Răng bị đổi màu là tình trạng khá phổ biến nhưng không phải ai cũng hiểu đúng nguyên nhân và mức độ ảnh hưởng của nó. Nhiều người chỉ nghĩ đây là vấn đề thẩm mỹ, trong khi trên thực tế, sự thay đổi màu sắc của răng đôi khi còn là dấu hiệu cảnh báo các bệnh lý răng miệng cần được kiểm tra sớm. Việc nhận biết đúng tình trạng răng đổi màu sẽ giúp bạn có hướng chăm sóc, điều trị phù hợp và bảo vệ nụ cười tự tin lâu dài.
Tại Nha khoa Cẩm Tú, các bác sĩ luôn khuyến khích khách hàng theo dõi những thay đổi bất thường của răng miệng, đặc biệt là tình trạng răng xỉn màu, ố vàng hoặc sậm màu theo thời gian. Thăm khám sớm không chỉ giúp xác định nguyên nhân chính xác mà còn đưa ra phương pháp xử lý phù hợp, giúp cải thiện thẩm mỹ và bảo vệ sức khỏe răng miệng lâu dài.
Răng bị đổi màu là gì?
Răng bị đổi màu là hiện tượng răng không còn giữ được màu trắng ngà tự nhiên mà chuyển sang vàng, nâu, xám, đen hoặc xuất hiện những đốm màu bất thường trên bề mặt răng. Tình trạng này có thể xảy ra ở một răng, nhiều răng hoặc toàn hàm, tùy theo nguyên nhân và mức độ ảnh hưởng.

Trong thực tế, sự thay đổi màu sắc của răng không phải lúc nào cũng giống nhau. Có trường hợp răng chỉ xỉn màu nhẹ do thức ăn, đồ uống hoặc mảng bám bên ngoài. Nhưng cũng có trường hợp một chiếc răng đổi sang màu xám đậm, nâu sẫm hoặc đen do chấn thương, chết tủy hay sâu răng tiến triển. Vì vậy, khi thấy răng thay đổi màu sắc rõ rệt, bạn không nên chỉ xem đó là vấn đề thẩm mỹ đơn thuần.
Xem thêm: Răng hô nên niềng hay bọc sứ
Các dạng răng bị đổi màu thường gặp
Răng đổi màu có thể xuất phát từ nhiều nguyên nhân khác nhau và biểu hiện dưới nhiều dạng khác nhau. Việc nhận biết đúng tình trạng sẽ giúp bạn lựa chọn phương pháp chăm sóc và điều trị phù hợp hơn.
- Răng ố vàng do thực phẩm và thói quen sinh hoạt
Đây là dạng phổ biến nhất, thường gặp ở người uống nhiều cà phê, trà, rượu vang hoặc hút thuốc lá. Các sắc tố từ thực phẩm bám trên bề mặt men răng theo thời gian khiến răng dần chuyển sang màu vàng hoặc sậm màu hơn. - Răng xỉn màu do mảng bám và cao răng
Khi vệ sinh răng miệng không đúng cách, mảng bám tích tụ lâu ngày sẽ cứng lại thành cao răng. Lớp cao răng này thường có màu vàng nâu hoặc đen, khiến bề mặt răng trông tối màu và kém thẩm mỹ. - Răng sậm màu do lão hóa tự nhiên
Theo thời gian, lớp men răng bên ngoài sẽ mỏng dần và lớp ngà răng bên trong lộ ra rõ hơn. Vì ngà răng có màu vàng đậm nên răng sẽ dần chuyển sang màu sẫm hơn khi tuổi tác tăng lên. - Răng đổi màu do chấn thương răng
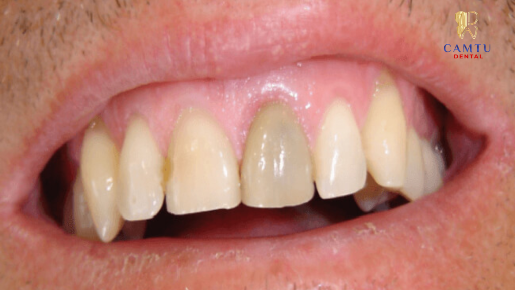
Khi răng bị va chạm mạnh, mạch máu bên trong có thể bị tổn thương khiến răng chuyển sang màu xám, nâu hoặc thậm chí đen. Đây là dấu hiệu cho thấy răng có thể đã bị ảnh hưởng đến tủy. - Răng đổi màu do thuốc hoặc yếu tố bên trong
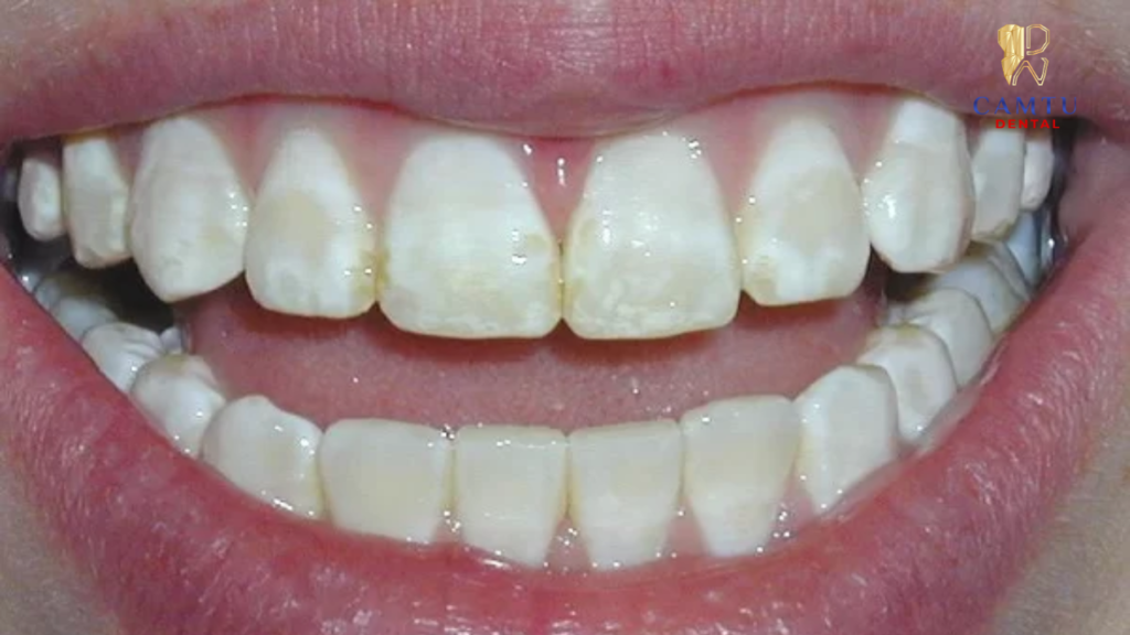
Một số trường hợp răng bị nhiễm màu từ bên trong do sử dụng thuốc trong giai đoạn hình thành răng hoặc do yếu tố di truyền. Tình trạng này thường khiến răng có màu vàng đậm, xám hoặc xuất hiện các vệt màu bất thường trên bề mặt răng.
Răng có thể đổi màu vì nhiều lý do khác nhau. Có nguyên nhân đến từ thói quen sinh hoạt hằng ngày, nhưng cũng có nguyên nhân liên quan trực tiếp đến bệnh lý răng miệng. Việc xác định đúng nguyên nhân rất quan trọng vì mỗi trường hợp sẽ cần một hướng xử lý riêng.
Thực phẩm và đồ uống sẫm màu
Một trong những nguyên nhân phổ biến khiến răng bị đổi màu là việc sử dụng thường xuyên các loại thực phẩm và đồ uống có màu đậm. Cà phê, trà đặc, rượu vang đỏ, nước ngọt sẫm màu hoặc một số món ăn chứa nhiều phẩm màu có thể để lại sắc tố trên bề mặt men răng.

Nếu những sắc tố này tích tụ trong thời gian dài mà không được làm sạch đúng cách, răng sẽ dần ngả vàng hoặc xỉn màu. Đây là dạng đổi màu từ bên ngoài, thường gặp ở người có thói quen dùng đồ uống màu đậm hằng ngày.
Thuốc lá và thói quen sinh hoạt
Thuốc lá là yếu tố rất dễ khiến răng chuyển sang màu vàng nâu hoặc sậm màu hơn bình thường. Chất nicotine và hắc ín trong khói thuốc bám lên bề mặt răng, lâu dần hình thành các mảng màu rất khó làm sạch bằng cách đánh răng thông thường.
Ngoài hút thuốc, một số thói quen sinh hoạt cũng khiến răng bị đổi màu nhanh hơn như vệ sinh răng miệng sơ sài, không lấy cao răng định kỳ hoặc để thức ăn bám lại trên răng quá lâu. Khi mảng bám tích tụ kéo dài, bề mặt răng sẽ mất đi độ sáng tự nhiên và trở nên sẫm màu hơn theo thời gian.
Tuổi tác và tác dụng của thuốc
Tuổi tác cũng là một nguyên nhân khiến màu răng thay đổi dần theo thời gian. Khi lớn tuổi, lớp men răng bên ngoài có xu hướng mòn đi, làm lớp ngà răng bên trong lộ rõ hơn. Vì ngà răng thường có màu vàng hơn men răng, nên răng sẽ trông sẫm màu hơn so với trước đây.

Bên cạnh đó, một số loại thuốc cũng có thể ảnh hưởng đến màu sắc của răng. Chẳng hạn, kháng sinh tetracycline nếu sử dụng trong giai đoạn hình thành răng có thể gây nhiễm màu răng từ bên trong. Một số loại nước súc miệng hoặc thuốc dùng kéo dài cũng có thể khiến răng xỉn màu rõ hơn nếu không được theo dõi đúng cách.
Bệnh lý răng miệng
Không phải mọi trường hợp răng bị đổi màu đều đến từ thói quen ăn uống. Trong nhiều trường hợp, đây có thể là dấu hiệu cảnh báo các bệnh lý răng miệng như sâu răng, viêm tủy, chết tủy, chấn thương răng hoặc thiểu sản men răng.

Những tình trạng này thường khiến màu răng thay đổi bất thường hơn so với nhiễm màu thông thường. Ví dụ, răng sâu có thể xuất hiện đốm nâu hoặc đen trên bề mặt, còn răng chết tủy thường chuyển sang màu xám đục hoặc sẫm hơn rõ rệt so với những răng bên cạnh. Đây là những trường hợp nên được kiểm tra sớm để tránh tổn thương lan rộng.
Dấu hiệu nhận biết răng bị đổi màu
Răng bị đổi màu có thể biểu hiện ở nhiều mức độ khác nhau. Có người chỉ nhận thấy răng vàng hơn bình thường, nhưng cũng có người phát hiện trên răng xuất hiện các vệt màu nâu, xám hoặc đen rõ rệt. Mức độ thay đổi màu sắc phụ thuộc vào nguyên nhân và thời gian diễn ra tình trạng này.

Bạn có thể nhận biết tình trạng này qua một số dấu hiệu phổ biến sau:
- Răng không còn giữ được màu trắng ngà tự nhiên mà chuyển sang vàng hoặc xỉn hơn.
- Bề mặt răng xuất hiện các đốm màu nâu, đen hoặc xám bất thường.
- Chỉ một răng sẫm màu rõ rệt hơn so với các răng còn lại.
- Răng đổi màu kèm ê buốt, đau nhức hoặc hơi thở có mùi.
- Màu răng thay đổi kéo dài dù đã chú ý vệ sinh kỹ hơn.
Nếu chỉ có một răng đổi màu rõ rệt hoặc màu răng chuyển xám, nâu sẫm trong thời gian ngắn, bạn nên đi khám sớm vì khả năng cao nguyên nhân không còn nằm ở bề mặt răng mà liên quan đến tổn thương bên trong.
Xem thêm: Răng bị nứt
Răng bị đổi màu có nguy hiểm không?
Răng bị đổi màu không phải lúc nào cũng nguy hiểm, nhưng tuyệt đối không nên chủ quan. Nếu nguyên nhân chỉ là do thực phẩm, thuốc lá hoặc mảng bám bên ngoài, tình trạng này thường ảnh hưởng nhiều đến thẩm mỹ hơn là sức khỏe răng miệng. Trong những trường hợp như vậy, việc làm sạch hoặc cải thiện màu răng thường khá đơn giản.

Tuy nhiên, nếu răng bị đổi màu do sâu răng, viêm tủy, chết tủy hoặc chấn thương, đây lại là dấu hiệu cảnh báo quan trọng. Khi đó, việc răng đổi màu không chỉ là chuyện thẩm mỹ mà còn cho thấy cấu trúc răng bên trong đang bị ảnh hưởng. Nếu chậm thăm khám, tình trạng viêm nhiễm có thể tiến triển nặng hơn, gây đau nhức kéo dài và làm tăng nguy cơ mất răng.
Nói cách khác, mức độ nguy hiểm của răng bị đổi màu phụ thuộc vào nguyên nhân cụ thể. Càng phát hiện sớm, việc xử lý càng nhẹ nhàng và khả năng bảo tồn răng thật càng cao.
Khi nào nên đi khám nha khoa?
Bạn nên đi khám nha khoa khi thấy răng bị đổi màu kéo dài dù đã chú ý vệ sinh răng miệng tốt hơn nhưng không cải thiện. Đây là cách giúp xác định chính xác nguyên nhân thay vì tự phỏng đoán hoặc áp dụng các mẹo làm trắng không phù hợp.
Một số trường hợp cần kiểm tra sớm gồm:
- Răng đổi màu nhanh trong thời gian ngắn: Đây có thể là dấu hiệu bất thường bên trong răng chứ không chỉ là nhiễm màu bên ngoài.
- Chỉ một răng bị sẫm màu rõ rệt: Tình trạng này thường liên quan đến viêm tủy, chết tủy hoặc chấn thương răng trước đó.
- Răng đổi màu kèm đau nhức hoặc ê buốt: Nếu có thêm triệu chứng khó chịu, khả năng cao răng đang bị tổn thương hoặc viêm nhiễm.
- Xuất hiện đốm đen, lỗ sâu hoặc nướu viêm: Những biểu hiện này cho thấy cần được bác sĩ kiểm tra và điều trị càng sớm càng tốt.
- Hơi thở có mùi kéo dài: Đây có thể là dấu hiệu đi kèm của sâu răng, cao răng hoặc viêm nhiễm trong khoang miệng.
Thăm khám sớm sẽ giúp bác sĩ xác định đúng nguyên nhân và đưa ra hướng xử lý phù hợp, tránh để tình trạng tiến triển nặng hơn hoặc phải điều trị phức tạp về sau.
Cách khắc phục răng bị đổi màu
Tùy vào nguyên nhân, bác sĩ sẽ chỉ định phương pháp xử lý khác nhau. Không phải trường hợp nào cũng chỉ cần tẩy trắng răng, và cũng không nên tự ý dùng các sản phẩm làm trắng tại nhà khi chưa biết rõ tình trạng răng của mình.

Một số cách khắc phục răng bị đổi màu thường được áp dụng gồm:
- Cạo vôi răng và đánh bóng: Phù hợp khi răng xỉn màu do mảng bám, cao răng hoặc sắc tố bám ở bề mặt ngoài.
- Tẩy trắng răng: Thường áp dụng cho răng ngả vàng hoặc xỉn màu do thực phẩm, thuốc lá, tuổi tác hoặc nhiễm màu mức độ nhẹ đến trung bình.
- Trám răng: Được chỉ định khi răng đổi màu do sâu răng hoặc tổn thương men răng cần phục hồi thẩm mỹ và chức năng.
- Điều trị tủy: Cần thiết nếu răng đổi màu do viêm tủy hoặc chết tủy, đặc biệt khi chỉ có một răng chuyển xám hoặc sẫm bất thường.
- Dán sứ hoặc bọc răng sứ: Phù hợp với những trường hợp răng nhiễm màu nặng, khó cải thiện bằng tẩy trắng hoặc có thêm khuyết điểm về hình thể.
Dù lựa chọn phương pháp nào, việc thăm khám trước vẫn rất quan trọng. Bác sĩ cần xác định rõ nguyên nhân để tránh điều trị sai hướng, đặc biệt với các trường hợp đổi màu do bệnh lý bên trong răng.
Cách phòng ngừa răng bị đổi màu
Để hạn chế nguy cơ răng bị đổi màu, điều quan trọng nhất là duy trì thói quen chăm sóc răng miệng đúng cách mỗi ngày. Việc đánh răng đều đặn ít nhất hai lần mỗi ngày, kết hợp làm sạch kẽ răng bằng chỉ nha khoa hoặc tăm nước sẽ giúp giảm mảng bám và hạn chế sắc tố tích tụ trên bề mặt răng.

Ngoài ra, bạn nên chú ý một số thói quen sau để giữ màu răng ổn định hơn:
- Hạn chế cà phê, trà đặc, nước ngọt sẫm màu và các thực phẩm dễ bám màu.
- Súc miệng hoặc uống nước lọc sau khi dùng đồ ăn, thức uống có màu đậm.
- Không hút thuốc lá hoặc giảm dần tần suất hút nếu đang có thói quen này.
- Lấy cao răng và kiểm tra răng định kỳ để phát hiện sớm mảng bám và bệnh lý.
- Không tự ý lạm dụng các mẹo làm trắng răng tại nhà khi chưa có hướng dẫn chuyên môn.
Những thói quen nhỏ nhưng duy trì đều đặn sẽ giúp giảm nguy cơ răng bị đổi màu, đồng thời hỗ trợ bảo vệ men răng và sức khỏe răng miệng lâu dài.
Kết luận
Răng bị đổi màu là tình trạng không nên xem nhẹ vì có thể bắt nguồn từ cả yếu tố bên ngoài lẫn bệnh lý răng miệng bên trong. Trong nhiều trường hợp, đây chỉ là biểu hiện nhiễm màu thông thường do thực phẩm, thuốc lá hoặc vệ sinh chưa đúng cách. Nhưng cũng có lúc nó là dấu hiệu cảnh báo sâu răng, viêm tủy hoặc răng chết tủy cần được xử lý sớm.
Khi nhận thấy màu răng thay đổi bất thường, đặc biệt là bệnh răng miệng kéo dài, đổi màu ở một răng hoặc kèm theo đau nhức, ê buốt, bạn nên đến nha khoa để được kiểm tra cụ thể. Việc phát hiện sớm nguyên nhân sẽ giúp điều trị hiệu quả hơn, bảo tồn răng thật tốt hơn và duy trì nụ cười sáng khỏe lâu dài.
