Niềng răng – hành trình thay đổi nụ cười
Niềng răng là giải pháp chỉnh nha hiện đại giúp khắc phục tình trạng răng hô, móm, lệch lạc và mang lại nụ cười đều đẹp, hài hòa. Sau một quá trình dài 12 – 24 tháng, nhiều khách hàng đã đạt được kết quả ấn tượng khi tháo mắc cài, sở hữu nụ cười tự tin và chức năng ăn nhai khỏe mạnh hơn.

Câu chuyện thực tế: Tháo mắc cài sau 1,5 năm niềng răng
Trong video chia sẻ của bạn khách hàng tại Nha khoa Cẩm Tú, chúng ta được chứng kiến khoảnh khắc đặc biệt – giây phút tháo mắc cài sau 1,5 năm niềng răng.
🌟 Điểm nổi bật trong trải nghiệm:
-
Bạn khách hàng vô cùng hào hứng và vui vẻ, nụ cười rạng rỡ suốt quá trình tháo niềng.
-
Cảm giác “trống trải” vì đã quen mang mắc cài suốt 1,5 năm, nhưng ngay sau đó là niềm vui và sự hài lòng khi thấy hàm răng đều đẹp.
-
Đây là thành quả của sự kiên trì đồng hành cùng đội ngũ bác sĩ chuyên môn cao tại Nha khoa Cẩm Tú.

Quy trình tháo mắc cài tại Nha khoa Cẩm Tú
Tại Nha khoa Cẩm Tú, quá trình tháo niềng được thực hiện theo chuẩn an toàn:
-
Thăm khám & đánh giá kết quả niềng – bác sĩ kiểm tra độ ổn định của răng, khớp cắn.
-
Tháo mắc cài & dây cung – sử dụng dụng cụ chuyên dụng, hoàn toàn nhẹ nhàng, không gây đau.
-
Làm sạch & đánh bóng răng – loại bỏ keo dán, giúp răng sáng bóng tự nhiên.
-
Gắn hàm duy trì – giữ răng ổn định, tránh tình trạng xô lệch trở lại.
-
Hướng dẫn chăm sóc sau tháo niềng – vệ sinh, ăn uống, tái khám định kỳ.
⏱ Thời gian tháo niềng thường chỉ mất 30 – 45 phút, rất nhanh chóng và thoải mái.


Tháo mắc cài có đau không?
Đây là thắc mắc của rất nhiều bạn. Trên thực tế, tháo mắc cài không đau như bạn nghĩ. Cảm giác chỉ là một chút lực nhẹ khi bác sĩ tháo từng mắc cài, hoàn toàn không gây tổn thương men răng hay nướu. Sau khi tháo xong, bạn có thể thấy hơi lạ hoặc “trống răng” do đã quen với việc mang niềng trong thời gian dài, nhưng sẽ nhanh chóng thích nghi.
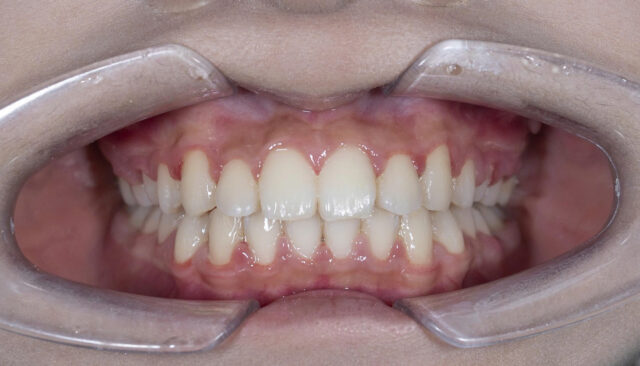
Niềm vui sau khi tháo niềng
Khoảnh khắc nhìn thấy hàm răng đều, đẹp và nụ cười rạng rỡ luôn là động lực lớn nhất cho mỗi khách hàng sau hành trình niềng răng. Giống như bạn trong video tháo mắc cài tại Nha khoa Cẩm Tú, sự hạnh phúc hiện rõ qua từng nụ cười, mang lại nguồn năng lượng tích cực và tự tin hơn trong giao tiếp.
Vì sao nên tháo mắc cài tại Nha khoa Cẩm Tú?
-
👩⚕️ Bác sĩ chuyên sâu chỉnh nha với nhiều năm kinh nghiệm
-
🦷 Trang thiết bị hiện đại, quy trình an toàn chuẩn y khoa
-
🎁 Ưu đãi niềng răng & tháo mắc cài trong chương trình ưu đãi Quốc khánh 2/9
-
💖 Chăm sóc khách hàng tận tâm, luôn đồng hành sau khi tháo niềng
Đăng ký tháo niềng răng tại Nha khoa Cẩm Tú
Bạn đã sẵn sàng sở hữu nụ cười rạng ngời sau khi tháo mắc cài?
Hãy liên hệ ngay với chúng tôi để được tư vấn và đặt lịch:
NHA KHOA CẨM TÚ – TRAO NIỀM TIN, NHẬN GIÁ TRỊ
🌺 TRUNG TÂM CHỈNH NHA
💒 Địa chỉ: 25B Vương Thúc Mậu – Phường Trường Vinh – Tỉnh Nghệ An
📞 HOTLINE: 08.1212.2525
🌐 Website: http://nhakhoacamtubshung.vn
⛳ Google Maps: https://maps.app.goo.gl/sKMVDqLtshCBYRkA6
👉 Xem ngay video trải nghiệm thực tế: 🎬 Tháo mắc cài sau 1,5 năm niềng răng – Nha khoa Cẩm Tú
💎 Nha khoa Cẩm Tú – Tự tin tỏa sáng sau khi tháo mắc cài!