Bọc sứ bị đen nướu là tình trạng khiến nhiều người hoang mang sau khi làm răng sứ, không chỉ ảnh hưởng thẩm mỹ mà còn tiềm ẩn nguy cơ viêm nướu, tụt nướu và hôi miệng kéo dài nếu không xử lý kịp thời. Thực tế, hiện tượng này hoàn toàn có thể phòng tránh khi hiểu đúng nguyên nhân và chăm sóc răng sứ đúng cách. Cùng Nha Khoa Cẩm Tú tìm hiểu chi tiết để bảo vệ nụ cười bền đẹp lâu dài.
Dấu hiệu bọc sứ đen nướu từ 6 tháng đến 5 năm
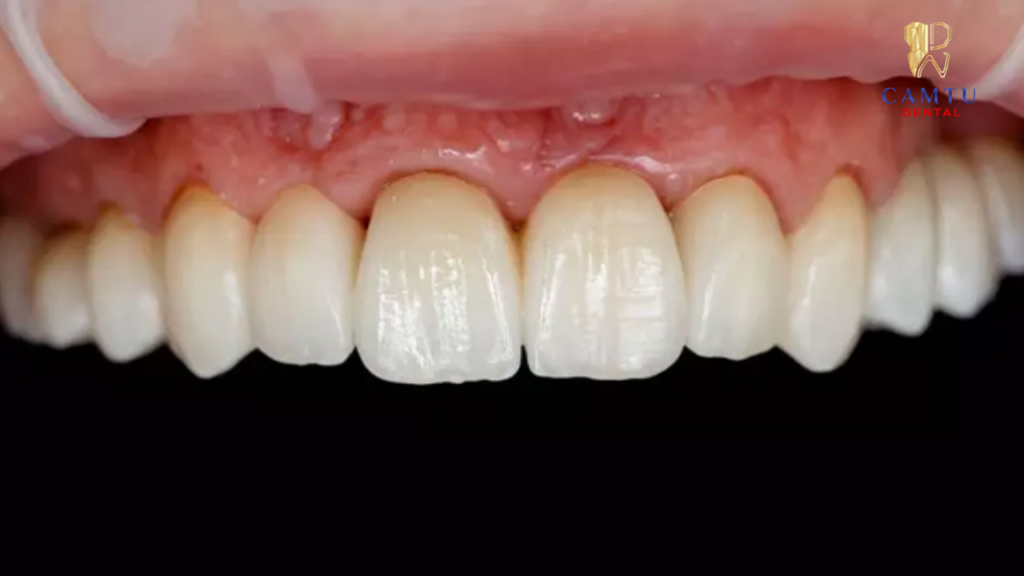
Bọc sứ bị đen nướu không xảy ra ngay lập tức mà tiến triển âm thầm qua từng giai đoạn. Việc nhận biết đúng giai đoạn giúp bạn can thiệp kịp thời, tránh phải thay lại răng sứ và tiết kiệm chi phí điều trị.
Giai đoạn 1 (6–12 tháng): Viền xám mờ quanh nướu
Ở giai đoạn đầu, tình trạng đen nướu chưa rõ rệt nên rất dễ bị bỏ qua. Tuy nhiên, đây là thời điểm quan trọng để xử lý sớm.
- Xuất hiện viền xám nhạt dưới nướu mỏng, khó nhận thấy nếu không quan sát kỹ
- Nướu vẫn hồng, chưa có dấu hiệu viêm, đau hay hôi miệng
- Khoảng 80% răng sứ kim loại bắt đầu có hiện tượng này do phản ứng oxy hóa ban đầu

Giai đoạn này chưa cần thay sứ, chỉ cần theo dõi và kiểm soát tốt vệ sinh răng miệng.
Xem thêm: Nhổ răng số 4 có nguy hiểm không
Giai đoạn 2 (2–3 năm): Viền đen rõ kèm viêm nướu nhẹ
Đây là giai đoạn mà tình trạng bọc sứ đen nướu bắt đầu ảnh hưởng rõ đến thẩm mỹ và sức khỏe nướu.
- Viền đen xuất hiện rõ 1–2mm, dễ nhìn thấy khi cười hoặc nói
- Có thể thấy ánh kim loại lộ dưới nướu
- Nướu sưng nhẹ, hôi miệng nhẹ do vi khuẩn tích tụ quanh cổ răng
Nếu xử lý kịp thời bằng cạo vôi, điều trị nướu, nhiều trường hợp chưa cần thay răng sứ.
Xem thêm: Răng bị nứt
Giai đoạn 3 (≥5 năm): Nướu tụt, răng lung lay
Đây là giai đoạn nặng, ảnh hưởng trực tiếp đến răng thật và xương hàm.
- Nướu tụt trên 3mm, chân răng lộ rõ, mất thẩm mỹ nghiêm trọng
- Viêm nướu nặng, có thể đau, chảy mủ, hôi miệng rõ
- Răng bắt đầu lung lay do tiêu xương ổ răng

Bắt buộc phải thay răng sứ mới, mão sứ cũ không còn khả năng bảo vệ răng thật.
Xem thêm: Trám răng composite
Bạn đang ở giai đoạn nào?
- Viền xám mờ, chưa đau → Giai đoạn 1
- Viền đen rõ + hôi miệng nhẹ → Giai đoạn 2
- Nướu tụt, đau, răng lung lay → GIAI ĐOẠN 3: CẦN GẶP BÁC SĨ NGAY
Nguyên nhân khiến bọc sứ bị đen nướu
Không phải ai bọc răng sứ cũng gặp tình trạng bọc sứ bị đen nướu. Vấn đề này chủ yếu xuất phát từ loại vật liệu sử dụng và tay nghề của bác sĩ thực hiện.
Răng sứ kim loại gây oxy hóa viền nướu
Răng sứ kim loại có khung sườn bằng hợp kim niken, crom hoặc coban bên trong. Theo thời gian, khung sườn kim loại này bị oxy hóa do tiếp xúc với nước bọt, thức ăn và môi trường trong miệng.

Khi kim loại bị oxy hóa, các ion kim loại sẽ thấm vào mô nướu, đặc biệt ở vùng cổ răng. Đối với người có nướu mỏng, ánh kim loại sẽ lộ rõ qua lớp nướu, tạo thành viền xám hoặc đen không thẩm mỹ.
Kỹ thuật bọc sứ sai – đường hoàn tất không chuẩn
Đường hoàn tất là ranh giới giữa mão sứ và chân răng thật, vô cùng quan trọng. Nếu bác sĩ làm mão sứ quá sâu, lấn vào nướu hoặc để hở cổ răng, khe hở sẽ trở thành nơi tích tụ mảng bám.
Thức ăn và vi khuẩn tích tụ lâu ngày gây viêm nướu, khiến nướu sưng đỏ, đổi màu. Tình trạng viêm kéo dài sẽ làm nướu tụt dần, lộ rõ viền kim loại bên dưới và càng làm bọc sứ bị đen nướu trầm trọng hơn.
Nướu răng mỏng hoặc cơ địa nhạy cảm
Người có nướu răng mỏng tự nhiên rất dễ lộ màu sườn sứ kim loại bên dưới. Ngay cả khi bác sĩ làm kỹ thuật chuẩn, lớp nướu mỏng vẫn không đủ độ dày để che phủ hoàn toàn ánh kim loại.

Một số người có cơ địa dễ bị thâm nướu do yếu tố di truyền hoặc sức đề kháng kém. Trong trường hợp này, ngay cả răng sứ vẫn còn tốt nhưng nướu đã chuyển sẫm màu do phản ứng với kim loại hoặc viêm mạn tính.
Vệ sinh răng miệng kém sau khi bọc sứ
Nhiều người nghĩ răng sứ không cần chăm sóc kỹ như răng thật, đây là sai lầm lớn. Cao răng vẫn tích tụ quanh cổ răng sứ, đặc biệt ở vị trí tiếp giáp giữa mão sứ và nướu.
Nếu không đánh răng đúng cách và thường xuyên, cao răng sẽ làm nướu viêm nhiễm. Viêm nướu kéo dài khiến nướu đổi màu, sưng tấy và tụt dần, để lộ viền kim loại của răng sứ bên dưới, dẫn đến bọc sứ bị đen nướu rõ rệt.
Cách khắc phục bọc sứ bị đen nướu theo từng giai đoạn
Tùy vào mức độ nghiêm trọng và nguyên nhân gây đen nướu mà cách khắc phục bọc sứ bị đen nướu sẽ khác nhau. Xử lý đúng giai đoạn sẽ giúp tiết kiệm chi phí và bảo tồn tối đa mô răng thật.
Giai đoạn 1: Cạo vôi và đánh bóng
Ở giai đoạn mới xuất hiện viền xám mờ, nguyên nhân chủ yếu từ cao răng tích tụ. Bác sĩ sẽ tiến hành cạo vôi sạch sẽ quanh cổ răng sứ, loại bỏ mảng bám vi khuẩn gây viêm nướu.

Sau khi cạo vôi, nha sĩ sẽ đánh bóng bề mặt răng sứ để loại bỏ vết ố vàng. Thường xuyên vệ sinh đúng cách và tái khám sau 6 tháng sẽ ngăn ngừa tình trạng tiến triển xấu hơn, không cần can thiệp sâu.
Giai đoạn 2: Điều trị viêm nướu + phủ composite che viền
Khi viền đen đã rõ ràng kèm viêm nướu, cần điều trị viêm nhiễm trước. Bác sĩ sẽ làm sạch túi nướu, dùng thuốc kháng sinh tại chỗ để kiểm soát viêm nhiễm và giúp nướu hồi phục.
Sau khi nướu khỏe lại, có thể phủ lớp composite màu răng lên viền đen để che khuyết điểm. Tuy nhiên, đây chỉ là giải pháp tạm thời vì composite dễ bong tróc sau 1-2 năm và không giải quyết được nguyên nhân gốc rễ.
Giai đoạn 3: Thay toàn sứ Zirconia hoặc E.max
Khi nướu đã tụt nghiêm trọng, răng lung lay, giải pháp duy nhất là thay mão sứ mới. Bác sĩ sẽ tháo bỏ mão sứ kim loại cũ, kiểm tra tình trạng răng thật và xương ổ răng bên dưới.

Nếu răng thật và xương còn tốt, sẽ làm mão sứ toàn sứ Zirconia hoặc E.max không chứa kim loại. Loại sứ này hoàn toàn sinh học, không gây oxy hóa hay đen nướu, đảm bảo thẩm mỹ lâu dài và an toàn cho sức khỏe nướu răng.
Cách phòng tránh bọc sứ bị đen nướu ngay từ đầu
Như câu nói “phòng bệnh hơn chữa bệnh”, việc lựa chọn đúng từ đầu sẽ giúp bạn tránh được bọc sứ bị đen nướu. Đầu tư đúng chỗ ngay từ ban đầu sẽ tiết kiệm hơn nhiều so với phải sửa chữa sau này.
Ưu tiên răng toàn sứ cao cấp
Răng toàn sứ Zirconia hoặc E.max là lựa chọn hàng đầu để tránh đen nướu. Loại sứ này không có khung kim loại bên trong, nên hoàn toàn không xảy ra hiện tượng oxy hóa hay thấm ion kim loại vào nướu.

Mặc dù giá thành cao hơn sứ kim loại (6-12 triệu/răng so với 2-3 triệu/răng), nhưng độ bền và tính thẩm mỹ vượt trội. Răng toàn sứ an toàn cho mô nướu, màu sắc tự nhiên, trong suốt như răng thật và có tuổi thọ lên đến 15-20 năm nếu chăm sóc tốt.
Chọn nha khoa uy tín, bác sĩ giàu kinh nghiệm
Tay nghề của bác sĩ quyết định 70% thành công của quá trình bọc sứ. Bác sĩ giàu kinh nghiệm sẽ mài răng đúng kỹ thuật, tạo đường hoàn tất chính xác, không lấn sâu vào nướu hay để hở cổ răng.
Nha khoa uy tín thường có quy trình chặt chẽ, từ khám tổng quát, chụp phim, lấy dấu răng chính xác đến theo dõi sau bọc sứ. Việc này giúp hạn chế tối đa các biến chứng như viêm nướu, đen nướu hay sứ không khớp cắn sau này.
Chăm sóc và tái khám định kỳ sau khi bọc sứ
Răng sứ không sâu nhưng vùng tiếp giáp với nướu vẫn cần vệ sinh kỹ. Đánh răng ít nhất 2 lần/ngày bằng bàn chải lông mềm, kết hợp chỉ nha khoa để làm sạch kẽ răng mà bàn chải không chạm tới.

Tái khám định kỳ 6 tháng/lần giúp phát hiện sớm các vấn đề như cao răng, viêm nướu nhẹ. Bác sĩ sẽ cạo vôi, kiểm tra độ khớp cắn và tình trạng mão sứ, kịp thời xử lý trước khi bọc sứ bị đen nướu trở nên nghiêm trọng.
Khi nào nên đến nha khoa kiểm tra tình trạng đen nướu?
Đừng chờ đến khi nướu đen hoàn toàn mới đi khám vì lúc đó tổn thương đã nặng. Việc phát hiện sớm các dấu hiệu bất thường sẽ giúp bạn xử lý dễ dàng hơn, ít tốn kém hơn và bảo tồn được răng thật.
Các dấu hiệu cần đi kiểm tra sớm
Dưới đây là các dấu hiệu bạn cần nên đi kiểm tra sớm:
- Viền nướu sẫm màu bất thường: Khi vùng nướu tiếp giáp với mão sứ chuyển từ hồng sang xám hoặc đen dần, đây là tín hiệu cảnh báo sớm. Dù viền chỉ xám nhẹ, bạn vẫn nên đến nha khoa để bác sĩ xác định nguyên nhân và mức độ tổn thương.
- Nướu đau, sưng đỏ hoặc dễ chảy máu: Tình trạng đau, sưng nướu hoặc chảy máu khi đánh răng cho thấy nướu đang bị viêm. Nếu không điều trị kịp thời, viêm nướu có thể tiến triển nặng và ảnh hưởng đến răng bên trong.
- Hôi miệng kéo dài, khó kiểm soát: Hơi thở có mùi dai dẳng dù vệ sinh răng miệng kỹ thường liên quan đến vi khuẩn tích tụ quanh mão sứ. Viêm nướu kéo dài có thể gây tiêu xương ổ răng, dẫn đến nướu tụt và răng lung lay nghiêm trọng.

Lợi ích khi xử lý sớm tại nha khoa
Xử lý sớm ở giai đoạn 1-2 chỉ cần cạo vôi hoặc điều trị viêm nướu đơn giản. Bạn hoàn toàn tránh được việc phải tháo bỏ và thay lại toàn bộ mão sứ, tiết kiệm hàng triệu đồng chi phí.
Hơn nữa, can thiệp kịp thời giúp bảo vệ răng thật và mô nướu khỏi tổn thương lâu dài. Khi xương ổ răng và nướu còn khỏe, việc điều trị sẽ dễ dàng và hiệu quả hơn nhiều so với giai đoạn muộn đã có biến chứng.
Kết luận
Bọc sứ bị đen nướu không phải là biến chứng không thể tránh khỏi nếu bạn hiểu rõ nguyên nhân và chọn đúng phương pháp từ đầu. Ưu tiên răng toàn sứ cao cấp, chọn nha khoa uy tín và chăm sóc đúng cách sẽ giúp bạn có nụ cười đẹp bền lâu mà không lo viền đen khó chịu.
Nha khoa Cẩm Tú với đội ngũ bác sĩ giàu kinh nghiệm, trang thiết bị hiện đại và cam kết bảo hành dài hạn sẽ đồng hành cùng bạn. Hãy đặt lịch tư vấn miễn phí ngay hôm nay để được thăm khám tổng quát, đánh giá tình trạng răng miệng và nhận phương án bọc sứ phù hợp nhất, đảm bảo an toàn và thẩm mỹ lâu dài.