằng trám răng hoặc phục hình, bác sĩ thường chỉ định nhổ để tránh lây lan sang răng bên cạnh. |
| Răng bị viêm tủy, áp xe hoặc nhiễm trùng nặng | Vi khuẩn từ răng số 8 có thể gây viêm tủy, hình thành ổ mủ hoặc áp xe quanh chân răng. Nếu không nhổ bỏ kịp thời, tình trạng nhiễm trùng có thể lan rộng và ảnh hưởng đến xương hàm. |
| Răng bị gãy, vỡ lớn | Khi răng khôn bị nứt hoặc gãy nhiều do chấn thương hoặc sâu răng, khả năng phục hồi gần như không còn. Việc nhổ răng giúp loại bỏ ổ vi khuẩn và tránh biến chứng đau nhức kéo dài. |
| Răng lung lay do bệnh nha chu | Bệnh nha chu làm tiêu xương và tổn thương mô nâng đỡ quanh răng, khiến răng số 8 bị lung lay. Trong trường hợp này, nhổ răng thường là giải pháp cần thiết để ngăn viêm nhiễm lan rộng. |
Xem thêm: Hàn trám răng sâu
Nhổ răng số 8 có đau không?
Trong quá trình nhổ răng số 8, bệnh nhân hầu như không cảm thấy đau do đã được gây tê cục bộ. Bác sĩ sẽ tiến hành nhổ răng bằng các dụng cụ chuyên dụng hoặc thiết bị hỗ trợ giúp giảm sang chấn cho mô nướu và xương hàm.

Sau khi thuốc tê hết tác dụng, người bệnh có thể cảm thấy hơi đau hoặc ê nhẹ trong 1–2 ngày đầu. Tuy nhiên cảm giác này thường được kiểm soát tốt bằng thuốc giảm đau, chườm lạnh và chế độ chăm sóc hợp lý theo hướng dẫn của bác sĩ.
Quy trình nhổ răng số 8 an toàn tại Nha khoa Cẩm Tú
Để hạn chế rủi ro khi thực hiện, quy trình nhổ răng cần tuân thủ đúng các bước chuyên môn. Điều này cũng giúp giải đáp rõ hơn thắc mắc nhổ răng số 8 có nguy hiểm không.
Thăm khám và chụp X quang răng
Bác sĩ tiến hành kiểm tra tổng quát khoang miệng để đánh giá tình trạng răng khôn, sau đó chỉ định chụp X quang răng. Hình ảnh X quang giúp xác định chính xác vị trí răng số 8, hướng mọc, độ nghiêng cũng như mối liên quan với các răng lân cận, từ đó đưa ra phương án nhổ răng phù hợp và an toàn.

Đánh giá tình trạng răng và sức khỏe tổng quát
Dựa trên kết quả thăm khám và phim chụp, bác sĩ sẽ đánh giá mức độ phức tạp của răng số 8, tình trạng xương hàm và khoảng cách với dây thần kinh. Đồng thời, bệnh nhân cũng được kiểm tra sức khỏe tổng quát để đảm bảo đủ điều kiện thực hiện nhổ răng, giúp hạn chế tối đa các biến chứng.
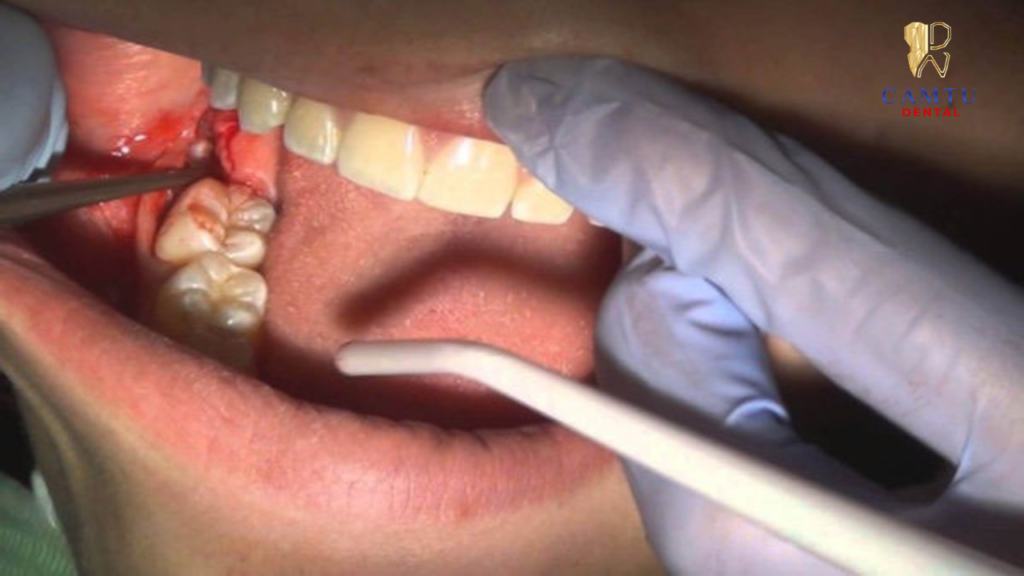
Gây tê và tiến hành nhổ răng
Trước khi thực hiện, bác sĩ tiến hành gây tê cục bộ tại vùng răng cần nhổ để bệnh nhân không cảm thấy đau trong suốt quá trình điều trị. Sau đó, bác sĩ sử dụng các dụng cụ nha khoa chuyên dụng để tách răng khỏi mô nướu và xương hàm một cách nhẹ nhàng, đảm bảo quá trình nhổ răng diễn ra nhanh chóng và an toàn.

Cầm máu và hướng dẫn chăm sóc sau nhổ
Sau khi răng số 8 được lấy ra khỏi ổ răng, bác sĩ đặt gạc để cầm máu và kiểm tra lại vùng nhổ răng. Bệnh nhân sẽ được hướng dẫn chi tiết cách vệ sinh răng miệng, chế độ ăn uống phù hợp và cách sử dụng thuốc theo chỉ định để vết thương nhanh lành và tránh nguy cơ nhiễm trùng.
Sau khi nhổ răng số 8 cần lưu ý những gì?
Sau khi nhổ răng, việc chăm sóc đúng cách sẽ giúp vết thương nhanh lành và hạn chế biến chứng. Vì vậy, dù nhổ răng số 8 có nguy hiểm không còn tùy vào từng trường hợp, người bệnh vẫn cần tuân thủ đúng hướng dẫn của bác sĩ sau khi thực hiện.

Trong khoảng 30–45 phút đầu, bệnh nhân cần cắn chặt gạc để cầm máu và giúp hình thành cục máu đông tại ổ răng. Trong 24 giờ đầu nên tránh súc miệng mạnh, khạc nhổ hoặc dùng ống hút vì có thể làm bong cục máu đông và gây chảy máu lại.
Ngoài ra, nên ăn các thực phẩm mềm, dễ nuốt và tránh đồ quá nóng, cay hoặc cứng trong vài ngày đầu. Việc vệ sinh răng miệng cần thực hiện nhẹ nhàng và dùng thuốc theo chỉ định của bác sĩ để vết thương nhanh hồi phục.
Nhổ răng số 8 có cần trồng lại không?
Thông thường, sau khi nhổ răng số 8 người bệnh không cần trồng lại răng mới. Nguyên nhân là do răng khôn nằm ở vị trí cuối cùng trên cung hàm và không đóng vai trò quan trọng trong chức năng ăn nhai.

Chỉ trong một số trường hợp đặc biệt liên quan đến chỉnh nha hoặc cấu trúc hàm, bác sĩ mới cân nhắc các phương pháp phục hình. Tuy nhiên đa số bệnh nhân sau khi nhổ răng số 8 vẫn có thể ăn nhai bình thường mà không cần trồng lại.
Một số câu hỏi thường gặp khi nhổ răng số 8
Dưới đây là một số câu hỏi thường được nhiều người quan tâm khi nhổ răng số 8:
Nhổ răng số 8 bao lâu thì lành?
Thông thường vết thương sau khi nhổ răng số 8 sẽ lành trong khoảng 1–2 tuần. Phần mô nướu sẽ dần hồi phục và ổ răng sẽ đầy lên theo thời gian.
Nhổ răng số 8 có ảnh hưởng đến dây thần kinh không?
Trong một số trường hợp răng số 8 mọc gần dây thần kinh hàm dưới, việc nhổ răng cần được thực hiện cẩn thận. Tuy nhiên với chẩn đoán X quang chính xác và kỹ thuật của bác sĩ, nguy cơ ảnh hưởng đến dây thần kinh là rất thấp.
Chi phí nhổ răng số 8 khoảng bao nhiêu?
Chi phí nhổ răng số 8 phụ thuộc vào mức độ khó của răng như răng mọc thẳng, mọc lệch hay mọc ngầm. Ngoài ra, trang thiết bị và tay nghề bác sĩ cũng ảnh hưởng đến mức giá điều trị.
Kết luận
Nhổ răng số 8 có nguy hiểm không phụ thuộc nhiều vào tình trạng răng và kỹ thuật thực hiện. Khi được thăm khám và nhổ răng đúng quy trình tại cơ sở nha khoa uy tín, thủ thuật này khá an toàn và giúp ngăn ngừa nhiều biến chứng răng miệng. Nếu đang gặp vấn đề với răng khôn, bạn nên đến Nha khoa Cẩm Tú để được kiểm tra và tư vấn phương án điều trị phù hợp.