Ghép mô liên kết là gì? Khi nào cần ghép mô liên kết?
Ghép mô liên kết mang đến giải pháp toàn diện trong phục hồi nướu, nâng cao thẩm mỹ và bảo vệ sức khỏe răng miệng lâu dài. Trong bài viết này, Nha khoa Cẩm Tú sẽ giúp bạn khám phá từ kiến thức nền tảng đến quy trình thực hiện và cách chăm sóc chuẩn sau điều trị. Từ đó, bạn có thể hiểu đúng, đủ và tự tin hơn trước khi lựa chọn phương pháp này.
Trang chủ
Ghép mô liên kết giúp phục hồi nướu, tăng thẩm mỹ và bảo vệ implant. Khám phá ngay ghép mô liên kết là gì, quy trình và chăm sóc sau điều trị trong bài viết!
Ghép mô liên kết là gì?
Ghép mô liên kết là kỹ thuật trong nha khoa sử dụng mô liên kết lấy từ vùng cho như khẩu cái hoặc lồi củ xương hàm trên để ghép vào vùng nướu đang bị thiếu hụt. Phương pháp này giúp tăng độ dày và chất lượng mô nướu một cách bền vững.
Mô liên kết đóng vai trò là lớp nền nâng đỡ cho mô nướu bên ngoài, giúp nướu bám chắc và ổn định hơn. Khi mô liên kết đủ dày, nguy cơ tụt lợi tái phát sẽ giảm rõ rệt. Đối với implant, mô liên kết khỏe mạnh còn giúp bảo vệ cổ implant và nâng cao tính thẩm mỹ vùng nướu.
Ghép mô liên kết có mấy loại?
Vị trí lấy mô quyết định rất lớn đến chất lượng mảnh ghép. Hai vùng được sử dụng phổ biến nhất là khẩu cái và lồi củ xương hàm trên.
Ghép mô liên kết tự thân
Ghép mô liên kết tự thân là phương pháp sử dụng mô của chính bệnh nhân để tái tạo mô nâng đỡ quanh răng hoặc vùng cấy ghép Implant. Nhờ độ tương thích sinh học cao, mô ghép dễ tích hợp và giúp quá trình hồi phục diễn ra thuận lợi, an toàn. Phương pháp này giúp tăng độ dày và độ bền của mô quanh Implant, hạn chế nguy cơ viêm nhiễm hay đào thải. Đặc biệt, ghép mô liên kết tự thân mang lại hiệu quả lâu dài, tạo nền tảng vững chắc cho phục hình răng ổn định và thẩm mỹ.
Ghép mô liên kết kết hợp vật liệu sinh học
Ghép mô liên kết kết hợp vật liệu sinh học là kỹ thuật điều trị các khuyết hổng mô mềm quanh implant đã tích hợp xương, đặc biệt là tình trạng nẻ mặt ngoài. Phương pháp này phối hợp giữa ghép mô liên kết và can thiệp phục hình - phẫu thuật nhằm tăng khả năng che phủ, cải thiện độ dày mô và che giấu màu xám của implant bên dưới. Quy trình đòi hỏi mô mềm phải được chuẩn bị và trưởng thành tốt trước phẫu thuật, đồng thời đảm bảo không có viêm quanh implant. Việc đặt mô ghép đúng vị trí, kết hợp vạt đưa về phía cổ và vật liệu sinh học hỗ trợ, giúp tăng nuôi dưỡng mạch máu, hạn chế co rút và mang lại hiệu quả thẩm mỹ ổn định, lâu dài.
Khi nào cần cấy ghép mô liên kết?
Không phải trường hợp nào cũng cần cấy mô liên kết. Trong thực tế lâm sàng, cấy mô liên kết thường được áp dụng cho ba nhóm tình huống chính dưới đây.
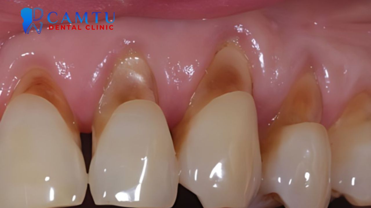
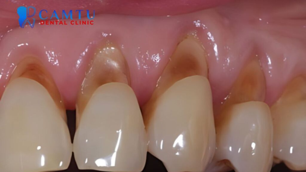
1. Điều trị tụt lợi
Tụt lợi làm lộ chân răng, gây ê buốt và ảnh hưởng lớn đến thẩm mỹ. Cấy mô liên kết giúp che phủ chân răng bị lộ và tái tạo lại đường viền nướu tự nhiên. Đây là giải pháp điều trị tận gốc thay vì chỉ xử lý triệu chứng bên ngoài.

Mô liên kết được ghép vào làm tăng độ dày mô nướu, giúp nướu bám chắc hơn vào bề mặt răng. Nhờ đó, nguy cơ tụt lợi tái phát giảm rõ rệt và kết quả điều trị ổn định lâu dài hơn. Đồng thời, vùng nướu sau ghép cũng có màu sắc tự nhiên và hài hòa hơn so với mô nướu xung quanh.
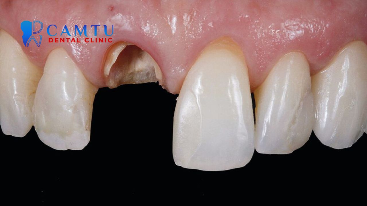
2. Tạo vùng mô dày quanh implant
Vùng mô mềm quanh implant nếu quá mỏng sẽ dễ viêm và kém thẩm mỹ. Ghép mô liên kết giúp tăng độ dày mô nướu, tạo hàng rào sinh học bảo vệ implant khỏi vi khuẩn. Điều này góp phần nâng cao tuổi thọ implant và hạn chế nguy cơ biến chứng lâu dài.

Ngoài yếu tố sức khỏe, cấy mô liên kết còn cải thiện đáng kể hình thể và màu sắc nướu quanh implant. Nhờ đó, phục hình trông tự nhiên hơn và hài hòa với các răng thật bên cạnh. Đặc biệt quan trọng ở vùng răng cửa, nơi yêu cầu thẩm mỹ rất cao.
3. Trong điều trị khuyết hổng nướu
Khuyết hổng nướu khiến mô nướu bị lõm, thiếu thể tích và mất cân đối. Ghép mô liên kết giúp bổ sung mô mềm bị thiếu, khôi phục hình dạng nướu hài hòa hơn. Nhờ đó, đường viền nướu trở nên đều đặn và thẩm mỹ tự nhiên hơn.

Phương pháp này đặc biệt hiệu quả trong các ca mất mô theo cả chiều ngang và chiều đứng. Mô liên kết giúp vùng nướu dày hơn, chắc hơn và ổn định về lâu dài. Điều này giúp hạn chế nguy cơ co rút mô nướu sau điều trị.
Quy trình ghép mô liên kết cơ bản
Quy trình ghép mô liên kết được thực hiện theo từng bước rõ ràng nhằm đảm bảo an toàn cũng như hiệu quả điều trị. Dưới đây là 5 bước cơ bản trong một ca cấy mô liên kết:
Thăm khám & chụp phim
Lập kế hoạch điều trị
Tiến hành phẫu thuật
Theo dõi và tái khám
Bước 1: Thăm khám và lập kế hoạch điều trị
Bác sĩ đánh giá mức độ tụt lợi hoặc thiếu hụt mô nướu, đồng thời xác định có cần ghép mô liên kết hay không. Ở bước này, vùng cho và vùng nhận cũng được kiểm tra để lựa chọn kỹ thuật ghép phù hợp nhất.
Bước 2: Gây tê và chuẩn bị phẫu thuật
Vùng lấy mô và vùng cần ghép được gây tê tại chỗ nhằm đảm bảo bệnh nhân không đau trong suốt quá trình thực hiện. Đồng thời, khu vực phẫu thuật được làm sạch và cách ly để hạn chế nhiễm khuẩn
Bước 3: Lấy và xử lý mô liên kết
Mô liên kết được lấy từ khẩu cái hoặc lồi củ hàm trên với kích thước đã tính toán trước. Sau đó, bác sĩ tiến hành loại bỏ biểu mô, mô mỡ và mô tuyến để thu được mảnh ghép có chất lượng tốt nhất.
Bước 4: Ghép và cố định mô liên kết vào vùng nhận
Mô liên kết được lấy từ khẩu cái hoặc lồi củ hàm trên với kích thước đã tính toán trước. Sau đó, bác sĩ tiến hành loại bỏ biểu mô, mô mỡ và mô tuyến để thu được mảnh ghép có chất lượng tốt nhất.
Bước 5 : Bảo vệ vết thương và hướng dẫn chăm sóc sau phẫu thuật
Vùng cho và vùng nhận được che phủ để cầm máu và hỗ trợ lành thương. Bác sĩ sẽ hướng dẫn chế độ ăn uống, vệ sinh răng miệng và dùng thuốc nhằm đảm bảo kết quả ghép mô liên kết ổn định lâu dài.
Đặt lịch ngay hôm nay!
Đặt lịch khám và tư vấn miễn phí!
Lưu ý về quy trình ghép mô liên kết
Ghép mô liên kết giúp phục hồi mô nướu, cải thiện thẩm mỹ và tăng độ bền vững cho răng cũng như implant. Khi được thực hiện đúng kỹ thuật và chăm sóc đúng cách, kết quả điều trị sẽ ổn định lâu dài. Để được tư vấn chi tiết và thăm khám chính xác, hãy liên hệ ngay với Nha khoa Cẩm Tú để được đội ngũ bác sĩ hỗ trợ kịp thời!
Các phương pháp Ghép mô
Không phải trường hợp nào cũng cần cấy mô liên kết. Trong thực tế lâm sàng, cấy mô liên kết thường được áp dụng cho ba nhóm tình huống chính dưới đây.
Dịch vụ
Ghép mô liên kết
Dịch vụ
Vì sao nên chọn dịch vụ nha khoa của chúng tôi?
Các bác sĩ chuyên khoa RHM trực tiếp điều trị
Thăm khám, lập kế hoạch và điều trị trực tiếp bởi các bác sĩ chuyên khoa RHM, đảm bảo độ chính xác và xuyên suốt điều trị
Kinh nghiệm chuyên sâu về Lĩnh vực Nha khoa
Thực hiện thành công nhiều ca điều trị từ cơ bản tới phức tạp, đảm bảo chẩn đoán đúng – điều trị chuẩn – kết quả bền vững
Trang thiết bị hỗ trợ chẩn đoán hiện đại, chính xác
Ứng dụng CT Cone Beam 3D, iTero 5D Plus,… giúp bác sĩ lên phác đồ rõ ràng, tối ưu hoá điều trị.
Quy trình điều trị chuẩn y khoa, đảm bảo an toàn
Môi trường vô trùng nghiêm ngặt, tuân thủ tiêu chuẩn y khoa mang lại sự an tâm trong quá trình điều trị.
Mang đến Kết quả thẩm mỹ - chức năng toàn diện
Không chỉ đẹp về thẩm mỹ mà còn đảm bảo chức năng ăn nhai ổn định, bền vững theo thời gian.
Lựa chọn hàng đầu của hàng ngàn khách hàng
Nha khoa tự tin đồng hành, mang lại nụ cười tự tin chi hàng ngàn khách hàng trong và ngoài tỉnh.
Cảm nhận khách hàng trải nghiệm dịch vụ
tại nha khoa cẩm tú
Hoàng Văn Sang
Phục hồi răng cửa 31, 32, 41
Implant đã khôi phục thành công 3 chiếc răng cửa liên tiếp 31, 32 và 41 cho bạn Sang. Để tiết kiệm chi phí cho bạn, bác sĩ tại Cẩm Tú đă thực hiện giải pháp trồng răng implant bắc cầu. Từ cấu tạo cho tới hình thức, những chiếc răng implant được thiết kế không khác gì răng thật giúp Sang có thể hoàn toàn an tâm trong việc ăn nhai và tự tin thể hiện nụ cười, sức hút riêng của mình.
Bác Trường
Giải phápImplant toàn hàm
Mỗi bữa cơm gia đình đối với bác là một thử thách. Việc ăn uống trở nên khó khăn, còn sức khỏe thì ngày càng giảm sút. Không chấp nhận để tình trạng này kéo dài, bác Trường đã quyết định trồng implant cố định toàn hàm trên tại Nha khoa Cẩm Tú. Đây là giải pháp không chỉ giúp bác khôi phục lại nụ cười tự nhiên mà còn: ngăn chặn tình trạng tiêu xương hàm, cải thiện chức năng ăn nhai, đảm bảo tính thẩm mỹ và sự tự tin trong giao tiếp.
Mai Thị Giang
Trồng Implant răng số 16
Chị Giang mất răng hàm số 16 khiến việc ăn nhai bị ảnh hưởng nghiêm trọng. Vì răng hàm giữ vai trò nghiền nát thức ăn, khi mất đi lực nhai không đều, làm suy yếu các răng còn lại..
Nhưng giờ đây chị đã có thể ăn nhai thoải mái, tự tin nở nụ cười rạng rỡ vì:
✅ Quá trình cấy ghép diễn ra nhanh chóng, an toàn, không đau như lo sợ ban đầu.
✅ Implant tích hợp vững chắc trong xương hàm, mão sứ thẩm mỹ tự nhiên như răng thật
Chăm sóc sau phẫu thuật ghép mô liên kết
Chăm sóc sau phẫu thuật ghép mô liên kết quyết định trực tiếp đến khả năng lành thương và độ ổn định của mô ghép. Thực hiện đúng hướng dẫn giúp giảm biến chứng và duy trì kết quả lâu dài.
Sau phẫu thuật ghép mô
Sau phẫu thuật, vùng lấy mô và vùng ghép có thể rỉ máu nhẹ trong vài giờ đầu. Người bệnh cần cắn gạc đúng cách theo hướng dẫn để giúp hình thành cục máu đông ổn định. Việc giữ yên gạc trong thời gian quy định sẽ giúp giảm chảy máu và tạo điều kiện cho mô bắt đầu quá trình lành thương tự nhiên. Không được khạc nhổ mạnh hay súc miệng mạnh trong 24 giờ đầu vì có thể làm bong cục máu đông. Nếu máu chảy nhiều và không tự cầm, cần liên hệ ngay với bác sĩ. Ngoài ra, người bệnh cũng nên tránh nói chuyện nhiều hoặc há miệng quá rộng để hạn chế tác động lên vùng phẫu thuật.
Thuốc kháng sinh và thuốc giảm đau cần được dùng đúng liều, đúng thời gian theo chỉ định của bác sĩ sau phẫu thuật ghép mô liên kết. Không tự ý ngưng thuốc khi chưa có hướng dẫn. Điều này giúp phòng ngừa nhiễm trùng và kiểm soát đau hiệu quả. Trong vài ngày đầu, nên hạn chế vận động mạnh và tránh kéo môi, má để quan sát vết thương. Việc giữ vùng phẫu thuật ổn định giúp mô ghép bám dính tốt hơn. Đồng thời, nguy cơ bung chỉ khâu cũng được giảm thiểu.
Chế độ ăn uống và vệ sinh
Trong những ngày đầu, nên ăn thức ăn mềm, nguội và dễ nhai như cháo, súp, bún hoặc mì. Tránh đồ ăn cứng, dai và nóng để không làm tổn thương vùng phẫu thuật. Điều này giúp giảm áp lực lên mô ghép và hạn chế cảm giác đau. Nên hạn chế nhai bên phía có ghép mô liên kết để tránh làm di lệch mảnh ghép. Uống đủ nước và bổ sung rau xanh, trái cây giúp quá trình lành thương diễn ra nhanh hơn. Đồng thời, cơ thể cũng được cung cấp đầy đủ vitamin cần thiết cho tái tạo mô.
Trong 1 - 2 tuần đầu, không chải răng trực tiếp lên vùng phẫu thuật. Có thể dùng gạc mềm thấm nước muối sinh lý để lau nhẹ các vùng xung quanh. Cách này giúp làm sạch nhẹ nhàng mà không gây tổn thương mô ghép. Sử dụng nước súc miệng theo chỉ định của bác sĩ giúp giảm vi khuẩn và giữ khoang miệng sạch. Khi súc miệng cần ngậm nhẹ, không súc mạnh để tránh tổn thương mô ghép. Thực hiện đều đặn sẽ hỗ trợ quá trình lành thương tốt hơn.
Câu hỏi thường gặp về ghép mô mềm
tại Nha khoa Cẩm Tú
Dưới đây là những câu hỏi thường gặp về ghép mô mềm trong nha khoa, giúp bạn hiểu rõ hơn về chỉ định, mức độ an toàn, thời gian hồi phục và vai trò của ghép mô mềm trong điều trị Implant.
1. Chi phí ghép mô mềm tại Nha khoa Cẩm Tú
Chi phí ghép mô mềm trong nha khoa phụ thuộc vào kỹ thuật ghép và số lượng răng cần điều trị. Tại Nha Khoa Cẩm Tú, mức giá được công khai rõ ràng:
Kỹ thuật ghép mô mềm | Chi phí | Đơn vị |
Ghép mô liên kết | 3.000.000 | Răng |
Ghép mô sừng hóa lợi | 3.000.000 | Răng |
Bảng chi phí ghép mô mềm tại Nha khoa Cẩm Tú
Chi phí trên đã bao gồm thăm khám, chỉ định kỹ thuật và thực hiện ghép mô. Bác sĩ sẽ tư vấn cụ thể sau khi đánh giá tình trạng mô lợi của từng bệnh nhân.
2. Ghép mô mềm có ảnh hưởng đến ăn nhai không ?
Ghép mô mềm hầu như không ảnh hưởng đến khả năng ăn nhai. Sau khi lành thương, mô nướu ổn định giúp bảo vệ Implant tốt hơn và hỗ trợ ăn nhai thoải mái lâu dài.
3. Mô ghép có tồn tại vĩnh viễn không?
Mô ghép có khả năng tồn tại vĩnh viễn nếu tích hợp tốt và được chăm sóc đúng cách. Tuy nhiên, độ ổn định còn phụ thuộc vào cơ địa, kỹ thuật thực hiện và vệ sinh răng miệng sau điều trị.
4. Ghép mô mềm có đau và nguy hiểm không?
Quá trình ghép mô mềm được thực hiện dưới gây tê nên ít gây đau. Khi được thực hiện đúng kỹ thuật và trong điều kiện vô trùng, ghép mô mềm là thủ thuật an toàn với nguy cơ biến chứng thấp.
5. Ghép mô mềm trong nha khoa bao lâu thì lành?
Thời gian lành thương sau ghép mô mềm thường từ 2 – 4 tuần. Mô nướu sẽ ổn định dần theo thời gian, giúp tăng độ bền và thẩm mỹ quanh răng hoặc Implant.
Những bài viết liên quan
Cơ sở vật chất
Khí cụ Headgear: Giải pháp chỉnh nha cải thiện hàm hô và sai khớp cắn
Khí cụ Headgear là giải pháp chỉnh nha chuyên sâu giúp kiểm soát sự phát triển xương hàm và cải thiện tình trạng hàm hô, sai khớp cắn ở trẻ em trong giai đoạn tăng trưởng. Phương pháp này đặc biệt hiệu quả khi được can thiệp …
Ngày đăng: 16.12.2025
Chia sẻ
Nạo túi nha chu là gì? Khi nào cần nạo túi nha chu?
Nạo túi nha chu là một phương pháp điều trị thường được chỉ định khi bệnh nha chu tiến triển nặng và không còn đáp ứng với lấy cao răng thông thường. Tuy nhiên, nhiều người vẫn chưa hiểu rõ nạo túi nha chu là gì, khi nào cần thực hiện …
Ngày đăng: 16.12.2025
Kiến thức nha khoa
Hướng dẫn chăm sóc răng miệng cho trẻ theo từng độ tuổi đúng cách
Chăm sóc răng miệng cho trẻ theo từng độ tuổi là yếu tố quan trọng giúp trẻ phát triển hàm răng khỏe mạnh và phòng tránh các bệnh lý nha khoa từ sớm. Ở mỗi giai đoạn phát triển, cấu trúc răng và khả năng tự vệ sinh của trẻ …
Ngày đăng: 16.12.2025
Kiến thức nha khoa
Công nghệ Smile Digital Design trong thiết kế nụ cười nha khoa
Smile Digital Design là công nghệ thiết kế nụ cười kỹ thuật số giúp mô phỏng kết quả thẩm mỹ răng trước khi điều trị. Tại Nha Khoa Cẩm Tú, công nghệ này hỗ trợ bác sĩ xây dựng kế hoạch điều trị chính xác và cá nhân hóa nụ cười cho …
Ngày đăng: 16.12.2025
Kiến thức nha khoa
Răng hô nên niềng hay bọc sứ? Đây là câu hỏi khiến nhiều người băn khoăn khi muốn cải thiện nụ cười nhưng lo ảnh hưởng đến răng thật. Trong bài viết này, Nha Khoa Cẩm Tú sẽ giúp bạn hiểu rõ nguyên nhân răng hô, phân biệt niềng …
Ngày đăng: 16.12.2025
Kiến thức nha khoa
Tủy răng bị thối là gì? Dấu hiệu, nguyên nhân và cách điều trị
Tủy răng bị thối là tình trạng mô tủy hoại tử kèm nhiễm trùng nghiêm trọng, gây đau nhức, hôi miệng và có thể dẫn đến mất răng nếu không điều trị kịp thời. Nha Khoa Cẩm Tú chia sẻ đầy đủ dấu hiệu nhận biết, nguyên nhân và phương …