/Niềng răng Invisaign
Niềng răng Invisalign: Giải pháp chỉnh nha thẩm mỹ & an toàn
Niềng răng Invisalign mở ra xu hướng chỉnh nha hiện đại với khay trong suốt thẩm mỹ, linh hoạt và được cá nhân hóa theo từng tình trạng răng. Trong bài viết này, Nha Khoa Cẩm Tú sẽ giúp bạn hiểu rõ Invisalign phù hợp với ai, điều trị được những trường hợp nào và những lưu ý quan trọng để đạt hiệu quả chỉnh nha tối ưu.
Trang chủ
Niềng răng Invisalign giúp chỉnh nha thẩm mỹ với khay trong suốt. Khám phá đối tượng phù hợp, quy trình, chi phí tại Nha Khoa Cẩm Tú. Xem ngay bài viết bên dưới.
Tổng quan về niềng răng Invisalign
Niềng răng Invisalign là phương pháp chỉnh nha không mắc cài, sử dụng khay trong suốt được thiết kế riêng cho từng người. Các khay ôm sát răng, tạo lực nhẹ và liên tục để dịch chuyển răng về đúng vị trí theo lộ trình đã được mô phỏng bằng công nghệ 3D.
Invisalign được ưa chuộng trên toàn thế giới nhờ tính thẩm mỹ cao, thoải mái, ít đau, tháo lắp linh hoạt giúp dễ vệ sinh và hạn chế bệnh răng miệng. Phương pháp này đặc biệt phù hợp với người trưởng thành, người đi làm cần chỉnh nha kín đáo và hiệu quả.
Invisalign phù hợp với những ai?
Niềng răng Invisalign là lựa chọn lý tưởng cho những đối tượng sau:
- Người trưởng thành, người đi làm: cần chỉnh nha hiệu quả nhưng vẫn đảm bảo hình ảnh chuyên nghiệp trong công việc và cuộc sống.
- Người yêu cầu cao về thẩm mỹ: không muốn lộ mắc cài, dây cung khi giao tiếp hàng ngày.
- Người thường xuyên giao tiếp, làm việc văn phòng: bán hàng, kinh doanh, giáo dục, dịch vụ, v.v, cần sự tự tin khi nói chuyện.
- Người từng niềng răng nhưng bị tái lệch: muốn chỉnh lại răng nhẹ nhàng, kín đáo mà không cần niềng mắc cài lần nữa.
Invisalign đặc biệt phù hợp với những ai mong muốn chỉnh nha kín đáo, thoải mái, hiệu quả trong nhịp sống hiện đại.
Trường hợp không nên tự nhổ răng tại nhà
Nhiều phụ huynh có thói quen tự loại bỏ răng sữa cho con tại nhà, tuy nhiên điều này chỉ nên thực hiện khi răng đã lung lay nhiều và dễ rụng. Với những răng chưa lung lay rõ ràng, trẻ sợ hãi hoặc không hợp tác, việc tự nhổ có thể gây chảy máu kéo dài và khiến bé ám ảnh. Trong các trường hợp này, phụ huynh nên đưa trẻ đến nha khoa để được hỗ trợ an toàn.
Ưu và nhược điểm của niềng răng Invisalign
Trước khi quyết định lựa chọn phương pháp chỉnh nha phù hợp, việc hiểu rõ những mặt lợi và hạn chế của từng giải pháp là điều vô cùng cần thiết. Dưới đây là những ưu và nhược điểm của niềng răng Invisalign giúp bạn có cái nhìn toàn diện hơn.
1. Ưu điểm nổi bật của niềng răng Invisalign
Niềng răng Invisalign nổi bật với khay trong suốt, gần như không nhìn thấy khi đeo, giúp người niềng luôn tự tin trong giao tiếp. Khay có thể tháo lắp linh hoạt, thuận tiện khi ăn uống và vệ sinh răng miệng, từ đó hạn chế viêm nướu và sâu răng so với niềng mắc cài.
Bên cạnh đó, Invisalign tạo lực nhẹ nhàng, ít đau và ít sang chấn cho răng và mô nướu. Nhờ công nghệ ClinCheck, người điều trị có thể xem trước toàn bộ kết quả chỉnh nha, giúp yên tâm và chủ động hơn trong suốt quá trình niềng răng.
2. Nhược điểm cần lưu ý của niềng răng Invisalign
Bên cạnh nhiều ưu điểm, niềng răng Invisalign vẫn tồn tại một số hạn chế nhất định. Hiệu quả điều trị phụ thuộc nhiều vào mức độ hợp tác của bệnh nhân, đặc biệt là việc đeo khay đủ thời gian mỗi ngày theo chỉ định của bác sĩ.
Ngoài ra, Invisalign không phù hợp với một số ca chỉnh nha quá phức tạp và cần được bác sĩ chuyên sâu thăm khám, đánh giá kỹ lưỡng trước khi chỉ định. Chi phí điều trị cũng thường cao hơn niềng răng mắc cài, đổi lại là sự thoải mái, thẩm mỹ và công nghệ hiện đại trong suốt quá trình niềng răng.
Quy trình niềng răng Invisalign tại Nha Khoa Cẩm Tú
Quy trình niềng răng Invisalign tại Nha Khoa Cẩm Tú được xây dựng bài bản, cá nhân hóa, kiểm soát chặt chẽ, giúp đảm bảo hiệu quả chỉnh nha, an toàn sinh học và tối ưu thẩm mỹ cho từng khách hàng.
Thăm khám & chụp phim
Lập kế hoạch điều trị
Tiến hành phẫu thuật
Theo dõi và tái khám
Bước 1: Thăm khám & tư vấn chỉnh nha chuyên sâu
Bác sĩ tiến hành chụp phim X-quang và chụp ảnh trong, ngoài miệng nhằm thu thập đầy đủ dữ liệu về tình trạng răng, xương hàm và cấu trúc khớp cắn. Những thông tin này giúp đánh giá chính xác mức độ sai lệch răng, vị trí răng ngầm và các yếu tố ảnh hưởng đến quá trình chỉnh nha.

Dựa trên kết quả thăm khám và phân tích dữ liệu, bác sĩ sẽ đánh giá khớp cắn, sự hài hòa gương mặt và chức năng ăn nhai tổng thể. Từ đó, bác sĩ xác định khách hàng có phù hợp với niềng răng Invisalign hay không, đồng thời tư vấn phương án chỉnh nha tối ưu, an toàn và hiệu quả nhất cho từng trường hợp.
Bước 2: Scan răng kĩ thuật số iTero
Khách hàng được scan răng bằng máy iTero 5D Plus hiện đại, hoàn toàn không cần lấy dấu thạch cao truyền thống, giúp quá trình thực hiện nhanh chóng và dễ chịu. Công nghệ scan kỹ thuật số mang lại trải nghiệm thoải mái, đặc biệt phù hợp với những người nhạy cảm hoặc dễ buồn nôn khi lấy dấu răng.

Dữ liệu scan thu được cho hình ảnh 3D sắc nét từng chi tiết răng, nướu và khớp cắn, phản ánh chính xác tình trạng thực tế trong khoang miệng. Đây là nền tảng quan trọng để bác sĩ lập phác đồ niềng răng Invisalign chính xác, cá nhân hóa và tối ưu hiệu quả chỉnh nha.
Bước 3: Lập phác đồ ClinCheck cá nhân háo
Bác sĩ sử dụng phần mềm ClinCheck để xây dựng phác đồ điều trị Invisalign một cách chi tiết và cá nhân hóa cho từng khách hàng. Toàn bộ quá trình dịch chuyển răng được mô phỏng rõ ràng theo từng giai đoạn, giúp kiểm soát chính xác hướng đi, tốc độ và mức độ dịch chuyển của mỗi răng.

Thông qua mô phỏng ClinCheck, khách hàng có thể xem trước kết quả sau khi hoàn tất niềng răng, từ đó hình dung rõ sự thay đổi của hàm răng và gương mặt. Điều này giúp khách hàng hiểu rõ lộ trình điều trị, thời gian dự kiến và an tâm hơn trước khi chính thức bắt đầu đeo khay Invisalign.
Bước 4: Sản xuất và giao khay Invisalign
Khay niềng răng Invisalign được sản xuất trực tiếp tại Mỹ dựa trên phác đồ ClinCheck đã được bác sĩ phê duyệt, đảm bảo từng khay đều phù hợp chính xác với tình trạng răng của khách hàng. Vật liệu đạt chuẩn y khoa giúp khay an toàn sinh học, ôm sát răng và tạo lực ổn định trong suốt quá trình chỉnh nha.

Sau khi hoàn tất sản xuất, các khay Invisalign được giao theo từng giai đoạn điều trị tương ứng với kế hoạch đã thiết lập. Cách phân bổ này giúp bác sĩ kiểm soát lực dịch chuyển răng hiệu quả, đảm bảo răng di chuyển đúng lộ trình, đúng tiến độ và đạt kết quả như mong đợi.
Bước 5: Theo dõi và tái khám định kỳ
Trong suốt quá trình niềng răng, khách hàng sẽ tái khám định kỳ theo lịch hẹn để bác sĩ kiểm tra mức độ ôm khay và tiến trình dịch chuyển của răng. Việc theo dõi thường xuyên giúp phát hiện sớm các thay đổi và đảm bảo răng đang di chuyển đúng theo kế hoạch đã đề ra.

Trong trường hợp cần thiết, bác sĩ sẽ điều chỉnh phác đồ điều trị hoặc thay đổi kế hoạch đeo khay niềng răng Invisalign cho phù hợp với thực tế. Điều này giúp quá trình chỉnh nha luôn được kiểm soát chặt chẽ, đảm bảo hiệu quả tối ưu và an toàn cho khách hàng.
Bước 6: Kết thúc điều trị & đeo hàm duy trì
Sau khi hoàn tất quá trình niềng răng, khách hàng sẽ được chỉ định đeo hàm duy trì nhằm giữ ổn định vị trí răng vừa được sắp xếp. Đây là giai đoạn quan trọng giúp răng và xương hàm thích nghi dần với vị trí mới sau chỉnh nha.

Việc đeo hàm duy trì đúng hướng dẫn sẽ ngăn ngừa tình trạng tái lệch răng, bảo toàn kết quả đã đạt được. Nhờ đó, hiệu quả chỉnh nha được duy trì lâu dài, bền vững, giúp hàm răng luôn đều đẹp theo thời gian.
Đặt lịch ngay hôm nay!
Đặt lịch khám và tư vấn miễn phí!
Vì sao nên niềng răng Invisalign tại Nha khoa Cẩm Tú?
Niềng răng giúp cải thiện thẩm mỹ nụ cười, điều chỉnh khớp cắn và bảo vệ sức khỏe răng miệng lâu dài. Bài viết đã cung cấp thông tin tổng quan về các phương pháp niềng phổ biến, chi phí và những lưu ý quan trọng. Để đạt hiệu quả ổn định và an tâm điều trị, bạn nên thăm khám và tư vấn trực tiếp tại Nha khoa Cẩm Tú!

Các gói niềng Invisalign phổ biến
Niềng răng Invisalign được chia thành nhiều gói điều trị khác nhau, phù hợp với từng mức độ sai lệch răng và nhu cầu chỉnh nha:
INVISALIGN
Niềng răng
Invisalign Express
INVISALIGN
Dịch vụ
Invisalign Essentials
INVISALIGN
Dịch vụ
Invisalign Moderate
INVISALIGN
Dịch vụ
Invisalign Comprehensive 3
NIỀNG RĂNG
Dịch vụ
Invisalign Comprehensive 5
Vì sao nên chọn dịch vụ niềng răng invisalign
tại nha khoa cẩm tú?
BS Hùng & BS Phan Tuấn trực tiếp điều trị
Thăm khám, lập kế hoạch và cấy ghép Implant trực tiếp bởi bác sĩ chuyên môn, đảm bảo độ chính xác và xuyên suốt điều trị
Kinh nghiệm chuyên sâu về Nha khoa
Đội ngũ bác sĩ có kinh nghiệm thực hiện đa dạng ca Implant từ đơn lẻ đến toàn hàm, đến các ca khó như tiêu xương, nâng xoang.
Trang thiết bị hỗ trợ chẩn đoán hiện đại
Ứng dụng CT Cone Beam 3D và công nghệ hỗ trợ cấy ghép giúp chẩn đoán chính xác, nâng cao tỷ lệ thành công và độ bền Implant
Quy trình vô trùng, an toàn
Phẫu thuật Implant được thực hiện trong môi trường vô trùng nghiêm ngặt, tuân thủ tiêu chuẩn y khoa, đảm bảo an toàn tối đa.
Kết quả niềng răng toàn diện, bền vững
Hơn 10.000 khách hàng trong và ngoài tỉnh đã tìm được giải pháp đáng tin cậy, đảm bảo thẩm mỹ về răng sau khi sử dụng dịch vụ.
Kết thúc hàng ngàn ca thành công
Phác đồ điều trị chuẩn xác, công nghệ Đức hiện đại và trình độ chuyên sâu, mang lại nụ cười tự tin cho hàng ngàn khách hàng.
Câu chuyện khách hàng
niềng răng tại nha khoa cẩm tú
Nguyễn Thị Thùy
Chỉnh nha trong suốt Invisalign
Phương pháp chỉnh nha trong suốt Invisalign giúp cải thiện hiệu quả các tình trạng răng hô, thưa, móm, khấp khểnh với tính thẩm mỹ cao. Khay niềng trong suốt, dễ tháo lắp giúp việc ăn uống, vệ sinh răng miệng và sinh hoạt hằng ngày trở nên thuận tiện hơn.
Bên cạnh đó, Invisalign mang lại cảm giác thoải mái, ít gây khó chịu, đồng thời giúp răng dịch chuyển đúng hướng, từng bước cải thiện nụ cười đều đẹp và tự nhiên.
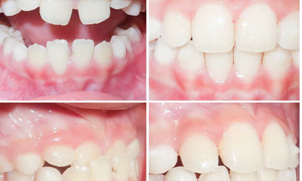
Lô Thị Kiều Vy
Niềng răng thưa, hô nhẹ
Với tình trạng răng thưa kèm hô nhẹ, bác sĩ đã xây dựng phác đồ niềng răng cá nhân hóa giúp răng dịch chuyển đúng hướng, đóng khe thưa và cải thiện khớp cắn hiệu quả. Ngoài thẩm mỹ cao, việc chỉnh nha còn giúp khả năng ăn nhai tốt hơn và mang lại nụ cười cân đối.
Sau hơn 1 năm niềng răng tại Nha khoa Cẩm Tú, Kiều Vy đã có sự thay đổi rõ rệt với nụ cười rạng rỡ và sự tự tin hơn trong giao tiếp.
Lương Thị Mùi
Răng hô chỉa, khớp cắn sâu
Quá trình điều trị sử dụng niềng răng mắc cài kim loại cho cả hai hàm, kết hợp cắm 2 minivis để hỗ trợ kéo giảm hô và kỹ thuật đánh lún hàm dưới nhằm cải thiện tình trạng khớp cắn sâu, giúp cân chỉnh tổng thể hàm răng.
Với phác đồ điều trị cá nhân hóa từ bác sĩ Nha khoa Cẩm Tú và sự kiên trì trong suốt quá trình chỉnh nha, bạn Mùi từng bước tiến gần hơn đến nụ cười đều đẹp và tự tin hơn.
Lưu ý khi niềng răng Invisalign
Để quá trình niềng răng Invisalign đạt hiệu quả tối ưu và đúng tiến độ, khách hàng cần lưu ý những điểm quan trọng sau:
Sau khi niềng răng Invisalign
Thời gian đeo khay mỗi ngày: Cần đeo khay từ 20 - 22 giờ/ngày, chỉ tháo ra khi ăn uống và vệ sinh răng miệng để đảm bảo răng dịch chuyển đúng kế hoạch.
Thói quen ăn uống: Tháo khay khi ăn, hạn chế đồ ngọt, nước có gas để bảo vệ răng và duy trì sức khỏe khoang miệng.
Sau khi niềng răngn Invisalign
Vệ sinh khay đúng cách: Làm sạch khay hằng ngày bằng nước mát và dung dịch chuyên dụng, tránh nước nóng để không làm biến dạng khay.
Tuân thủ lịch tái khám: Tái khám đúng hẹn giúp bác sĩ theo dõi tiến trình niềng và điều chỉnh phác đồ kịp thời nếu cần.
Câu hỏi thường gặp về niềng răng Invisalign
Trong quá trình tìm hiểu niềng răng Invisalign, nhiều người vẫn còn băn khoăn về hiệu quả cũng như các vấn đề phát sinh. Phần câu hỏi thường gặp dưới đây sẽ giúp bạn được giải đáp nhanh và yên tâm hơn trước khi quyết định chỉnh nha.
1. Các gói niềng răng Invisalign phổ biến
Niềng răng Invisalign được chia thành nhiều gói điều trị khác nhau, phù hợp với từng mức độ sai lệch răng và nhu cầu chỉnh nha:
- Invisalign Express: Dành cho các trường hợp sai lệch răng nhẹ, thời gian điều trị ngắn, thường áp dụng cho chỉnh nha thẩm mỹ hoặc tái lệch sau niềng.
- Invisalign Lite: Phù hợp với tình trạng răng mức độ nhẹ đến trung bình, cần điều chỉnh tương đối nhưng vẫn đảm bảo thời gian niềng hợp lý.
- Invisalign Moderate: Áp dụng cho các ca sai lệch răng mức độ trung bình, yêu cầu kiểm soát dịch chuyển răng kỹ lưỡng và toàn diện hơn.
Invisalign Comprehensive: Gói điều trị toàn diện, dành cho các ca phức tạp như hô, móm, sai khớp cắn và cho phép chỉnh nha tối đa theo phác đồ cá nhân hóa.
2. Chi phí niềng răng Invisalign tại Nha Khoa Cẩm Tú
Chi phí niềng răng Invisalign tại Nha Khoa Cẩm Tú được xây dựng minh bạch, rõ ràng, tương ứng với từng gói điều trị và mức độ phức tạp của ca chỉnh nha. Mức giá đã bao gồm thăm khám, lập phác đồ điều trị và khay Invisalign chính hãng.
Gói Invisalign | Đơn giá | Đơn vị |
Express | 60.000.000 | Gói |
Essential | 70.000.000 | Gói |
Moderate | 105.000.000 | Gói |
Comprehensive 3 | 110.000.000 | Gói |
Comprehensive 5 | 120.000.000 | Gói |
Bảng chi phí niềng răng Invisalign tại Nha Khoa Cẩm Tú
Lưu ý: Chi phí cụ thể có thể thay đổi tùy tình trạng răng thực tế và chỉ định của bác sĩ chỉnh nha sau khi thăm khám trực tiếp.
3. Invisalign có hiệu quả bằng mắc cài không?g vĩnh viễn không?
Có. Với các ca từ nhẹ đến trung bình và nhiều ca phức tạp được chỉ định đúng, Invisalign mang lại hiệu quả tương đương mắc cài nhờ công nghệ mô phỏng và kiểm soát dịch chuyển răng chính xác.
4. Có cần nhổ răng khi niềng Invisalign không?
Tùy tình trạng răng và khớp cắn. Bác sĩ sẽ thăm khám cụ thể để quyết định có cần nhổ răng hay không, Invisalign không làm tăng hay giảm tỷ lệ nhổ răng so với mắc cài.
5. Invisalign có bị lộ không?
Khay niềng trong suốt, ôm sát răng nên rất khó nhận ra khi giao tiếp, đặc biệt ở khoảng cách thông thường.
6. Có tái lệch sau Invisalign không?
Có thể xảy ra nếu không đeo hàm duy trì theo hướng dẫn. Việc tuân thủ đeo hàm duy trì giúp giữ kết quả ổn định lâu dài sau khi niềng.
Những bài viết liên quan
Cơ sở vật chất
Khí cụ Headgear: Giải pháp chỉnh nha cải thiện hàm hô và sai khớp cắn
Khí cụ Headgear là giải pháp chỉnh nha chuyên sâu giúp kiểm soát sự phát triển xương hàm và cải thiện tình trạng hàm hô, sai khớp cắn ở trẻ em trong giai đoạn tăng trưởng. Phương pháp này đặc biệt hiệu quả khi được can thiệp …
Ngày đăng: 16.12.2025
Chia sẻ
Nạo túi nha chu là gì? Khi nào cần nạo túi nha chu?
Nạo túi nha chu là một phương pháp điều trị thường được chỉ định khi bệnh nha chu tiến triển nặng và không còn đáp ứng với lấy cao răng thông thường. Tuy nhiên, nhiều người vẫn chưa hiểu rõ nạo túi nha chu là gì, khi nào cần thực hiện …
Ngày đăng: 16.12.2025
Kiến thức nha khoa
Hướng dẫn chăm sóc răng miệng cho trẻ theo từng độ tuổi đúng cách
Chăm sóc răng miệng cho trẻ theo từng độ tuổi là yếu tố quan trọng giúp trẻ phát triển hàm răng khỏe mạnh và phòng tránh các bệnh lý nha khoa từ sớm. Ở mỗi giai đoạn phát triển, cấu trúc răng và khả năng tự vệ sinh của trẻ …
Ngày đăng: 16.12.2025
Kiến thức nha khoa
Công nghệ Smile Digital Design trong thiết kế nụ cười nha khoa
Smile Digital Design là công nghệ thiết kế nụ cười kỹ thuật số giúp mô phỏng kết quả thẩm mỹ răng trước khi điều trị. Tại Nha Khoa Cẩm Tú, công nghệ này hỗ trợ bác sĩ xây dựng kế hoạch điều trị chính xác và cá nhân hóa nụ cười cho …
Ngày đăng: 16.12.2025
Kiến thức nha khoa
Răng hô nên niềng hay bọc sứ? Đây là câu hỏi khiến nhiều người băn khoăn khi muốn cải thiện nụ cười nhưng lo ảnh hưởng đến răng thật. Trong bài viết này, Nha Khoa Cẩm Tú sẽ giúp bạn hiểu rõ nguyên nhân răng hô, phân biệt niềng …
Ngày đăng: 16.12.2025
Kiến thức nha khoa
Tủy răng bị thối là gì? Dấu hiệu, nguyên nhân và cách điều trị
Tủy răng bị thối là tình trạng mô tủy hoại tử kèm nhiễm trùng nghiêm trọng, gây đau nhức, hôi miệng và có thể dẫn đến mất răng nếu không điều trị kịp thời. Nha Khoa Cẩm Tú chia sẻ đầy đủ dấu hiệu nhận biết, nguyên nhân và phương …