Sai khớp cắn loại 3 là một trong những dạng sai lệch khớp cắn phổ biến nhưng thường bị hiểu nhầm đơn thuần là “móm”. Trên thực tế, đây là tình trạng rối loạn tương quan giữa hai hàm, không chỉ ảnh hưởng đến thẩm mỹ khuôn mặt mà còn gây nhiều vấn đề về chức năng ăn nhai, phát âm và sức khỏe khớp hàm nếu không được điều trị đúng cách.
Việc nhận biết sớm vấn đề và hiểu rõ nguyên nhân, mức độ sai lệch sẽ giúp người bệnh lựa chọn được phương pháp điều trị phù hợp, hạn chế biến chứng và đạt hiệu quả lâu dài. Cùng Nha khoa Cẩm Tú tìm hiểu qua bài viết sau đây.
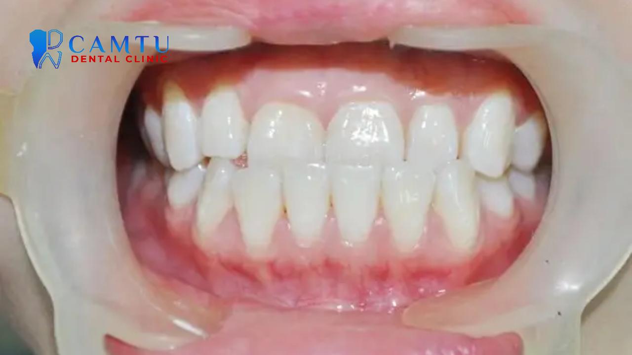
Sai khớp cắn loại 3 là gì?
Để hiểu rõ tình trạng này, trước hết cần làm rõ sai khớp cắn loại 3 là gì theo quan điểm nha khoa. Nói một cách dễ hiểu, đây là việc khi hai hàm ở vị trí cắn trung tâm, răng hàm dưới nằm phía trước răng hàm trên, khiến khớp cắn bị đảo ngược. Trong dân gian, tình trạng này thường được gọi là móm.

Xem thêm: Sai khớp cắn loại 1
Nguyên nhân gây sai khớp cắn loại 3
Bệnh thường xuất phát từ sự kết hợp giữa yếu tố bẩm sinh và các tác động trong quá trình phát triển răng, hàm. Những yếu tố này có thể âm thầm ảnh hưởng từ sớm và biểu hiện rõ rệt khi trưởng thành. Cùng tìm hiểu một số nguyên nhân gây sai lệch khớp cắn phổ biến dưới đây:
- Di truyền: cấu trúc hàm và tương quan răng được thừa hưởng từ gia đình.
- Thói quen xấu thời thơ ấu: mút tay, đẩy lưỡi, thở bằng miệng, tư thế hàm sai.
- Chấn thương hàm mặt: tai nạn, va đập ảnh hưởng cấu trúc xương hàm
- Mất răng sữa sớm: làm răng vĩnh viễn mọc lệch
- Chế độ ăn quá mềm trong quá trình phát triển: hạn chế sự phát triển tự nhiên của xương hàm.
- Bất thường bẩm sinh: liên quan đến răng hoặc xương hàm

Xem thêm: Sai khớp cắn loại 2
Dấu hiệu nhận biết sai khớp cắn loại 3
Tình trạng này thường có những biểu hiện khá rõ, đặc biệt khi nhìn nghiêng khuôn mặt hoặc trong quá trình ăn nhai hàng ngày. Một số dấu hiệu thường gặp gồm:
- Cằm nhô ra phía trước, gương mặt có xu hướng lưỡi cày.
- Khi cắn lại, răng dưới phủ ngoài răng trên.
- Khó cắn xé thức ăn, lực nhai không đều.
- Dễ mỏi hàm, đau khớp thái dương hàm.
- Phát âm không rõ, dễ nói ngọng ở một số âm

Ở trẻ em, sai lệch khớp cắn hạng 3 có thể biểu hiện sớm nhưng dễ bị bỏ qua nếu không được theo dõi chỉnh nha định kỳ.
Phân loại sai khớp cắn loại 3
Không phải tất cả các trường hợp khớp cắn ngược loại 3 đều giống nhau. Trong lâm sàng, tình trạng này thường được chia thành hai nhóm chính:
| Dạng sai khớp cắn loại 3 | Nguyên nhân | Đặc điểm | Hướng điều trị |
|---|---|---|---|
| Sai khớp cắn loại 3 do răng | Răng mọc sai hướng hoặc sai vị trí trong khi cấu trúc xương hàm tương đối bình thường | Khớp cắn bị đảo ngược nhưng khuôn mặt không biến dạng nhiều | Điều trị chỉnh nha thường mang lại hiệu quả tốt |
| Sai khớp cắn loại 3 do xương | Hàm dưới phát triển quá mức hoặc hàm trên kém phát triển | Mất cân đối tương quan hai hàm, ảnh hưởng rõ đến thẩm mỹ khuôn mặt | Có thể cần kết hợp chỉnh nha và phẫu thuật chỉnh hàm |
Việc phân loại chính xác đóng vai trò quan trọng trong việc lựa chọn phương pháp điều trị phù hợp và hiệu quả.
Tác hại của sai khớp cắn loại 3
Nhiều người cho rằng khớp cắn bị sai lệch sẽ chỉ ảnh hưởng đến ngoại hình. Tuy nhiên, trên thực tế, tác hại của bệnh có thể kéo dài và ảnh hưởng toàn diện nếu không được can thiệp kịp thời.
Tình trạng này làm giảm hiệu quả ăn nhai, khiến thức ăn không được nghiền nhỏ đúng cách, lâu dài có thể ảnh hưởng đến hệ tiêu hóa. Khớp cắn sai lệch còn gây quá tải lên khớp thái dương hàm, dẫn đến đau mỏi, lạo xạo khớp hoặc há miệng khó.

Về lâu dài, khớp cắn ngược loại 3 còn làm tăng nguy cơ mòn răng, lệch mặt, rối loạn phát âm, gặp khó khăn khi nói, nói ngọng, và ảnh hưởng đến tâm lý, sự tự tin trong giao tiếp hàng ngày.
Các phương pháp điều trị sai khớp cắn loại 3 hiện nay
Tùy theo nguyên nhân và mức độ sai lệch, bác sĩ sẽ chỉ định phương pháp điều trị phù hợp cho từng trường hợp.
- Niềng răng chỉnh nha: Với những trường hợp bệnh do răng hoặc mức độ nhẹ, niềng răng chỉnh nha là giải pháp phổ biến. Phương pháp này sử dụng hệ thống mắc cài hoặc khay chỉnh nha để di chuyển răng về vị trí đúng, từ đó cải thiện khớp cắn và thẩm mỹ khuôn mặt.
- Phẫu thuật chỉnh hàm: Trong các trường hợp bệnh do xương hàm, đặc biệt ở người trưởng thành, bác sĩ có thể chỉ định phẫu thuật chỉnh hàm nhằm điều chỉnh lại tương quan giữa hàm trên và hàm dưới.
- Kết hợp niềng răng và phẫu thuật: Áp dụng cho các trường hợp sai lệch nặng, giúp xử lý đồng thời cả răng và xương hàm, mang lại hiệu quả toàn diện về khớp cắn và thẩm mỹ.

Thời điểm nào nên điều trị sai khớp cắn loại 3?
Việc điều trị sớm thường mang lại hiệu quả càng cao. Ở trẻ em và thanh thiếu niên, can thiệp trong giai đoạn xương hàm còn phát triển giúp giảm mức độ phức tạp và hạn chế can thiệp phẫu thuật sau này.

Tuy nhiên, người trưởng thành vẫn hoàn toàn có thể điều trị sai khớp cắn loại 3 nếu được thăm khám và xây dựng phác đồ phù hợp. Điều quan trọng là không nên trì hoãn quá lâu, bởi tình trạng sai lệch có thể nặng hơn theo thời gian.
Điều trị sai khớp cắn loại 3 tại Nha khoa Cẩm Tú
Nha khoa Cẩm Tú là cơ sở nha khoa uy tín và lâu đời tại Thành phố Vinh, Nghệ An. Tại đây, mỗi trường hợp đều được thăm khám kỹ lưỡng, chẩn đoán chính xác nguyên nhân và mức độ sai lệch trước khi lên kế hoạch điều trị. Phác đồ được xây dựng cá nhân hóa, đảm bảo hài hòa giữa chức năng ăn nhai, thẩm mỹ và sự ổn định lâu dài của khớp cắn.

Với đội ngũ bác sĩ chuyên môn và hệ thống trang thiết bị hỗ trợ hiện đại, quá trình điều trị sai khớp cắn loại 3 được thực hiện theo hướng an toàn, khoa học và phù hợp với từng đối tượng khách hàng.
Nha khoa Cẩm Tú:
- Địa chỉ: 25b Đ. Vương Thúc Mậu, Trường Thi, Vinh, Nghệ An.
- Giờ mở cửa: 07h00 – 18h00 hàng ngày
Kết luận
Sai khớp cắn loại 3 không chỉ đơn thuần là vấn đề thẩm mỹ mà còn ảnh hưởng trực tiếp đến chức năng ăn nhai, phát âm và sức khỏe khớp hàm về lâu dài. Việc hiểu rõ về bệnh sẽ giúp bạn chủ động hơn trong việc thăm khám và điều trị. Cùng với đó, lựa chọn cơ sở nha khoa uy tín với phác đồ điều trị phù hợp chính là yếu tố then chốt để đạt được kết quả ổn định, hài hòa cả về thẩm mỹ lẫn chức năng ăn nhai. Hy vọng bài viết của Nha khoa Cẩm Tú đã cung cấp cho bạn những thông tin bổ ích.