Dán mặt lưỡi: Phương pháp giữ răng ổn định kín đáo, hiệu quả
Dán mặt lưỡi duy trì răng sau niềng được nhiều người lựa chọn nhờ hiệu quả cao và tính thẩm mỹ kín đáo. Trong bài viết này, Nha khoa Cẩm Tú sẽ giúp bạn tìm hiểu đầy đủ về cấu tạo, vị trí gắn, đối tượng phù hợp, ưu nhược điểm và cách chăm sóc đúng cách. Qua đó, bạn có thể bảo vệ trọn vẹn kết quả chỉnh nha và giữ nụ cười ổn định lâu dài.
Trang chủ
Dán mặt lưỡi giúp duy trì răng ổn định sau niềng kín đáo và hiệu quả lâu dài. Khám phá ngay cấu tạo, vị trí gắn, ưu nhược điểm và cách chăm sóc đúng cách!
Dán mặt lưỡi là gì?
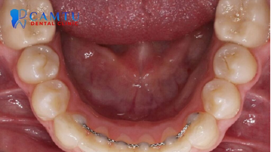
Dán mặt lưỡi (dây duy trì mặt lưỡi) thực chất là gắn một sợi dây kim loại mảnh vào mặt trong của răng, thường là răng cửa hàm dưới. Dây này được cố định bằng vật liệu nha khoa chuyên dụng, giúp răng không bị xô lệch sau niềng.
Về bản chất, dây duy trì mặt lưỡi không phải là một hình thức niềng răng mà là bước duy trì kết quả chỉnh nha. Một sợi dây kim loại mảnh được cố định chắc chắn bằng vật liệu nha khoa chuyên dụng. Nhờ nằm ở mặt trong răng, dây duy trì mặt lưỡi vừa kín đáo vừa phát huy hiệu quả giữ răng liên tục.
Trường hợp nào nên dán dây duy trì mặt lưỡi để giữ răng ổn định?
Dán dây duy trì mặt lưỡi không phải là lựa chọn bắt buộc cho tất cả mọi người sau khi tháo niềng. Dưới đây là những đối tượng nên cân nhắc dán mặt lưỡi để bảo vệ kết quả chỉnh nha lâu dài:
- Người có nguy cơ răng xô lệch cao: Những người từng bị răng chen chúc nặng, răng xoay nhiều hoặc sai khớp cắn phức tạp rất dễ bị răng chạy lại sau khi tháo niềng.
- Người hay quên đeo hàm duy trì tháo lắp: Không ít người quên đeo hàm hoặc đeo không đủ thời gian theo chỉ định của bác sĩ. Dán dây duy trì mặt lưỡi là giải pháp hiệu quả vì dây được gắn cố định, không phụ thuộc vào thói quen sử dụng của người đeo.
- Người ưu tiên tính thẩm mỹ khi giao tiếp: Dây duy trì mặt lưỡi nằm hoàn toàn ở mặt trong của răng nên gần như không ai nhận ra. Điều này rất phù hợp với người làm việc trong môi trường cần giao tiếp nhiều và chú trọng ngoại hình.
- Người niềng răng một hàm, đặc biệt là hàm dưới: Hàm dưới có xu hướng xô lệch nhanh hơn hàm trên sau khi tháo niềng. Vì vậy, dán mặt lưỡi thường được chỉ định để giữ ổn định răng ở khu vực này.
- Người cần duy trì răng ổn định lâu dài: Với những trường hợp có nguy cơ tái phát cao, bác sĩ có thể khuyến khích sử dụng dây duy trì mặt lưỡi trong thời gian dài hoặc lâu dài. Đây là cách giúp bảo vệ thành quả niềng răng một cách bền vững nhất.
Cấu tạo và vị trí gắn của dây duy trì mặt lưỡi
Để hiểu vì sao dán mặt lưỡi có khả năng giữ răng ổn định tốt như vậy, bạn cần nắm rõ về cấu tạo và vị trí gắn của dây duy trì. Mỗi chi tiết nhỏ trong thiết kế đều có vai trò quan trọng trong việc cố định răng sau niềng.
1. Cấu tạo của dây duy trì mặt lưỡi
Dây duy trì mặt lưỡi thường được làm từ thép không gỉ hoặc hợp kim niken–titan. Chất liệu này có độ bền cao, chịu lực tốt và an toàn trong môi trường khoang miệng. Dây rất mảnh nên ít gây cảm giác cộm.

Phần dây sẽ được gắn vào mặt trong răng bằng composite nha khoa. Đây là loại vật liệu bám dính tốt, giúp dây cố định chắc chắn nhưng vẫn có thể tháo ra khi cần theo chỉ định của bác sĩ.
2. Vị trí thường gắn dây duy trì mặt lưỡi
Dán mặt lưỡi thường được gắn ở mặt trong của các răng cửa, phổ biến nhất là răng số 1, 2 và 3. Đây là nhóm răng có nguy cơ xô lệch cao sau khi tháo niềng, đặc biệt là ở hàm dưới. Việc cố định tại vị trí này giúp giữ trục răng ổn định và hạn chế răng chạy lại.
Trong một số trường hợp đặc biệt, bác sĩ có thể chỉ định dán dây duy trì mặt lưỡi cho cả hàm trên nếu nhận thấy răng chưa đủ ổn định. Vị trí gắn sẽ được tính toán để không ảnh hưởng đến khớp cắn và sinh hoạt hàng ngày. Mọi chỉ định đều dựa trên tình trạng răng cụ thể của từng người.
Khí cụ duy trì sau niềng răng
Khí cụ duy trì sau niềng răng (hàm duy trì) là thiết bị thiết yếu được đeo sau khi tháo mắc cài để cố định vị trí mới của răng, ngăn ngừa tái phát (răng xô lệch về vị trí cũ).
KHÍ CỤ DUY TRÌ
Giải pháp
Dán mặt lưỡi
KHÍ CỤ DUY TRÌ
Giải pháp
Hàm nhựa duy trì
Vì sao nên chọn dịch vụ niềng răng invisalign
tại nha khoa cẩm tú?
Các bác sĩ chuyên khoa RHM trực tiếp điều trị
Thăm khám, lập kế hoạch và điều trị trực tiếp bởi các bác sĩ chuyên khoa RHM, đảm bảo độ chính xác và xuyên suốt điều trị
Kinh nghiệm chuyên sâu về Lĩnh vực Nha khoa
Thực hiện thành công nhiều ca điều trị từ cơ bản tới phức tạp, đảm bảo chẩn đoán đúng – điều trị chuẩn – kết quả bền vững
Trang thiết bị hỗ trợ chẩn đoán hiện đại, chính xác
Ứng dụng CT Cone Beam 3D, iTero 5D Plus,… giúp bác sĩ lên phác đồ rõ ràng, tối ưu hoá điều trị.
Quy trình điều trị chuẩn y khoa, đảm bảo an toàn
Môi trường vô trùng nghiêm ngặt, tuân thủ tiêu chuẩn y khoa mang lại sự an tâm trong quá trình điều trị.
Mang đến Kết quả thẩm mỹ - chức năng toàn diện
Không chỉ đẹp về thẩm mỹ mà còn đảm bảo chức năng ăn nhai ổn định, bền vững theo thời gian.
Lựa chọn hàng đầu của hàng ngàn khách hàng
Nha khoa tự tin đồng hành, mang lại nụ cười tự tin chi hàng ngàn khách hàng trong và ngoài tỉnh.
Câu chuyện khách hàng
niềng răng tại nha khoa cẩm tú
Nguyễn Thị Thùy
Chỉnh nha trong suốt Invisalign
Phương pháp chỉnh nha trong suốt Invisalign giúp cải thiện hiệu quả các tình trạng răng hô, thưa, móm, khấp khểnh với tính thẩm mỹ cao. Khay niềng trong suốt, dễ tháo lắp giúp việc ăn uống, vệ sinh răng miệng và sinh hoạt hằng ngày trở nên thuận tiện hơn.
Bên cạnh đó, Invisalign mang lại cảm giác thoải mái, ít gây khó chịu, đồng thời giúp răng dịch chuyển đúng hướng, từng bước cải thiện nụ cười đều đẹp và tự nhiên.
Lô Thị Kiều Vy
Niềng răng thưa, hô nhẹ
Với tình trạng răng thưa kèm hô nhẹ, bác sĩ đã xây dựng phác đồ niềng răng cá nhân hóa giúp răng dịch chuyển đúng hướng, đóng khe thưa và cải thiện khớp cắn hiệu quả. Ngoài thẩm mỹ cao, việc chỉnh nha còn giúp khả năng ăn nhai tốt hơn và mang lại nụ cười cân đối.
Sau hơn 1 năm niềng răng tại Nha khoa Cẩm Tú, Kiều Vy đã có sự thay đổi rõ rệt với nụ cười rạng rỡ và sự tự tin hơn trong giao tiếp.
Lương Thị Mùi
Răng hô chỉa, khớp cắn sâu
Quá trình điều trị sử dụng niềng răng mắc cài kim loại cho cả hai hàm, kết hợp cắm 2 minivis để hỗ trợ kéo giảm hô và kỹ thuật đánh lún hàm dưới nhằm cải thiện tình trạng khớp cắn sâu, giúp cân chỉnh tổng thể hàm răng.
Với phác đồ điều trị cá nhân hóa từ bác sĩ Nha khoa Cẩm Tú và sự kiên trì trong suốt quá trình chỉnh nha, bạn Mùi từng bước tiến gần hơn đến nụ cười đều đẹp và tự tin hơn.
Ưu điểm và nhược điểm của dán dây duy trì mặt lưỡi
Trước khi lựa chọn dán dây duy trì mặt lưỡi, bạn nên hiểu rõ cả mặt lợi và hạn chế của phương pháp này. Điều đó giúp bạn chủ động hơn trong việc chăm sóc răng miệng. Mỗi ưu điểm và nhược điểm đều gắn liền với tính chất cố định của dây duy trì mặt lưỡi.
Ưu điểm
Dán mặt lưỡi có tính thẩm mỹ rất cao vì dây duy trì được gắn hoàn toàn ở mặt trong của răng. Khi nói chuyện hay cười, người đối diện hầu như không thể nhận ra bạn đang đeo hàm duy trì. Điều này giúp bạn luôn tự tin trong giao tiếp hàng ngày.
Bên cạnh đó, dây duy trì mặt lưỡi hoạt động liên tục 24/24 nên khả năng giữ răng ổn định rất tốt. Bạn không cần lo lắng việc quên đeo hay đeo không đủ thời gian như hàm tháo lắp. Nhờ vậy, hiệu quả duy trì sau niềng răng luôn được đảm bảo.
Nhược điểm
Do dán mặt lưỡi được gắn ở mặt trong răng nên việc vệ sinh răng miệng sẽ khó hơn bình thường. Nếu không làm sạch kỹ, mảng bám và thức ăn rất dễ tích tụ quanh dây. Lâu ngày có thể gây viêm nướu, hôi miệng hoặc sâu răng.
Ngoài ra, dây duy trì mặt lưỡi vẫn có nguy cơ bị bung nếu bạn ăn đồ quá cứng hoặc có thói quen cắn vật cứng. Khi gặp tình trạng này, bạn không nên tự xử lý tại nhà. Tốt nhất là đến nha khoa để bác sĩ kiểm tra và gắn lại đúng cách.
Câu hỏi thường gặp về dán mặt lưỡi
Trong quá trình tìm hiểu về dán mặt lưỡi, nhiều người vẫn còn băn khoăn về hiệu quả cũng như các vấn đề phát sinh. Phần câu hỏi thường gặp dưới đây sẽ giúp bạn được giải đáp nhanh và yên tâm hơn trước khi quyết định thực hiện.
Cách chăm sóc khi dán mặt lưỡi để không bung
Dán mặt lưỡi chỉ phát huy hiệu quả tốt nhất khi được chăm sóc đúng cách trong suốt quá trình sử dụng. Dưới đây là cách chăm sóc quan trọng giúp hạn chế tối đa nguy cơ bung dây duy trì mặt lưỡi:
- Vệ sinh răng miệng đúng cách: Đánh răng ít nhất 2 lần mỗi ngày bằng bàn chải lông mềm và làm sạch kỹ mặt trong răng. Nên kết hợp bàn chải kẽ răng hoặc máy tăm nước để loại bỏ mảng bám quanh dây duy trì mặt lưỡi.
- Sử dụng dụng cụ hỗ trợ làm sạch: Chỉ đánh răng thông thường là chưa đủ, vì dây nằm ở vị trí khuất. Việc dùng bàn chải kẽ và máy tăm nước giúp làm sạch sâu, hạn chế thức ăn mắc lại quanh dây.
- Hạn chế thực phẩm quá cứng, dai, dẻo: Các loại đồ ăn như xương, kẹo cứng, mực khô, bánh dẻo dễ tạo lực mạnh lên dây. Điều này làm tăng nguy cơ bung dây duy trì mặt lưỡi.
- Tránh thói quen xấu gây hại cho dây: Cắn bút, cắn móng tay hay nghiến răng đều tạo áp lực trực tiếp lên dây duy trì. Những thói quen này khiến dây nhanh lỏng hoặc bong ra.
- Đi nha khoa ngay khi phát hiện bất thường: Khi thấy dây bị lỏng, bung hoặc gây khó chịu, bạn không nên tự xử lý tại nhà. Việc đến nha khoa sớm giúp khắc phục kịp thời và tránh ảnh hưởng đến kết quả dán mặt lưỡi.

Những bài viết liên quan
Cơ sở vật chất
Khí cụ Headgear: Giải pháp chỉnh nha cải thiện hàm hô và sai khớp cắn
Khí cụ Headgear là giải pháp chỉnh nha chuyên sâu giúp kiểm soát sự phát triển xương hàm và cải thiện tình trạng hàm hô, sai khớp cắn ở trẻ em trong giai đoạn tăng trưởng. Phương pháp này đặc biệt hiệu quả khi được can thiệp …
Ngày đăng: 16.12.2025
Chia sẻ
Nạo túi nha chu là gì? Khi nào cần nạo túi nha chu?
Nạo túi nha chu là một phương pháp điều trị thường được chỉ định khi bệnh nha chu tiến triển nặng và không còn đáp ứng với lấy cao răng thông thường. Tuy nhiên, nhiều người vẫn chưa hiểu rõ nạo túi nha chu là gì, khi nào cần thực hiện …
Ngày đăng: 16.12.2025
Kiến thức nha khoa
Hướng dẫn chăm sóc răng miệng cho trẻ theo từng độ tuổi đúng cách
Chăm sóc răng miệng cho trẻ theo từng độ tuổi là yếu tố quan trọng giúp trẻ phát triển hàm răng khỏe mạnh và phòng tránh các bệnh lý nha khoa từ sớm. Ở mỗi giai đoạn phát triển, cấu trúc răng và khả năng tự vệ sinh của trẻ …
Ngày đăng: 16.12.2025
Kiến thức nha khoa
Công nghệ Smile Digital Design trong thiết kế nụ cười nha khoa
Smile Digital Design là công nghệ thiết kế nụ cười kỹ thuật số giúp mô phỏng kết quả thẩm mỹ răng trước khi điều trị. Tại Nha Khoa Cẩm Tú, công nghệ này hỗ trợ bác sĩ xây dựng kế hoạch điều trị chính xác và cá nhân hóa nụ cười cho …
Ngày đăng: 16.12.2025
Kiến thức nha khoa
Răng hô nên niềng hay bọc sứ? Đây là câu hỏi khiến nhiều người băn khoăn khi muốn cải thiện nụ cười nhưng lo ảnh hưởng đến răng thật. Trong bài viết này, Nha Khoa Cẩm Tú sẽ giúp bạn hiểu rõ nguyên nhân răng hô, phân biệt niềng …
Ngày đăng: 16.12.2025
Kiến thức nha khoa
Tủy răng bị thối là gì? Dấu hiệu, nguyên nhân và cách điều trị
Tủy răng bị thối là tình trạng mô tủy hoại tử kèm nhiễm trùng nghiêm trọng, gây đau nhức, hôi miệng và có thể dẫn đến mất răng nếu không điều trị kịp thời. Nha Khoa Cẩm Tú chia sẻ đầy đủ dấu hiệu nhận biết, nguyên nhân và phương …